An Unusual Histopathological Presentation of Mandibular Osteosarcoma.

IF 4.1 Q2 PATHOLOGY
Saja A Alramadhan, Rutvi Vyas, Donald M Cohen, Indraneel Bhattacharyya, Mohammed N Islam, John D Reith
{"title":"An Unusual Histopathological Presentation of Mandibular Osteosarcoma.","authors":"Saja A Alramadhan, Rutvi Vyas, Donald M Cohen, Indraneel Bhattacharyya, Mohammed N Islam, John D Reith","doi":"10.1007/s12105-024-01724-4","DOIUrl":null,"url":null,"abstract":"<p><p>Jaw osteosarcoma (JOS) is a rare, distinct variant that differ from long bone osteosarcoma (LBOS) in several aspects. JOS typically appears about twenty years later than LBOS, displays a lower propensity for metastasis to other organs, and exhibits better survival rates. The dissimilarities in clinical and biological behavior between JOS and LBOS are likely due, at least in part, to variations in their respective microenvironments. In this report, we present a case of OS affecting the mandible in a young patient. This case displayed classic radiographic features but a unique histopathological presentation, posing a diagnostic challenge for pathologists, especially if encountered in small biopsies.</p>","PeriodicalId":47972,"journal":{"name":"Head & Neck Pathology","volume":"18 1","pages":"121"},"PeriodicalIF":4.1000,"publicationDate":"2024-11-19","publicationTypes":"Journal Article","fieldsOfStudy":null,"isOpenAccess":false,"openAccessPdf":"https://www.ncbi.nlm.nih.gov/pmc/articles/PMC11576681/pdf/","citationCount":"0","resultStr":null,"platform":"Semanticscholar","paperid":null,"PeriodicalName":"Head & Neck Pathology","FirstCategoryId":"1085","ListUrlMain":"https://doi.org/10.1007/s12105-024-01724-4","RegionNum":0,"RegionCategory":null,"ArticlePicture":[],"TitleCN":null,"AbstractTextCN":null,"PMCID":null,"EPubDate":"","PubModel":"","JCR":"Q2","JCRName":"PATHOLOGY","Score":null,"Total":0}
引用次数: 0

Abstract

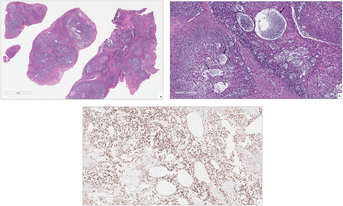
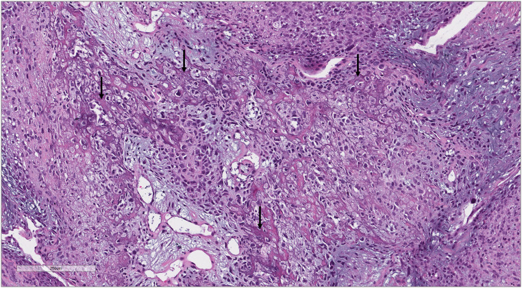
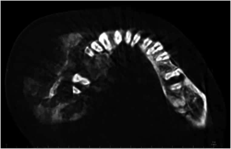
Jaw osteosarcoma (JOS) is a rare, distinct variant that differ from long bone osteosarcoma (LBOS) in several aspects. JOS typically appears about twenty years later than LBOS, displays a lower propensity for metastasis to other organs, and exhibits better survival rates. The dissimilarities in clinical and biological behavior between JOS and LBOS are likely due, at least in part, to variations in their respective microenvironments. In this report, we present a case of OS affecting the mandible in a young patient. This case displayed classic radiographic features but a unique histopathological presentation, posing a diagnostic challenge for pathologists, especially if encountered in small biopsies.

Abstract Image

Abstract Image

Abstract Image

下颌骨骨肉瘤的异常组织病理学表现
颌骨骨肉瘤(JOS)是一种罕见的独特变种,在多个方面与长骨骨肉瘤(LBOS)不同。JOS 通常比 LBOS 晚出现二十年左右,向其他器官转移的倾向较低,存活率较高。JOS和LBOS在临床和生物学行为上的差异可能至少部分是由于它们各自微环境的差异造成的。在本报告中,我们介绍了一例影响下颌骨的年轻 OS 患者。该病例具有典型的放射学特征,但组织病理学表现却很独特,这给病理学家的诊断带来了挑战,尤其是在小活检中遇到这种情况时。
本文章由计算机程序翻译,如有差异,请以英文原文为准。
求助全文
约1分钟内获得全文 求助全文
来源期刊
CiteScore
5.70
自引率
9.50%
发文量
99
期刊介绍: Head & Neck Pathology presents scholarly papers, reviews and symposia that cover the spectrum of human surgical pathology within the anatomic zones of the oral cavity, sinonasal tract, larynx, hypopharynx, salivary gland, ear and temporal bone, and neck. The journal publishes rapid developments in new diagnostic criteria, intraoperative consultation, immunohistochemical studies, molecular techniques, genetic analyses, diagnostic aids, experimental pathology, cytology, radiographic imaging, and application of uniform terminology to allow practitioners to continue to maintain and expand their knowledge in the subspecialty of head and neck pathology. Coverage of practical application to daily clinical practice is supported with proceedings and symposia from international societies and academies devoted to this field. Single-blind peer review The journal follows a single-blind review procedure, where the reviewers are aware of the names and affiliations of the authors, but the reviewer reports provided to authors are anonymous. Single-blind peer review is the traditional model of peer review that many reviewers are comfortable with, and it facilitates a dispassionate critique of a manuscript.
×
引用
GB/T 7714-2015
复制
MLA
复制
APA
复制
导出至
BibTeX EndNote RefMan NoteFirst NoteExpress
×
提示
您的信息不完整,为了账户安全,请先补充。
现在去补充
×
提示
您因"违规操作"
具体请查看互助需知
我知道了
×
提示
确定
请完成安全验证×
copy
已复制链接
快去分享给好友吧!
我知道了
右上角分享
点击右上角分享
0
联系我们:info@booksci.cn Book学术提供免费学术资源搜索服务,方便国内外学者检索中英文文献。致力于提供最便捷和优质的服务体验。 Copyright © 2023 布克学术 All rights reserved.
京ICP备2023020795号-1
ghs 京公网安备 11010802042870号
Book学术文献互助
Book学术文献互助群
群 号:604180095
Book学术官方微信