Comparable postoperative outcomes in patients treated with either open or arthroscopic trochleoplasty for patella dysplasia.

IF 4.4 Q2 Medicine
Georg Riedl, Lukas A Holzer, Vinzenz Smekal
{"title":"Comparable postoperative outcomes in patients treated with either open or arthroscopic trochleoplasty for patella dysplasia.","authors":"Georg Riedl, Lukas A Holzer, Vinzenz Smekal","doi":"10.1186/s43019-024-00247-0","DOIUrl":null,"url":null,"abstract":"<p><strong>Background: </strong>The aim of this study was to compare the clinical and radiologic results of the arthroscopic and the open trochleoplasty techniques.</p><p><strong>Methods: </strong>A total of 83 trochleoplasties in 83 patients were performed between 2014 and 2021 in one institution. Surgical indications for trochleoplasty were recurrent patellofemoral instability and a lateral trochlear inclination angle (LTI) ≤ 11˚ and a trochlear depth ≤ 6 mm. Of the trochleoplasties, 40 were done by open technique (OT) and 43 by arthroscopic technique (AT). In every case an additional medial patellofemoral ligament (MPFL) reconstruction was performed. Additional tuberosity tibia transfer and/or de-rotation of the femur were done when indicated. Pre- and postoperative magnetic resonance imaging (MRI) were analyzed in respect to LTI, trochlear depth, and lateralization of the patella. Postoperative subjective clinical assessment was done using the Kujala Score, Banff II Score, Tegner Score, and Marx Score.</p><p><strong>Results: </strong>Of the patients, 15 with OT and 20 with AT were available for follow-up. The mean follow-up was 29.9 months in the OT group and 12.7 months in the AT group. No re-dislocation was observed in either groups. A significant reduction of LTI, increase of trochlear depth, and a reduction of lateralization of the patella was observed between the pre- and postoperative MRI scans in both groups. No significant difference in the observed MRI parameters was found between the two groups. Neither was there a difference in the postoperative Kujala Score, Banff II Score, Tegner Score, and Marx Score between the two groups. Length of stay was on average 6.2 days in the AT group and 8.1 days in the OT group. The surgical time was on average 141 min in the OT group and 160 min in the AT group.</p><p><strong>Conclusion: </strong>We found that patients undergoing an arthroscopic trochleoplasty had a comparable outcome with respect to clinical and radiological parameters compared with patients treated by open trochleoplasty.</p>","PeriodicalId":36317,"journal":{"name":"Knee Surgery and Related Research","volume":"36 1","pages":"41"},"PeriodicalIF":4.4000,"publicationDate":"2024-12-02","publicationTypes":"Journal Article","fieldsOfStudy":null,"isOpenAccess":false,"openAccessPdf":"https://www.ncbi.nlm.nih.gov/pmc/articles/PMC11610262/pdf/","citationCount":"0","resultStr":null,"platform":"Semanticscholar","paperid":null,"PeriodicalName":"Knee Surgery and Related Research","FirstCategoryId":"1085","ListUrlMain":"https://doi.org/10.1186/s43019-024-00247-0","RegionNum":0,"RegionCategory":null,"ArticlePicture":[],"TitleCN":null,"AbstractTextCN":null,"PMCID":null,"EPubDate":"","PubModel":"","JCR":"Q2","JCRName":"Medicine","Score":null,"Total":0}
引用次数: 0

Abstract

Background: The aim of this study was to compare the clinical and radiologic results of the arthroscopic and the open trochleoplasty techniques.

