Pediatric Opioid‑Use‑Associated Neurotoxicity with Cerebellar Edema: A Case of POUNCE Syndrome Following Vein of Galen Aneurysm Treatment.

IF 1.3 4区 医学 Q4 RADIOLOGY, NUCLEAR MEDICINE & MEDICAL IMAGING
Journal of the Belgian Society of Radiology Pub Date : 2024-11-14 eCollection Date: 2024-01-01 DOI:10.5334/jbsr.3786
Maxime Goldfinger
{"title":"Pediatric Opioid‑Use‑Associated Neurotoxicity with Cerebellar Edema: A Case of POUNCE Syndrome Following Vein of Galen Aneurysm Treatment.","authors":"Maxime Goldfinger","doi":"10.5334/jbsr.3786","DOIUrl":null,"url":null,"abstract":"<p><p>We report the case of a 4‑year‑old child who experienced rapid neurological decline following opioid administration during anesthesia for an interventional procedure to treat a vein of Galen aneurysm. Cerebral magnetic resonance imaging (MRI) revealed marked cytotoxic edema in both cerebellar hemispheres and the brainstem, indicative of opioid‑induced neurotoxicity. A follow‑up MRI, performed 2 weeks later, showed profound cerebellar and brainstem atrophy and showed reduction in mass effect due to cytotoxic edema. <i>Teaching point:</i> Pediatric opioid‑use‑associated neurotoxicity with cerebellar edema (POUNCE) syndrome is a rare condition, characterized by cerebellar edema as a hallmark feature, which can be identified on MRI in pediatric patients following opioid use.</p>","PeriodicalId":55987,"journal":{"name":"Journal of the Belgian Society of Radiology","volume":"108 1","pages":"106"},"PeriodicalIF":1.3000,"publicationDate":"2024-11-14","publicationTypes":"Journal Article","fieldsOfStudy":null,"isOpenAccess":false,"openAccessPdf":"https://www.ncbi.nlm.nih.gov/pmc/articles/PMC11568805/pdf/","citationCount":"0","resultStr":null,"platform":"Semanticscholar","paperid":null,"PeriodicalName":"Journal of the Belgian Society of Radiology","FirstCategoryId":"3","ListUrlMain":"https://doi.org/10.5334/jbsr.3786","RegionNum":4,"RegionCategory":"医学","ArticlePicture":[],"TitleCN":null,"AbstractTextCN":null,"PMCID":null,"EPubDate":"2024/1/1 0:00:00","PubModel":"eCollection","JCR":"Q4","JCRName":"RADIOLOGY, NUCLEAR MEDICINE & MEDICAL IMAGING","Score":null,"Total":0}
引用次数: 0

Abstract

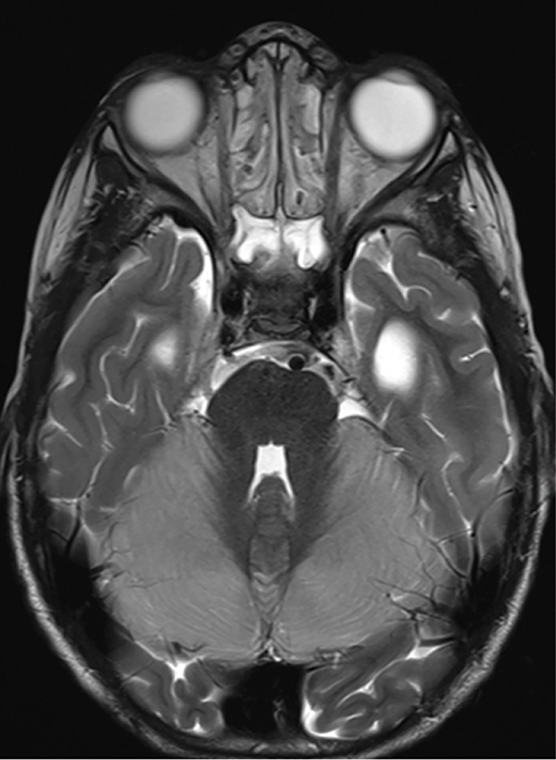
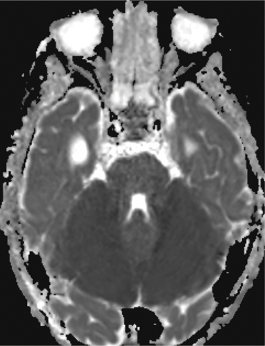
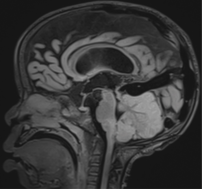
We report the case of a 4‑year‑old child who experienced rapid neurological decline following opioid administration during anesthesia for an interventional procedure to treat a vein of Galen aneurysm. Cerebral magnetic resonance imaging (MRI) revealed marked cytotoxic edema in both cerebellar hemispheres and the brainstem, indicative of opioid‑induced neurotoxicity. A follow‑up MRI, performed 2 weeks later, showed profound cerebellar and brainstem atrophy and showed reduction in mass effect due to cytotoxic edema. Teaching point: Pediatric opioid‑use‑associated neurotoxicity with cerebellar edema (POUNCE) syndrome is a rare condition, characterized by cerebellar edema as a hallmark feature, which can be identified on MRI in pediatric patients following opioid use.

Abstract Image

Abstract Image

Abstract Image

小儿阿片类药物使用相关神经毒性伴小脑水肿:Galen 静脉动脉瘤治疗后的 POUNCE 综合征病例。
我们报告了一例 4 岁患儿的病例,该患儿在接受介入手术治疗 Galen 静脉动脉瘤的麻醉过程中服用了阿片类药物,随后神经功能迅速衰退。脑磁共振成像(MRI)显示小脑半球和脑干出现明显的细胞毒性水肿,表明阿片类药物诱发了神经毒性。两周后进行的随访核磁共振成像显示,小脑和脑干严重萎缩,细胞毒性水肿导致的肿块效应减弱。教学要点小儿阿片类药物使用相关神经毒性伴小脑水肿(POUNCE)综合征是一种罕见病,其特征是小脑水肿,可在小儿患者使用阿片类药物后通过核磁共振成像发现。
本文章由计算机程序翻译,如有差异,请以英文原文为准。
求助全文
约1分钟内获得全文 求助全文
来源期刊
Journal of the Belgian Society of Radiology
Journal of the Belgian Society of Radiology Medicine-Radiology, Nuclear Medicine and Imaging
CiteScore
0.70
自引率
5.00%
发文量
96
期刊介绍: The purpose of the Journal of the Belgian Society of Radiology is the publication of articles dealing with diagnostic and interventional radiology, related imaging techniques, allied sciences, and continuing education.
×
引用
GB/T 7714-2015
复制
MLA
复制
APA
复制
导出至
BibTeX EndNote RefMan NoteFirst NoteExpress
×
提示
您的信息不完整,为了账户安全,请先补充。
现在去补充
×
提示
您因"违规操作"
具体请查看互助需知
我知道了
×
提示
确定
请完成安全验证×
copy
已复制链接
快去分享给好友吧!
我知道了
右上角分享
点击右上角分享
0
联系我们:info@booksci.cn Book学术提供免费学术资源搜索服务,方便国内外学者检索中英文文献。致力于提供最便捷和优质的服务体验。 Copyright © 2023 布克学术 All rights reserved.
京ICP备2023020795号-1
ghs 京公网安备 11010802042870号
Book学术文献互助
Book学术文献互助群
群 号:604180095
Book学术官方微信