Acquired 11β-hydroxylase Deficiency by Inhaled Etomidate and its Analogues: A Mimic of Congenital Adrenal Hyperplasia.

JCEM case reports Pub Date : 2024-11-20 eCollection Date: 2024-12-01 DOI:10.1210/jcemcr/luae207
Choi Yee Lau, Yee Ting Tommy Cheung, Tsz Mo Andrea Han, Chun Ming Jeremy Chung, Yeow Kuan Chong, Pak Lam Sammy Chen
{"title":"Acquired 11β-hydroxylase Deficiency by Inhaled Etomidate and its Analogues: A Mimic of Congenital Adrenal Hyperplasia.","authors":"Choi Yee Lau, Yee Ting Tommy Cheung, Tsz Mo Andrea Han, Chun Ming Jeremy Chung, Yeow Kuan Chong, Pak Lam Sammy Chen","doi":"10.1210/jcemcr/luae207","DOIUrl":null,"url":null,"abstract":"<p><p>The increase in popularity of electronic cigarettes arouses great health concern. We describe a case of a 35-year-old female with chronic use of electronic cigarettes. She presented with secondary amenorrhea and prominent features of hyperandrogenism, including acne vulgaris, male-pattern alopecia, deepening of voice, and hirsutism. The initial biochemical workup revealed a profile indicating 11β-hydroxylase deficiency. However, genetic analysis did not show any evidence of <i>CYP11B1</i> mutation. This patient manifested the florid signs of disrupted steroidogenesis brought by chronic use of electronic cigarette oil containing etomidate and propoxate/isopropoxate, which are compounds structurally resembling etomidate. High clinical suspicion and sound understanding of the pharmacology and pathophysiology were instrumental in establishing the diagnosis for our present case.</p>","PeriodicalId":73540,"journal":{"name":"JCEM case reports","volume":"2 12","pages":"luae207"},"PeriodicalIF":0.0000,"publicationDate":"2024-11-20","publicationTypes":"Journal Article","fieldsOfStudy":null,"isOpenAccess":false,"openAccessPdf":"https://www.ncbi.nlm.nih.gov/pmc/articles/PMC11577607/pdf/","citationCount":"0","resultStr":null,"platform":"Semanticscholar","paperid":null,"PeriodicalName":"JCEM case reports","FirstCategoryId":"1085","ListUrlMain":"https://doi.org/10.1210/jcemcr/luae207","RegionNum":0,"RegionCategory":null,"ArticlePicture":[],"TitleCN":null,"AbstractTextCN":null,"PMCID":null,"EPubDate":"2024/12/1 0:00:00","PubModel":"eCollection","JCR":"","JCRName":"","Score":null,"Total":0}
引用次数: 0

Abstract

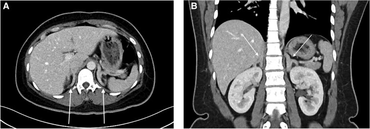
The increase in popularity of electronic cigarettes arouses great health concern. We describe a case of a 35-year-old female with chronic use of electronic cigarettes. She presented with secondary amenorrhea and prominent features of hyperandrogenism, including acne vulgaris, male-pattern alopecia, deepening of voice, and hirsutism. The initial biochemical workup revealed a profile indicating 11β-hydroxylase deficiency. However, genetic analysis did not show any evidence of CYP11B1 mutation. This patient manifested the florid signs of disrupted steroidogenesis brought by chronic use of electronic cigarette oil containing etomidate and propoxate/isopropoxate, which are compounds structurally resembling etomidate. High clinical suspicion and sound understanding of the pharmacology and pathophysiology were instrumental in establishing the diagnosis for our present case.

Abstract Image

Abstract Image

Abstract Image

通过吸入依托咪酯及其类似物获得的 11β- 羟化酶缺乏症:先天性肾上腺增生症的模拟物
电子香烟的普及引起了人们对健康的极大关注。我们描述了一例 35 岁女性长期使用电子香烟的病例。她出现继发性闭经,并有明显的高雄激素特征,包括寻常痤疮、男性型脱发、声音加深和多毛。初步生化检查显示,该患者存在 11β- 羟化酶缺乏症。然而,基因分析并未显示任何 CYP11B1 基因突变的证据。该患者因长期使用含有依托咪酯和丙氧基酸/异丙氧基酸的电子烟油(结构上类似于依托咪酯的化合物)而表现出类固醇生成紊乱的症状。临床上的高度怀疑以及对药理学和病理生理学的正确理解有助于确诊本病例。
本文章由计算机程序翻译,如有差异,请以英文原文为准。
求助全文
约1分钟内获得全文 求助全文
来源期刊
自引率
0.00%
发文量
0
×
引用
GB/T 7714-2015
复制
MLA
复制
APA
复制
导出至
BibTeX EndNote RefMan NoteFirst NoteExpress
×
提示
您的信息不完整,为了账户安全,请先补充。
现在去补充
×
提示
您因"违规操作"
具体请查看互助需知
我知道了
×
提示
确定
请完成安全验证×
copy
已复制链接
快去分享给好友吧!
我知道了
右上角分享
点击右上角分享
0
联系我们:info@booksci.cn Book学术提供免费学术资源搜索服务,方便国内外学者检索中英文文献。致力于提供最便捷和优质的服务体验。 Copyright © 2023 布克学术 All rights reserved.
京ICP备2023020795号-1
ghs 京公网安备 11010802042870号
Book学术文献互助
Book学术文献互助群
群 号:604180095
Book学术官方微信