The impact of acromial morphology on the localization and size of calcific tendonitis in the rotator cuff.

IF 1
Olgar Birsel, Emrah Çalışkan, İlker Eren, Batuhan Yürük, Hakan Özben, Mehmet Demirhan
{"title":"The impact of acromial morphology on the localization and size of calcific tendonitis in the rotator cuff.","authors":"Olgar Birsel, Emrah Çalışkan, İlker Eren, Batuhan Yürük, Hakan Özben, Mehmet Demirhan","doi":"10.5152/j.aott.2024.24035","DOIUrl":null,"url":null,"abstract":"<p><strong>Objective: </strong>This study aimed to investigate the association between acromial morphology and the incidence and extent of calcific tendonitis.</p><p><strong>Methods: </strong>Ninety-two patients (33 male, 59 female; mean age: 47 ± 9.7) with calcific tendonitis were included in this retrospective study. Critical shoulder angle (CSA), slope angle, lateral acromial angle (LAA), acromion index (AI), acromial type according to Bigliani, and the morphology of the calcific deposits according to Gartner and Heyer were assessed on x-rays. The localization and volume of the calcific deposits were assessed using magnetic resonance imaging (MRI). Patients were divided into 2 groups: CSA < 33° (group 1) and CSA ≥ 33° (group 2).</p><p><strong>Results: </strong>The median CSA was 33.5° (range=23°-51°), lateral acromial angle (LAA) was 83.6° (range=60°-106°), acromial index (AI) was 0.7 (range=0.4-0.9), and slope angle was 24.1° (range=3°-40°). Lateral acromial angle (P=.000) and AI (P=.000) were statistically different between the 2 groups. Critical shoulder angle was correlated with LAA (P=.000) and AI (P=.000); deposit volumes were correlated with slope angle (P=.001), Bigliani type of the acromion (P=.009), and deposit stage according to Gartner and Heyer (P=.004). There was a correlation between deposit localization and its volume; the size of the deposit increased anteriorly (P=.000).</p><p><strong>Conclusion: </strong>This study has shown that CSA failed to quantify a patient's predisposition to calcific tendonitis. However, the findings demonstrate a relationship between the morphological parameters in the sagittal plane, such as acromial slope and deposit volume, which deserve further research.</p><p><strong>Level of evidence: </strong>Level III, Prognostic Study.</p>","PeriodicalId":93854,"journal":{"name":"Acta orthopaedica et traumatologica turcica","volume":"58 5","pages":"263-268"},"PeriodicalIF":1.0000,"publicationDate":"2024-11-08","publicationTypes":"Journal Article","fieldsOfStudy":null,"isOpenAccess":false,"openAccessPdf":"https://www.ncbi.nlm.nih.gov/pmc/articles/PMC11583934/pdf/","citationCount":"0","resultStr":null,"platform":"Semanticscholar","paperid":null,"PeriodicalName":"Acta orthopaedica et traumatologica turcica","FirstCategoryId":"1085","ListUrlMain":"https://doi.org/10.5152/j.aott.2024.24035","RegionNum":0,"RegionCategory":null,"ArticlePicture":[],"TitleCN":null,"AbstractTextCN":null,"PMCID":null,"EPubDate":"","PubModel":"","JCR":"","JCRName":"","Score":null,"Total":0}
引用次数: 0

Abstract

Objective: This study aimed to investigate the association between acromial morphology and the incidence and extent of calcific tendonitis.

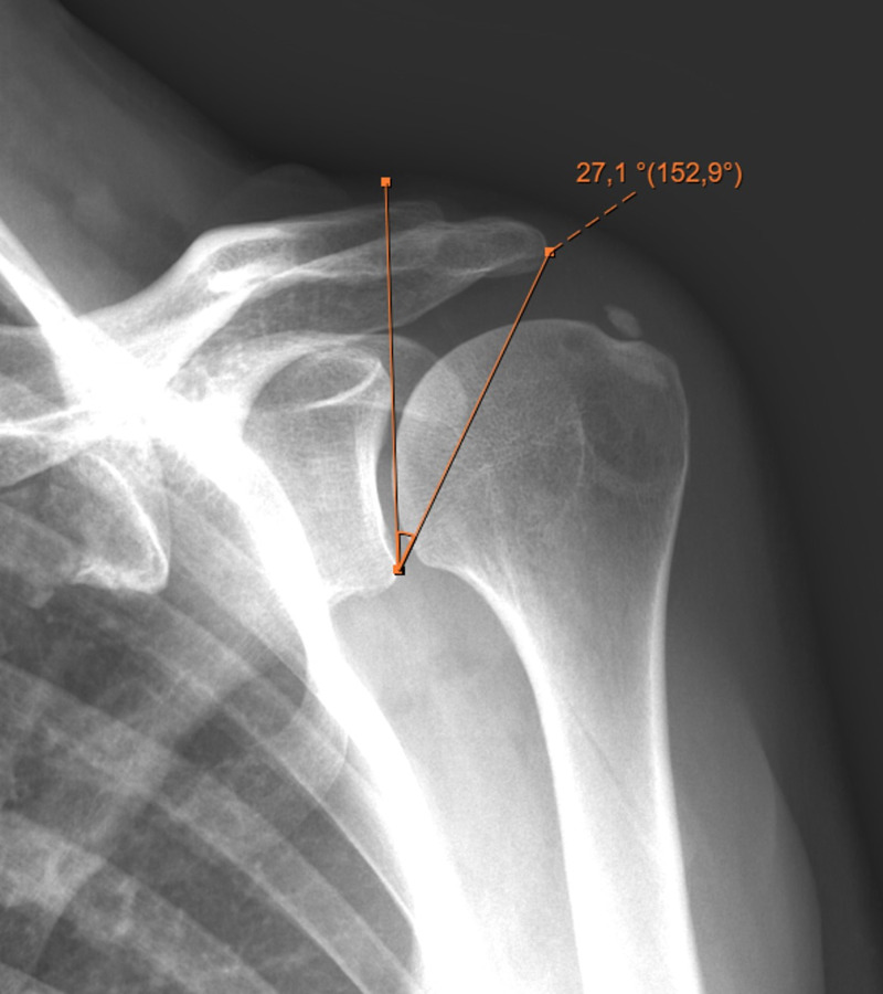
Methods: Ninety-two patients (33 male, 59 female; mean age: 47 ± 9.7) with calcific tendonitis were included in this retrospective study. Critical shoulder angle (CSA), slope angle, lateral acromial angle (LAA), acromion index (AI), acromial type according to Bigliani, and the morphology of the calcific deposits according to Gartner and Heyer were assessed on x-rays. The localization and volume of the calcific deposits were assessed using magnetic resonance imaging (MRI). Patients were divided into 2 groups: CSA < 33° (group 1) and CSA ≥ 33° (group 2).

