PANCREATODUODENECTOMY AS TREATMENT FOR RECURRENT ACUTE PANCREATITIS DUE TO PANCREAS DIVISUM.

IF 1.8
Elizeu Bruno Santos Silva, Maiza Conceição da Silva, Maria Clara Santos Araújo, Beatriz Melo Santos Lima Paulino, José Maria Assunção Moraes-Junior, Orlando Jorge Martins Torres
{"title":"PANCREATODUODENECTOMY AS TREATMENT FOR RECURRENT ACUTE PANCREATITIS DUE TO PANCREAS DIVISUM.","authors":"Elizeu Bruno Santos Silva, Maiza Conceição da Silva, Maria Clara Santos Araújo, Beatriz Melo Santos Lima Paulino, José Maria Assunção Moraes-Junior, Orlando Jorge Martins Torres","doi":"10.1590/0102-6720202400040e1834","DOIUrl":null,"url":null,"abstract":"<p><strong>Background: </strong>Pancreas divisum is an anatomical abnormality where the junction of the main and accessory pancreatic duct fails to occur and the smaller-caliber duct acts as dominant, resulting in overload during the drainage of the organ's secretion through the minor duodenal papilla.</p><p><strong>Aims: </strong>To report a case of recurrent acute pancreatitis due to symptomatic pancreas divisum who underwent pancreatoduodenectomy.</p><p><strong>Case report: </strong>A 21-year-old male patient presented with intermittent painful crises, located in the upper abdomen, with radiation to the back, associated with nausea and vomiting, for the past three years. Magnetic resonance imaging and endoscopic retrograde cholangiopancreatography revealed pancreas divisum, subsequently confirmed by endoscopic ultrasound. An attempt was made through endoscopic intervention but failed to catheterize the minor papilla; therefore, a pancreaticoduodenectomy was indicated. The organ was identified as hard and atrophied, with moderate peripancreatic inflammation. The histopathological findings also identified a focal well-differentiated G1-type neuroendocrine tumor measuring 0.4 cm.</p><p><strong>Conclusions: </strong>In patients with pancreas divisum, rare cases may progress to recurrent acute pancreatitis. Pancreaticoduodenectomy is an option in symptomatic patients who had no success with endoscopic treatment.</p>","PeriodicalId":72298,"journal":{"name":"Arquivos brasileiros de cirurgia digestiva : ABCD = Brazilian archives of digestive surgery","volume":"37 ","pages":"e1834"},"PeriodicalIF":1.8000,"publicationDate":"2024-12-02","publicationTypes":"Journal Article","fieldsOfStudy":null,"isOpenAccess":false,"openAccessPdf":"https://www.ncbi.nlm.nih.gov/pmc/articles/PMC11654164/pdf/","citationCount":"0","resultStr":null,"platform":"Semanticscholar","paperid":null,"PeriodicalName":"Arquivos brasileiros de cirurgia digestiva : ABCD = Brazilian archives of digestive surgery","FirstCategoryId":"1085","ListUrlMain":"https://doi.org/10.1590/0102-6720202400040e1834","RegionNum":0,"RegionCategory":null,"ArticlePicture":[],"TitleCN":null,"AbstractTextCN":null,"PMCID":null,"EPubDate":"2024/1/1 0:00:00","PubModel":"eCollection","JCR":"","JCRName":"","Score":null,"Total":0}
引用次数: 0

Abstract

Background: Pancreas divisum is an anatomical abnormality where the junction of the main and accessory pancreatic duct fails to occur and the smaller-caliber duct acts as dominant, resulting in overload during the drainage of the organ's secretion through the minor duodenal papilla.

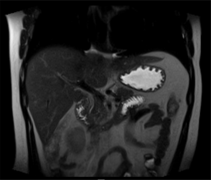
Aims: To report a case of recurrent acute pancreatitis due to symptomatic pancreas divisum who underwent pancreatoduodenectomy.

Case report: A 21-year-old male patient presented with intermittent painful crises, located in the upper abdomen, with radiation to the back, associated with nausea and vomiting, for the past three years. Magnetic resonance imaging and endoscopic retrograde cholangiopancreatography revealed pancreas divisum, subsequently confirmed by endoscopic ultrasound. An attempt was made through endoscopic intervention but failed to catheterize the minor papilla; therefore, a pancreaticoduodenectomy was indicated. The organ was identified as hard and atrophied, with moderate peripancreatic inflammation. The histopathological findings also identified a focal well-differentiated G1-type neuroendocrine tumor measuring 0.4 cm.

Conclusions: In patients with pancreas divisum, rare cases may progress to recurrent acute pancreatitis. Pancreaticoduodenectomy is an option in symptomatic patients who had no success with endoscopic treatment.

Abstract Image

Abstract Image

Abstract Image

胰十二指肠切除术治疗胰脏分裂所致复发性急性胰腺炎。
背景:胰腺分裂是一种解剖异常,由于主胰管和副胰管无法连接,小口径胰管占主导地位,导致器官分泌物通过十二指肠小乳头排出时过载。目的:报告一例因症状性胰腺分裂而复发性急性胰腺炎行胰十二指肠切除术的病例。病例报告:一名21岁的男性患者,在过去的三年里,出现间歇性的疼痛危机,位于上腹部,放射到背部,伴有恶心和呕吐。磁共振及内窥镜逆行胰胆管造影显示胰腺分裂,随后经内窥镜超声证实。内镜下介入治疗,小乳头插管失败;因此,建议行胰十二指肠切除术。该器官坚硬、萎缩,伴有中度胰腺周围炎症。组织病理学结果还发现局灶性高分化g1型神经内分泌肿瘤,直径0.4 cm。结论:在胰腺分裂患者中,极少数可能发展为复发性急性胰腺炎。胰十二指肠切除术是内镜治疗无效的有症状患者的一种选择。
本文章由计算机程序翻译,如有差异,请以英文原文为准。
求助全文
约1分钟内获得全文 求助全文
来源期刊
自引率
0.00%
发文量
0
×
引用
GB/T 7714-2015
复制
MLA
复制
APA
复制
导出至
BibTeX EndNote RefMan NoteFirst NoteExpress
×
提示
您的信息不完整,为了账户安全,请先补充。
现在去补充
×
提示
您因"违规操作"
具体请查看互助需知
我知道了
×
提示
确定
请完成安全验证×
copy
已复制链接
快去分享给好友吧!
我知道了
右上角分享
点击右上角分享
0
联系我们:info@booksci.cn Book学术提供免费学术资源搜索服务,方便国内外学者检索中英文文献。致力于提供最便捷和优质的服务体验。 Copyright © 2023 布克学术 All rights reserved.
京ICP备2023020795号-1
ghs 京公网安备 11010802042870号
Book学术文献互助
Book学术文献互助群
群 号:604180095
Book学术官方微信