Type 2 inflammation in COPD: is it just asthma?

IF 3.4 Q2 RESPIRATORY SYSTEM
Breathe Pub Date : 2024-11-12 eCollection Date: 2024-10-01 DOI:10.1183/20734735.0229-2023
Augusta Beech, Andrew Higham, Sophie Booth, Vickram Tejwani, Frederik Trinkmann, Dave Singh
{"title":"Type 2 inflammation in COPD: is it just asthma?","authors":"Augusta Beech, Andrew Higham, Sophie Booth, Vickram Tejwani, Frederik Trinkmann, Dave Singh","doi":"10.1183/20734735.0229-2023","DOIUrl":null,"url":null,"abstract":"<p><p>COPD is a heterogeneous condition, with tobacco smoking being the main environmental risk factor. The presence of type 2 (T2) inflammation is a well-recognised feature of asthma; however, it is now apparent that a subset of COPD patients also displays evidence of T2 inflammation with respect to elevated eosinophil counts and altered gene and protein expression of several T2 inflammatory mediators. T2 inflammatory mediators represent an attractive therapeutic target in both COPD and asthma; however, the efficacy of pharmaceutical interventions varies between diseases. Furthermore, the nature of some shared clinical features also differs. We provide a narrative review of differences in the nature of T2 inflammation between COPD and asthma, which may partly explain phenotypic differences between diseases. We focus on evidence from studies of pulmonary histopathology, sputum and epithelial gene and protein expression, and response to pharmacological interventions targeted at T2 inflammation.</p>","PeriodicalId":9292,"journal":{"name":"Breathe","volume":"20 3","pages":"230229"},"PeriodicalIF":3.4000,"publicationDate":"2024-11-12","publicationTypes":"Journal Article","fieldsOfStudy":null,"isOpenAccess":false,"openAccessPdf":"https://www.ncbi.nlm.nih.gov/pmc/articles/PMC11555586/pdf/","citationCount":"0","resultStr":null,"platform":"Semanticscholar","paperid":null,"PeriodicalName":"Breathe","FirstCategoryId":"1085","ListUrlMain":"https://doi.org/10.1183/20734735.0229-2023","RegionNum":0,"RegionCategory":null,"ArticlePicture":[],"TitleCN":null,"AbstractTextCN":null,"PMCID":null,"EPubDate":"2024/10/1 0:00:00","PubModel":"eCollection","JCR":"Q2","JCRName":"RESPIRATORY SYSTEM","Score":null,"Total":0}
引用次数: 0

Abstract

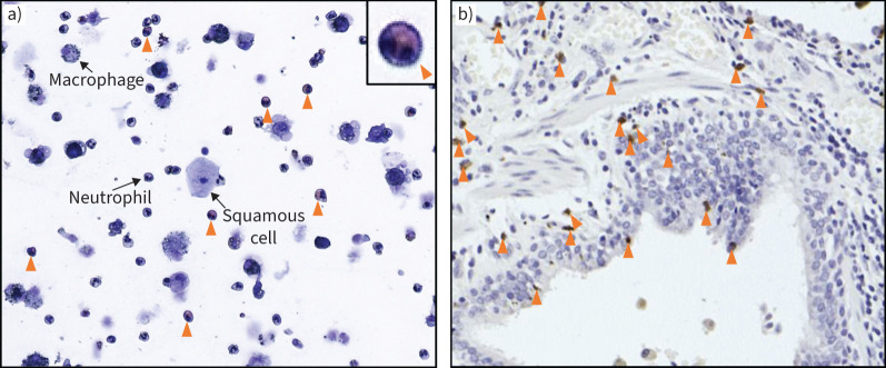
COPD is a heterogeneous condition, with tobacco smoking being the main environmental risk factor. The presence of type 2 (T2) inflammation is a well-recognised feature of asthma; however, it is now apparent that a subset of COPD patients also displays evidence of T2 inflammation with respect to elevated eosinophil counts and altered gene and protein expression of several T2 inflammatory mediators. T2 inflammatory mediators represent an attractive therapeutic target in both COPD and asthma; however, the efficacy of pharmaceutical interventions varies between diseases. Furthermore, the nature of some shared clinical features also differs. We provide a narrative review of differences in the nature of T2 inflammation between COPD and asthma, which may partly explain phenotypic differences between diseases. We focus on evidence from studies of pulmonary histopathology, sputum and epithelial gene and protein expression, and response to pharmacological interventions targeted at T2 inflammation.

Abstract Image

Abstract Image

慢性阻塞性肺病的 2 型炎症:仅仅是哮喘吗?
慢性阻塞性肺病是一种异质性疾病,吸烟是主要的环境风险因素。2型(T2)炎症的存在是哮喘的一个公认特征;然而,现在很明显,一部分慢性阻塞性肺病患者也显示出T2型炎症的证据,如嗜酸性粒细胞计数升高以及几种T2型炎症介质的基因和蛋白表达改变。T2 炎症介质是慢性阻塞性肺病和哮喘的一个有吸引力的治疗目标;然而,不同疾病的药物干预效果各不相同。此外,一些共同临床特征的性质也不尽相同。我们对慢性阻塞性肺病和哮喘之间 T2 炎症性质的差异进行了叙述性综述,这可能是疾病表型差异的部分原因。我们将重点放在肺组织病理学、痰和上皮基因与蛋白表达以及对针对 T2 炎症的药物干预反应的研究证据上。
本文章由计算机程序翻译,如有差异,请以英文原文为准。
求助全文
约1分钟内获得全文 求助全文
来源期刊
Breathe
Breathe RESPIRATORY SYSTEM-
CiteScore
2.90
自引率
5.00%
发文量
51
审稿时长
12 weeks
×
引用
GB/T 7714-2015
复制
MLA
复制
APA
复制
导出至
BibTeX EndNote RefMan NoteFirst NoteExpress
×
提示
您的信息不完整,为了账户安全,请先补充。
现在去补充
×
提示
您因"违规操作"
具体请查看互助需知
我知道了
×
提示
确定
请完成安全验证×
copy
已复制链接
快去分享给好友吧!
我知道了
右上角分享
点击右上角分享
0
联系我们:info@booksci.cn Book学术提供免费学术资源搜索服务,方便国内外学者检索中英文文献。致力于提供最便捷和优质的服务体验。 Copyright © 2023 布克学术 All rights reserved.
京ICP备2023020795号-1
ghs 京公网安备 11010802042870号
Book学术文献互助
Book学术文献互助群
群 号:604180095
Book学术官方微信