Results: The median CSA was 33.5° (range=23°-51°), lateral acromial angle (LAA) was 83.6° (range=60°-106°), acromial index (AI) was 0.7 (range=0.4-0.9), and slope angle was 24.1° (range=3°-40°). Lateral acromial angle (P=.000) and AI (P=.000) were statistically different between the 2 groups. Critical shoulder angle was correlated with LAA (P=.000) and AI (P=.000); deposit volumes were correlated with slope angle (P=.001), Bigliani type of the acromion (P=.009), and deposit stage according to Gartner and Heyer (P=.004). There was a correlation between deposit localization and its volume; the size of the deposit increased anteriorly (P=.000).

Conclusion: This study has shown that CSA failed to quantify a patient's predisposition to calcific tendonitis. However, the findings demonstrate a relationship between the morphological parameters in the sagittal plane, such as acromial slope and deposit volume, which deserve further research.

Level of evidence: Level III, Prognostic Study.

Abstract Image

Abstract Image

Abstract Image

肩峰形态对肩袖钙化性肌腱炎的定位和大小的影响。
研究目的本研究旨在探讨肩峰形态与钙化性肌腱炎的发病率和程度之间的关系:这项回顾性研究共纳入 92 名钙化性肌腱炎患者(33 名男性,59 名女性;平均年龄:47 ± 9.7)。通过X光片评估了肩部临界角(CSA)、斜坡角、肩峰外侧角(LAA)、肩峰指数(AI)、根据Bigliani划分的肩峰类型以及根据Gartner和Heyer划分的钙化沉积物形态。通过磁共振成像(MRI)评估钙化沉积物的位置和体积。患者分为两组:CSA<33°(第1组)和CSA≥33°(第2组):中位 CSA 为 33.5°(范围=23°-51°),肩峰外侧角(LAA)为 83.6°(范围=60°-106°),肩峰指数(AI)为 0.7(范围=0.4-0.9),斜角为 24.1°(范围=3°-40°)。两组患者的肩峰外侧角(P=.000)和肩峰指数(AI)(P=.000)存在统计学差异。临界肩角与LAA(P=.000)和AI(P=.000)相关;沉积物体积与斜角(P=.001)、肩峰Bigliani类型(P=.009)以及根据Gartner和Heyer划分的沉积物阶段(P=.004)相关。沉积物定位与沉积物体积之间存在相关性;沉积物体积向前方增加(P=.000):本研究表明,CSA 无法量化患者钙化性肌腱炎的易感性。然而,研究结果表明,矢状面上的形态参数(如肩峰斜度)与沉积物体积之间存在关系,值得进一步研究:三级,预后研究。
本文章由计算机程序翻译,如有差异,请以英文原文为准。
求助全文
约1分钟内获得全文 求助全文
来源期刊
自引率
0.00%
发文量
0
×
引用
GB/T 7714-2015
复制
MLA
复制
APA
复制
导出至
BibTeX EndNote RefMan NoteFirst NoteExpress
×
提示
您的信息不完整,为了账户安全,请先补充。
现在去补充
×
提示
您因"违规操作"
具体请查看互助需知
我知道了
×
提示
确定
请完成安全验证×
copy
已复制链接
快去分享给好友吧!
我知道了
右上角分享
点击右上角分享
0
联系我们:info@booksci.cn Book学术提供免费学术资源搜索服务,方便国内外学者检索中英文文献。致力于提供最便捷和优质的服务体验。 Copyright © 2023 布克学术 All rights reserved.
京ICP备2023020795号-1
ghs 京公网安备 11010802042870号
Book学术文献互助
Book学术文献互助群
群 号:604180095
Book学术官方微信