Transverse Testicular Ectopy and an Incarcerated Inguinal Hernia in a 2-Month-Old Preterm Boy.

IF 0.7 Q4 SURGERY
European Journal of Pediatric Surgery Reports Pub Date : 2024-11-28 eCollection Date: 2024-01-01 DOI:10.1055/s-0044-1795163
Marcin Lech Kordasz, Michael Nakhleh, Christoph Matissek, Alexander Mack, Thomas Franz Krebs, Frank-Martin Haecker
{"title":"Transverse Testicular Ectopy and an Incarcerated Inguinal Hernia in a 2-Month-Old Preterm Boy.","authors":"Marcin Lech Kordasz, Michael Nakhleh, Christoph Matissek, Alexander Mack, Thomas Franz Krebs, Frank-Martin Haecker","doi":"10.1055/s-0044-1795163","DOIUrl":null,"url":null,"abstract":"<p><p>Transverse testicular ectopy (TTE) is a rare anomaly in which both testicles descend through the same inguinal canal. Different variants of this anomaly exist, with the most common presenting as two separate spermatic cords and testicular vessel bundles. The management of this condition is challenging, as various factors have to be considered. We report on a 2-month-old preterm boy with TTE, admitted to the hospital due to an ipsilateral incarcerated inguinal hernia. Diagnostic workup included a physical examination revealing a large swelling in the right groin, ultrasound imaging that showed both testicles located in the right inguinal canal, and laboratory tests indicating a deficiency of anti-Mullerian hormone. All of these findings confirmed the diagnosis of TTE. Surgical treatment included diagnostic laparoscopy with herniorrhaphy, followed by inguinal revision with transseptal orchidopexy in a second procedure. The 12-month follow-up was uneventful. Though rare, TTE is an important differential diagnosis in case of an incarcerated hernia combined with (contralateral) empty scrotum. Pediatric surgeons must be aware of this entity. Meticulous diagnostic workup and careful surgical management are mandatory.</p>","PeriodicalId":43204,"journal":{"name":"European Journal of Pediatric Surgery Reports","volume":"12 1","pages":"e81-e84"},"PeriodicalIF":0.7000,"publicationDate":"2024-11-28","publicationTypes":"Journal Article","fieldsOfStudy":null,"isOpenAccess":false,"openAccessPdf":"https://www.ncbi.nlm.nih.gov/pmc/articles/PMC11604302/pdf/","citationCount":"0","resultStr":null,"platform":"Semanticscholar","paperid":null,"PeriodicalName":"European Journal of Pediatric Surgery Reports","FirstCategoryId":"1085","ListUrlMain":"https://doi.org/10.1055/s-0044-1795163","RegionNum":0,"RegionCategory":null,"ArticlePicture":[],"TitleCN":null,"AbstractTextCN":null,"PMCID":null,"EPubDate":"2024/1/1 0:00:00","PubModel":"eCollection","JCR":"Q4","JCRName":"SURGERY","Score":null,"Total":0}
引用次数: 0

Abstract

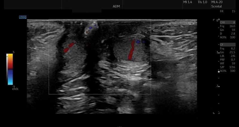
Transverse testicular ectopy (TTE) is a rare anomaly in which both testicles descend through the same inguinal canal. Different variants of this anomaly exist, with the most common presenting as two separate spermatic cords and testicular vessel bundles. The management of this condition is challenging, as various factors have to be considered. We report on a 2-month-old preterm boy with TTE, admitted to the hospital due to an ipsilateral incarcerated inguinal hernia. Diagnostic workup included a physical examination revealing a large swelling in the right groin, ultrasound imaging that showed both testicles located in the right inguinal canal, and laboratory tests indicating a deficiency of anti-Mullerian hormone. All of these findings confirmed the diagnosis of TTE. Surgical treatment included diagnostic laparoscopy with herniorrhaphy, followed by inguinal revision with transseptal orchidopexy in a second procedure. The 12-month follow-up was uneventful. Though rare, TTE is an important differential diagnosis in case of an incarcerated hernia combined with (contralateral) empty scrotum. Pediatric surgeons must be aware of this entity. Meticulous diagnostic workup and careful surgical management are mandatory.

Abstract Image

Abstract Image

睾丸横断切除及嵌顿性腹股沟疝1例2月早产儿。
睾丸横向异位(TTE)是一种罕见的异常,其中两个睾丸下降通过同一腹股沟管。这种异常存在不同的变体,最常见的表现为两条分离的精索和睾丸血管束。这种情况的管理是具有挑战性的,因为必须考虑各种因素。我们报告一个2个月大的早产儿,因同侧嵌顿腹股沟疝入院。诊断检查包括体格检查显示右侧腹股沟有大肿胀,超声成像显示两个睾丸位于右侧腹股沟管,实验室检查显示抗苗勒管激素缺乏。所有这些结果证实了TTE的诊断。手术治疗包括诊断性腹腔镜疝修补术,随后在第二次手术中进行腹股沟翻修和经间隔睾丸切除术。12个月的随访平安无事。虽然罕见,但在嵌顿疝合并(对侧)空阴囊的情况下,TTE是一个重要的鉴别诊断。儿科外科医生必须意识到这一点。细致的诊断检查和精心的手术管理是必须的。
本文章由计算机程序翻译,如有差异,请以英文原文为准。
求助全文
约1分钟内获得全文 求助全文
来源期刊
自引率
33.30%
发文量
39
审稿时长
12 weeks
×
引用
GB/T 7714-2015
复制
MLA
复制
APA
复制
导出至
BibTeX EndNote RefMan NoteFirst NoteExpress
×
提示
您的信息不完整,为了账户安全,请先补充。
现在去补充
×
提示
您因"违规操作"
具体请查看互助需知
我知道了
×
提示
确定
请完成安全验证×
copy
已复制链接
快去分享给好友吧!
我知道了
右上角分享
点击右上角分享
0
联系我们:info@booksci.cn Book学术提供免费学术资源搜索服务,方便国内外学者检索中英文文献。致力于提供最便捷和优质的服务体验。 Copyright © 2023 布克学术 All rights reserved.
京ICP备2023020795号-1
ghs 京公网安备 11010802042870号
Book学术文献互助
Book学术文献互助群
群 号:604180095
Book学术官方微信