Use of Extracorporeal Membrane Oxygenation-Facilitated Large-Bore Catheter Embolectomy in the Treatment of Acute Pulmonary Embolism Complicated by Shock.

IF 0.9 4区 医学
Texas Heart Institute Journal Pub Date : 2024-11-25 eCollection Date: 2024-07-01 DOI:10.14503/THIJ-24-8425
Hugh A Glazier, Amir Kaki
{"title":"Use of Extracorporeal Membrane Oxygenation-Facilitated Large-Bore Catheter Embolectomy in the Treatment of Acute Pulmonary Embolism Complicated by Shock.","authors":"Hugh A Glazier, Amir Kaki","doi":"10.14503/THIJ-24-8425","DOIUrl":null,"url":null,"abstract":"<p><p>This article reports the case of a 42-year-old man who presented with a saddle pulmonary embolus complicated by normotensive cardiogenic shock. The patient was first stabilized with venoarterial extracorporeal membrane oxygenation. Then, while the patient was still on extracorporeal membrane oxygenation, thrombectomy with a large-bore catheter device was performed that resulted in a large decrease in pulmonary artery pressures and a clinically significant increase in cardiac index, with rapid clinical improvement. Complete recovery of the patient's cardiopulmonary status has been maintained at intermediate-term follow-up. This treatment strategy should be considered favorably in the treatment of patients presenting with pulmonary embolism complicated by cardiogenic shock.</p>","PeriodicalId":48680,"journal":{"name":"Texas Heart Institute Journal","volume":"51 2","pages":"e248425"},"PeriodicalIF":0.9000,"publicationDate":"2024-11-25","publicationTypes":"Journal Article","fieldsOfStudy":null,"isOpenAccess":false,"openAccessPdf":"https://www.ncbi.nlm.nih.gov/pmc/articles/PMC11586476/pdf/","citationCount":"0","resultStr":null,"platform":"Semanticscholar","paperid":null,"PeriodicalName":"Texas Heart Institute Journal","FirstCategoryId":"3","ListUrlMain":"https://doi.org/10.14503/THIJ-24-8425","RegionNum":4,"RegionCategory":"医学","ArticlePicture":[],"TitleCN":null,"AbstractTextCN":null,"PMCID":null,"EPubDate":"2024/7/1 0:00:00","PubModel":"eCollection","JCR":"","JCRName":"","Score":null,"Total":0}
引用次数: 0

Abstract

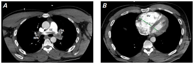
This article reports the case of a 42-year-old man who presented with a saddle pulmonary embolus complicated by normotensive cardiogenic shock. The patient was first stabilized with venoarterial extracorporeal membrane oxygenation. Then, while the patient was still on extracorporeal membrane oxygenation, thrombectomy with a large-bore catheter device was performed that resulted in a large decrease in pulmonary artery pressures and a clinically significant increase in cardiac index, with rapid clinical improvement. Complete recovery of the patient's cardiopulmonary status has been maintained at intermediate-term follow-up. This treatment strategy should be considered favorably in the treatment of patients presenting with pulmonary embolism complicated by cardiogenic shock.

Abstract Image

Abstract Image

Abstract Image

使用体外膜氧合促进大口径导管栓塞切除术治疗急性肺栓塞并发休克。
本文报告了一名 42 岁男子的病例,他出现了鞍状肺栓塞,并伴有血压正常的心源性休克。患者首先通过静脉动脉体外膜氧合稳定病情。然后,在患者仍在接受体外膜氧合的情况下,使用大口径导管装置进行了血栓切除术,结果肺动脉压力大幅下降,心脏指数显著上升,临床症状迅速改善。在中期随访中,患者的心肺功能一直保持完全恢复状态。在治疗肺栓塞并发心源性休克的患者时,应积极考虑这一治疗策略。
本文章由计算机程序翻译,如有差异,请以英文原文为准。
求助全文
约1分钟内获得全文 求助全文
来源期刊
Texas Heart Institute Journal
Texas Heart Institute Journal CARDIAC & CARDIOVASCULAR SYSTEMS-
自引率
11.10%
发文量
131
期刊介绍: For more than 45 years, the Texas Heart Institute Journal has been published by the Texas Heart Institute as part of its medical education program. Our bimonthly peer-reviewed journal enjoys a global audience of physicians, scientists, and healthcare professionals who are contributing to the prevention, diagnosis, and treatment of cardiovascular disease. The Journal was printed under the name of Cardiovascular Diseases from 1974 through 1981 (ISSN 0093-3546). The name was changed to Texas Heart Institute Journal in 1982 and was printed through 2013 (ISSN 0730-2347). In 2014, the Journal moved to online-only publication. It is indexed by Index Medicus/MEDLINE and by other indexing and abstracting services worldwide. Our full archive is available at PubMed Central. The Journal invites authors to submit these article types for review: -Clinical Investigations- Laboratory Investigations- Reviews- Techniques- Coronary Anomalies- History of Medicine- Case Reports/Case Series (Submission Fee: $70.00 USD)- Images in Cardiovascular Medicine (Submission Fee: $35.00 USD)- Guest Editorials- Peabody’s Corner- Letters to the Editor
×
引用
GB/T 7714-2015
复制
MLA
复制
APA
复制
导出至
BibTeX EndNote RefMan NoteFirst NoteExpress
×
提示
您的信息不完整,为了账户安全,请先补充。
现在去补充
×
提示
您因"违规操作"
具体请查看互助需知
我知道了
×
提示
确定
请完成安全验证×
copy
已复制链接
快去分享给好友吧!
我知道了
右上角分享
点击右上角分享
0
联系我们:info@booksci.cn Book学术提供免费学术资源搜索服务,方便国内外学者检索中英文文献。致力于提供最便捷和优质的服务体验。 Copyright © 2023 布克学术 All rights reserved.
京ICP备2023020795号-1
ghs 京公网安备 11010802042870号
Book学术文献互助
Book学术文献互助群
群 号:604180095
Book学术官方微信