Gastrointestinal langerhans cell histiocytosis in an adult presenting with anal protrusion and multiple colorectal ulcers: a case report.

Therapeutic advances in rare disease Pub Date : 2024-11-28 eCollection Date: 2024-01-01 DOI:10.1177/26330040241301799
Nhu Tung Tran, Quoc Thanh Truong, Khuyen Thi Nguyen, The Anh Khoa Lai, Cong Thao Trinh, Van Trung Hoang
{"title":"Gastrointestinal langerhans cell histiocytosis in an adult presenting with anal protrusion and multiple colorectal ulcers: a case report.","authors":"Nhu Tung Tran, Quoc Thanh Truong, Khuyen Thi Nguyen, The Anh Khoa Lai, Cong Thao Trinh, Van Trung Hoang","doi":"10.1177/26330040241301799","DOIUrl":null,"url":null,"abstract":"<p><p>Langerhans cell histiocytosis (LCH) is a rare disorder characterized by the proliferation of Langerhans cells, a type of dendritic cell essential for immune response. While LCH predominantly affects children, its manifestation in adults, especially within the gastrointestinal (GI) tract, is exceedingly rare. We present a unique case of a 56-year-old female with rare GI manifestations of LCH. The patient initially noticed pimple-like lesions around her anal orifice, which evolved into prominent protruding lesions over 3 months. Subsequent colonoscopy revealed multiple ulcers in the colorectal area, particularly concentrated in the sigmoid colon. Histopathological examination of biopsy samples, combined with immunohistochemical staining, confirmed the diagnosis of LCH. This case underscores the importance of a comprehensive diagnostic approach, especially when patients are present with atypical symptoms. The current literature suggests that such GI manifestations of LCH in adults are infrequent, making this case a valuable contribution to the understanding of LCH's clinical spectrum.</p>","PeriodicalId":75218,"journal":{"name":"Therapeutic advances in rare disease","volume":"5 ","pages":"26330040241301799"},"PeriodicalIF":0.0000,"publicationDate":"2024-11-28","publicationTypes":"Journal Article","fieldsOfStudy":null,"isOpenAccess":false,"openAccessPdf":"https://www.ncbi.nlm.nih.gov/pmc/articles/PMC11605736/pdf/","citationCount":"0","resultStr":null,"platform":"Semanticscholar","paperid":null,"PeriodicalName":"Therapeutic advances in rare disease","FirstCategoryId":"1085","ListUrlMain":"https://doi.org/10.1177/26330040241301799","RegionNum":0,"RegionCategory":null,"ArticlePicture":[],"TitleCN":null,"AbstractTextCN":null,"PMCID":null,"EPubDate":"2024/1/1 0:00:00","PubModel":"eCollection","JCR":"","JCRName":"","Score":null,"Total":0}
引用次数: 0

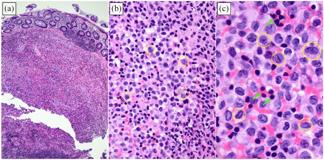
Abstract

Langerhans cell histiocytosis (LCH) is a rare disorder characterized by the proliferation of Langerhans cells, a type of dendritic cell essential for immune response. While LCH predominantly affects children, its manifestation in adults, especially within the gastrointestinal (GI) tract, is exceedingly rare. We present a unique case of a 56-year-old female with rare GI manifestations of LCH. The patient initially noticed pimple-like lesions around her anal orifice, which evolved into prominent protruding lesions over 3 months. Subsequent colonoscopy revealed multiple ulcers in the colorectal area, particularly concentrated in the sigmoid colon. Histopathological examination of biopsy samples, combined with immunohistochemical staining, confirmed the diagnosis of LCH. This case underscores the importance of a comprehensive diagnostic approach, especially when patients are present with atypical symptoms. The current literature suggests that such GI manifestations of LCH in adults are infrequent, making this case a valuable contribution to the understanding of LCH's clinical spectrum.

Abstract Image

Abstract Image

Abstract Image

胃肠朗格汉斯细胞组织细胞增多症在成人表现为肛门突出和多发性结直肠溃疡:1例报告。
朗格汉斯细胞组织细胞增多症(LCH)是一种罕见的疾病,其特征是朗格汉斯细胞(一种对免疫反应至关重要的树突状细胞)的增殖。虽然LCH主要影响儿童,但其在成人中的表现,特别是在胃肠道内,是非常罕见的。我们报告一位56岁女性罕见的LCH胃肠道表现。患者最初发现肛门口周围有丘疹样病变,3个月后演变为突出的病变。随后的结肠镜检查显示结直肠区域多发溃疡,尤其集中在乙状结肠。活检标本的组织病理学检查结合免疫组织化学染色证实了LCH的诊断。该病例强调了综合诊断方法的重要性,特别是当患者出现非典型症状时。目前的文献表明,成人LCH的此类胃肠道表现并不常见,因此本病例对了解LCH的临床谱有重要贡献。
本文章由计算机程序翻译,如有差异,请以英文原文为准。
求助全文
约1分钟内获得全文 求助全文
来源期刊
CiteScore
2.00
自引率
0.00%
发文量
0
×
引用
GB/T 7714-2015
复制
MLA
复制
APA
复制
导出至
BibTeX EndNote RefMan NoteFirst NoteExpress
×
提示
您的信息不完整,为了账户安全,请先补充。
现在去补充
×
提示
您因"违规操作"
具体请查看互助需知
我知道了
×
提示
确定
请完成安全验证×
copy
已复制链接
快去分享给好友吧!
我知道了
右上角分享
点击右上角分享
0
联系我们:info@booksci.cn Book学术提供免费学术资源搜索服务,方便国内外学者检索中英文文献。致力于提供最便捷和优质的服务体验。 Copyright © 2023 布克学术 All rights reserved.
京ICP备2023020795号-1
ghs 京公网安备 11010802042870号
Book学术文献互助
Book学术文献互助群
群 号:604180095
Book学术官方微信