Dengue-Related Hemophagocytic Lymphohistiocytosis in an Adult: A Case Report and Brief Update.

Avicenna Journal of Medicine Pub Date : 2024-09-25 eCollection Date: 2024-07-01 DOI:10.1055/s-0044-1788687
Anju Dinkar, Jitendra Singh, Nilesh Kumar, Kailash Kumar, Santosh Kumar Singh
{"title":"Dengue-Related Hemophagocytic Lymphohistiocytosis in an Adult: A Case Report and Brief Update.","authors":"Anju Dinkar, Jitendra Singh, Nilesh Kumar, Kailash Kumar, Santosh Kumar Singh","doi":"10.1055/s-0044-1788687","DOIUrl":null,"url":null,"abstract":"<p><p>Dengue virus is an arbovirus transmitted through the bite of infected Aedes mosquitoes. Many unusual clinical features are being reported in dengue. Dengue complicated with hemophagocytic lymphohistiocytosis (HLH) is a rare but potentially fatal condition. Here, we report an 18-year-old otherwise healthy female with dengue fever complicated with HLH. The diagnosis was made by fulfilling the clinical and laboratory criteria of HLH. She was managed successfully with a methylprednisolone pulse regimen. Our case highlights the importance of early recognition of complications and prompt treatment for a better outcome.</p>","PeriodicalId":32889,"journal":{"name":"Avicenna Journal of Medicine","volume":"14 3","pages":"175-178"},"PeriodicalIF":0.0000,"publicationDate":"2024-09-25","publicationTypes":"Journal Article","fieldsOfStudy":null,"isOpenAccess":false,"openAccessPdf":"https://www.ncbi.nlm.nih.gov/pmc/articles/PMC11581832/pdf/","citationCount":"0","resultStr":null,"platform":"Semanticscholar","paperid":null,"PeriodicalName":"Avicenna Journal of Medicine","FirstCategoryId":"1085","ListUrlMain":"https://doi.org/10.1055/s-0044-1788687","RegionNum":0,"RegionCategory":null,"ArticlePicture":[],"TitleCN":null,"AbstractTextCN":null,"PMCID":null,"EPubDate":"2024/7/1 0:00:00","PubModel":"eCollection","JCR":"","JCRName":"","Score":null,"Total":0}
引用次数: 0

Abstract

Dengue virus is an arbovirus transmitted through the bite of infected Aedes mosquitoes. Many unusual clinical features are being reported in dengue. Dengue complicated with hemophagocytic lymphohistiocytosis (HLH) is a rare but potentially fatal condition. Here, we report an 18-year-old otherwise healthy female with dengue fever complicated with HLH. The diagnosis was made by fulfilling the clinical and laboratory criteria of HLH. She was managed successfully with a methylprednisolone pulse regimen. Our case highlights the importance of early recognition of complications and prompt treatment for a better outcome.

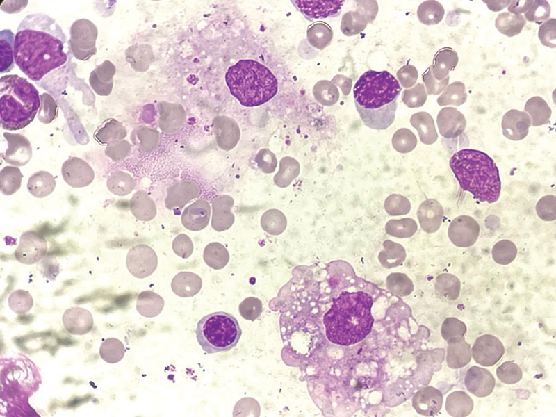
Abstract Image

成人登革热相关嗜血细胞淋巴组织细胞增多症:病例报告和简要更新。
登革热病毒是一种通过伊蚊叮咬传播的虫媒病毒。登革热有许多不寻常的临床特征。登革热并发嗜血细胞淋巴组织细胞增多症(HLH)是一种罕见但可能致命的疾病。在此,我们报告了一名 18 岁健康女性登革热并发嗜血细胞淋巴细胞增多症的病例。她的诊断符合 HLH 的临床和实验室标准。使用甲基强的松龙脉冲疗法后,她的病情得到了成功控制。我们的病例强调了早期识别并发症和及时治疗以获得更好疗效的重要性。
本文章由计算机程序翻译,如有差异,请以英文原文为准。
求助全文
约1分钟内获得全文 求助全文
来源期刊
自引率
0.00%
发文量
28
审稿时长
26 weeks
×
引用
GB/T 7714-2015
复制
MLA
复制
APA
复制
导出至
BibTeX EndNote RefMan NoteFirst NoteExpress
×
提示
您的信息不完整,为了账户安全,请先补充。
现在去补充
×
提示
您因"违规操作"
具体请查看互助需知
我知道了
×
提示
确定
请完成安全验证×
copy
已复制链接
快去分享给好友吧!
我知道了
右上角分享
点击右上角分享
0
联系我们:info@booksci.cn Book学术提供免费学术资源搜索服务,方便国内外学者检索中英文文献。致力于提供最便捷和优质的服务体验。 Copyright © 2023 布克学术 All rights reserved.
京ICP备2023020795号-1
ghs 京公网安备 11010802042870号
Book学术文献互助
Book学术文献互助群
群 号:604180095
Book学术官方微信