Intracerebral Hemorrhage.

IF 2.1 Q3 PERIPHERAL VASCULAR DISEASE
Cerebrovascular Diseases Extra Pub Date : 2025-01-01 Epub Date: 2024-11-18 DOI:10.1159/000542566
Tsong-Hai Lee
{"title":"Intracerebral Hemorrhage.","authors":"Tsong-Hai Lee","doi":"10.1159/000542566","DOIUrl":null,"url":null,"abstract":"<p><strong>Background: </strong>Compared to ischemic stroke, intracerebral hemorrhage (ICH) has higher mortality and more severe disability. Asian such as Chinese and Japanese and Mexican Americans, Latin Americans, African Americans, Native Americans has higher incidences than do white Americans. So, ICH is an important cerebrovascular disease in Asia.</p><p><strong>Summary: </strong>ICH accounts for approximately 10-20% of all strokes. The incidence of ICH is higher in low- and middle-income than high-income countries and is estimated 8-15% in western countries like USA, UK, and Australia, and 18-24% in Japan, Taiwan, and Korea. The ICH incidence increases exponentially with age, and old age especially over 80 years is a major predictor of mortality independent of ICH severity. Females are older at the onset of ICH and have higher clinical severity than males. Modifiable risk factors include blood pressure, smoking, alcohol consumption, lipid profiles, use of anticoagulants, antiplatelet agents, and sympathomimetic drugs. Non-modifiable risk factors constitute old age, male gender, Asian ethnicity, cerebral amyloid angiopathy, cerebral microbleed, and chronic kidney disease. Blood pressure is the most important risk factor of ICH. Imaging markers may help predict ICH outcome, which include black hole sign, blend sign, iodine sign, island sign, leakage sign, satellite sign, spot sign, spot-tail sign, swirl sign, and hypodensities. ICH prognostic scoring system such as ICH scoring system and ICH grading scale scoring system in Chinese and Osaka prognostic score and Naples prognostic score has been used to predict ICH outcome. Early minimally invasive removal of ICH can be recommended for lobar ICH of 30-80 mL within 24 h after onset. Decompressive craniectomy without clot evacuation might benefit ICH patients aged 18-75 years with 30-100 mL at basal ganglia or thalamus. However, clinical studies are needed to investigate the effect of surgery on patients with smaller or larger ICH, ICH in non-lobar locations, and for older patients or patients with preexisting disability. Surgical treatment is usually associated with neurological sequels if survived. For medical treatment, blood pressure lowering should be careful titrated to secure continuous smooth and sustained control and avoid peaks and large variability in systolic blood pressure. Stroke and cancer are the most common causes of death in Asian ICH patients, compared to stroke and cardiac disease in non-Asian patients.</p><p><strong>Key messages: </strong>The incidence and outcome are different between Asian and non-Asian patients, and more clinical studies are needed to investigate the best management for Asian ICH patients.</p>","PeriodicalId":45709,"journal":{"name":"Cerebrovascular Diseases Extra","volume":" ","pages":"1-8"},"PeriodicalIF":2.1000,"publicationDate":"2025-01-01","publicationTypes":"Journal Article","fieldsOfStudy":null,"isOpenAccess":false,"openAccessPdf":"https://www.ncbi.nlm.nih.gov/pmc/articles/PMC11658787/pdf/","citationCount":"0","resultStr":null,"platform":"Semanticscholar","paperid":null,"PeriodicalName":"Cerebrovascular Diseases Extra","FirstCategoryId":"1085","ListUrlMain":"https://doi.org/10.1159/000542566","RegionNum":0,"RegionCategory":null,"ArticlePicture":[],"TitleCN":null,"AbstractTextCN":null,"PMCID":null,"EPubDate":"2024/11/18 0:00:00","PubModel":"Epub","JCR":"Q3","JCRName":"PERIPHERAL VASCULAR DISEASE","Score":null,"Total":0}
引用次数: 0

Abstract

Background: Compared to ischemic stroke, intracerebral hemorrhage (ICH) has higher mortality and more severe disability. Asian such as Chinese and Japanese and Mexican Americans, Latin Americans, African Americans, Native Americans has higher incidences than do white Americans. So, ICH is an important cerebrovascular disease in Asia.

Summary: ICH accounts for approximately 10-20% of all strokes. The incidence of ICH is higher in low- and middle-income than high-income countries and is estimated 8-15% in western countries like USA, UK, and Australia, and 18-24% in Japan, Taiwan, and Korea. The ICH incidence increases exponentially with age, and old age especially over 80 years is a major predictor of mortality independent of ICH severity. Females are older at the onset of ICH and have higher clinical severity than males. Modifiable risk factors include blood pressure, smoking, alcohol consumption, lipid profiles, use of anticoagulants, antiplatelet agents, and sympathomimetic drugs. Non-modifiable risk factors constitute old age, male gender, Asian ethnicity, cerebral amyloid angiopathy, cerebral microbleed, and chronic kidney disease. Blood pressure is the most important risk factor of ICH. Imaging markers may help predict ICH outcome, which include black hole sign, blend sign, iodine sign, island sign, leakage sign, satellite sign, spot sign, spot-tail sign, swirl sign, and hypodensities. ICH prognostic scoring system such as ICH scoring system and ICH grading scale scoring system in Chinese and Osaka prognostic score and Naples prognostic score has been used to predict ICH outcome. Early minimally invasive removal of ICH can be recommended for lobar ICH of 30-80 mL within 24 h after onset. Decompressive craniectomy without clot evacuation might benefit ICH patients aged 18-75 years with 30-100 mL at basal ganglia or thalamus. However, clinical studies are needed to investigate the effect of surgery on patients with smaller or larger ICH, ICH in non-lobar locations, and for older patients or patients with preexisting disability. Surgical treatment is usually associated with neurological sequels if survived. For medical treatment, blood pressure lowering should be careful titrated to secure continuous smooth and sustained control and avoid peaks and large variability in systolic blood pressure. Stroke and cancer are the most common causes of death in Asian ICH patients, compared to stroke and cardiac disease in non-Asian patients.