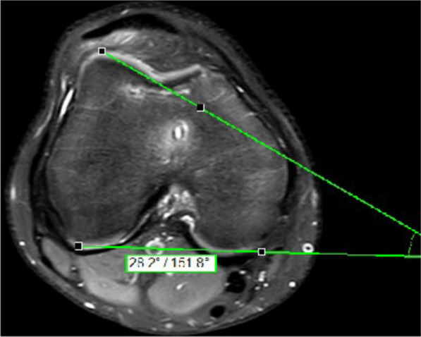
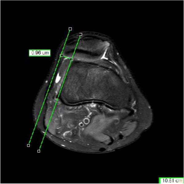
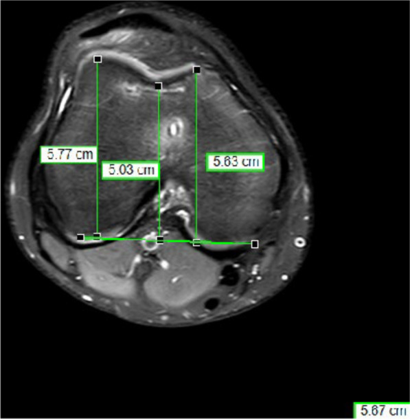
Methods: A total of 83 trochleoplasties in 83 patients were performed between 2014 and 2021 in one institution. Surgical indications for trochleoplasty were recurrent patellofemoral instability and a lateral trochlear inclination angle (LTI) ≤ 11˚ and a trochlear depth ≤ 6 mm. Of the trochleoplasties, 40 were done by open technique (OT) and 43 by arthroscopic technique (AT). In every case an additional medial patellofemoral ligament (MPFL) reconstruction was performed. Additional tuberosity tibia transfer and/or de-rotation of the femur were done when indicated. Pre- and postoperative magnetic resonance imaging (MRI) were analyzed in respect to LTI, trochlear depth, and lateralization of the patella. Postoperative subjective clinical assessment was done using the Kujala Score, Banff II Score, Tegner Score, and Marx Score.

Results: Of the patients, 15 with OT and 20 with AT were available for follow-up. The mean follow-up was 29.9 months in the OT group and 12.7 months in the AT group. No re-dislocation was observed in either groups. A significant reduction of LTI, increase of trochlear depth, and a reduction of lateralization of the patella was observed between the pre- and postoperative MRI scans in both groups. No significant difference in the observed MRI parameters was found between the two groups. Neither was there a difference in the postoperative Kujala Score, Banff II Score, Tegner Score, and Marx Score between the two groups. Length of stay was on average 6.2 days in the AT group and 8.1 days in the OT group. The surgical time was on average 141 min in the OT group and 160 min in the AT group.

Conclusion: We found that patients undergoing an arthroscopic trochleoplasty had a comparable outcome with respect to clinical and radiological parameters compared with patients treated by open trochleoplasty.

Abstract Image

Abstract Image

Abstract Image

开放性或关节镜下滑骨成形术治疗髌骨发育不良患者的术后结果比较。
背景:本研究的目的是比较关节镜下和开放式滑车成形术的临床和影像学结果。方法:2014年至2021年,83例患者共83例滑骨成形术。滑车成形术的手术指征为复发性髌股不稳,滑车外侧倾角(LTI)≤11˚,滑车深度≤6mm。其中40例采用开放技术(OT), 43例采用关节镜技术(AT)。所有病例均行髌股内侧韧带(MPFL)重建。当有指示时,进行额外的胫骨结节转移和/或股骨去旋转。分析术前和术后磁共振成像(MRI)对LTI、滑车深度和髌骨侧化的影响。术后主观临床评价采用Kujala评分、Banff II评分、Tegner评分和Marx评分。结果:15例OT患者和20例AT患者可随访。OT组平均随访29.9个月,AT组平均随访12.7个月。两组均未见再脱位。在两组术前和术后MRI扫描之间,观察到LTI显著减少,滑车深度增加,髌骨侧化减少。两组间观察到的MRI参数无显著差异。两组术后Kujala评分、Banff II评分、Tegner评分、Marx评分均无差异。AT组平均住院时间6.2天,OT组平均住院时间8.1天。手术时间OT组平均141 min, AT组平均160 min。结论:我们发现,接受关节镜下滑车成形术的患者在临床和放射学参数方面与接受开放式滑车成形术的患者有相当的结果。
本文章由计算机程序翻译,如有差异,请以英文原文为准。
求助全文
约1分钟内获得全文 求助全文
来源期刊
CiteScore
6.50
自引率
0.00%
发文量
42
审稿时长
19 weeks
×
引用
GB/T 7714-2015
复制
MLA
复制
APA
复制
导出至
BibTeX EndNote RefMan NoteFirst NoteExpress
×
提示
您的信息不完整,为了账户安全,请先补充。
现在去补充
×
提示
您因"违规操作"
具体请查看互助需知
我知道了
×
提示
确定
请完成安全验证×
copy
已复制链接
快去分享给好友吧!
我知道了
右上角分享
点击右上角分享
0
联系我们:info@booksci.cn Book学术提供免费学术资源搜索服务,方便国内外学者检索中英文文献。致力于提供最便捷和优质的服务体验。 Copyright © 2023 布克学术 All rights reserved.
京ICP备2023020795号-1
ghs 京公网安备 11010802042870号
Book学术文献互助
Book学术文献互助群
群 号:604180095
Book学术官方微信