Key messages: The incidence and outcome are different between Asian and non-Asian patients, and more clinical studies are needed to investigate the best management for Asian ICH patients.

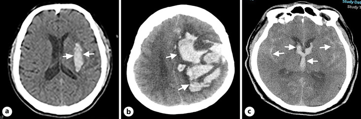
Abstract Image

脑出血
背景:与缺血性中风相比,脑内出血(ICH)的死亡率更高,致残程度更严重。亚洲人,如中国人、日本人、墨西哥裔美国人、拉丁美洲人、非洲裔美国人、土著美国人的发病率高于美国白人。因此,ICH 在亚洲是一种重要的脑血管疾病。中低收入国家的 ICH 发病率高于高收入国家,估计美国、英国和澳大利亚等西方国家的发病率为 8-15%,日本、台湾和韩国为 18-24%。随着年龄的增长,ICH 的发病率呈指数增长,而高龄(尤其是 80 岁以上)是预测死亡率的主要因素,与 ICH 的严重程度无关。与男性相比,女性在 ICH 发病时年龄更大,临床严重程度更高。可改变的风险因素包括血压、吸烟、饮酒、血脂状况、抗凝药物、抗血小板药物和拟交感神经药物的使用。不可改变的风险因素包括高龄、男性、亚裔、脑淀粉样血管病、脑微出血和慢性肾病。血压是导致 ICH 的最重要风险因素。影像学标志物有助于预测 ICH 的预后,包括黑洞征、混合征、碘征、岛征、渗漏征、卫星征、斑点征、斑尾征、漩涡征和低密度。ICH 预后评分系统,如中文的 ICH 评分系统和 ICH 分级评分系统,以及大阪预后评分和那不勒斯预后评分,已被用于预测 ICH 的预后。对于 30-80 毫升的大叶 ICH,建议在发病后 24 小时内进行早期微创 ICH 清除。对于年龄在 18-75 岁、基底节或丘脑部位的 30-100 毫升 ICH 患者,不清除血凝块的减压开颅手术可能会使其获益。然而,对于较小或较大的 ICH 患者、非脑叶位置的 ICH 患者、年龄较大的患者或已有残疾的患者,还需要进行临床研究,以了解手术治疗的效果。手术治疗如果存活,通常会出现神经系统后遗症。在药物治疗方面,降压应谨慎滴定,以确保持续平稳的血压控制,避免收缩压达到峰值或变化较大。与非亚洲患者的中风和心脏病相比,中风和癌症是亚洲 ICH 患者最常见的死亡原因:关键信息:亚裔和非亚裔患者的发病率和预后不同,需要更多的临床研究来探讨亚裔 ICH 患者的最佳治疗方法。
本文章由计算机程序翻译,如有差异,请以英文原文为准。
求助全文
约1分钟内获得全文 求助全文
来源期刊
Cerebrovascular Diseases Extra
Cerebrovascular Diseases Extra PERIPHERAL VASCULAR DISEASE-
CiteScore
3.50
自引率
0.00%
发文量
16
审稿时长
8 weeks
期刊介绍: This open access and online-only journal publishes original articles covering the entire spectrum of stroke and cerebrovascular research, drawing from a variety of specialties such as neurology, internal medicine, surgery, radiology, epidemiology, cardiology, hematology, psychology and rehabilitation. Offering an international forum, it meets the growing need for sophisticated, up-to-date scientific information on clinical data, diagnostic testing, and therapeutic issues. The journal publishes original contributions, reviews of selected topics as well as clinical investigative studies. All aspects related to clinical advances are considered, while purely experimental work appears only if directly relevant to clinical issues. Cerebrovascular Diseases Extra provides additional contents based on reviewed and accepted submissions to the main journal Cerebrovascular Diseases.
×
引用
GB/T 7714-2015
复制
MLA
复制
APA
复制
导出至
BibTeX EndNote RefMan NoteFirst NoteExpress
×
提示
您的信息不完整,为了账户安全,请先补充。
现在去补充
×
提示
您因"违规操作"
具体请查看互助需知
我知道了
×
提示
确定
请完成安全验证×
copy
已复制链接
快去分享给好友吧!
我知道了
右上角分享
点击右上角分享
0
联系我们:info@booksci.cn Book学术提供免费学术资源搜索服务,方便国内外学者检索中英文文献。致力于提供最便捷和优质的服务体验。 Copyright © 2023 布克学术 All rights reserved.
京ICP备2023020795号-1
ghs 京公网安备 11010802042870号
Book学术文献互助
Book学术文献互助群
群 号:604180095
Book学术官方微信