Histopathological and immunohistochemical characteristics of adult renal tumors: a five-year retrospective study in Mureş County, Romania.

IF 1.5 4区 医学 Q4 DEVELOPMENTAL BIOLOGY
Andrada Loghin, Andrada Raicea, Maria Cătălina Popelea, Ciprian Doru Todea-Moga, Olivér Árpád Vida, Angela Borda
{"title":"Histopathological and immunohistochemical characteristics of adult renal tumors: a five-year retrospective study in Mureş County, Romania.","authors":"Andrada Loghin, Andrada Raicea, Maria Cătălina Popelea, Ciprian Doru Todea-Moga, Olivér Árpád Vida, Angela Borda","doi":"10.47162/RJME.65.3.08","DOIUrl":null,"url":null,"abstract":"<p><strong>Introduction: </strong>The incidence of renal tumors increased substantially in the past decades, being responsible for 3% of deaths caused by cancer globally. They constitute a diverse group with varying morphological, immunohistochemical, and molecular characteristics. The severity and prognosis are directly correlated with tumor stage, histopathological aspect, sarcomatoid/rhabdoid features, fat or vascular invasion.</p><p><strong>Aim: </strong>The aim of the study was to assess the prevalence trend, as well as demographic and pathological characteristics of renal tumors in Mureş County Clinical Hospital, Romania, and border areas.</p><p><strong>Patients, materials and methods: </strong>In this retrospective study, all patients who underwent a total or partial nephrectomy for renal tumors were analyzed over a five-year period. The data was collected from the Pathology Department of Mureş County Clinical Hospital.</p><p><strong>Results: </strong>Among 220 patients, 138 (62.72%) were males and 82 (37.27%) females. The mean age was 62.63 years (range: 33-84 years). The majority of the tumors found were malignant: 204 (92.72%) vs 16 (7.27%) benign. The most common subtype within malignant tumors was clear cell renal cell carcinoma (CCRCC) (n=181), 13.25% cases with sarcomatoid/rhabdoid features. pT3a stage was frequently identified. Vascular invasion and necrosis were observed in a large number of cases, especially for CCRCC with sarcomatoid/rhabdoid features.</p><p><strong>Conclusions: </strong>The spectrum of adult renal tumors in our region aligns with the data reported in the literature. CCRCC was the most frequent histological subtype and pT3a the most common stage identified. Our study contributes to the understanding of renal tumors characteristics, identifying potential factors with impact in the progression and prognosis of the disease.</p>","PeriodicalId":54447,"journal":{"name":"Romanian Journal of Morphology and Embryology","volume":"65 3","pages":"457-465"},"PeriodicalIF":1.5000,"publicationDate":"2024-07-01","publicationTypes":"Journal Article","fieldsOfStudy":null,"isOpenAccess":false,"openAccessPdf":"https://www.ncbi.nlm.nih.gov/pmc/articles/PMC11657323/pdf/","citationCount":"0","resultStr":null,"platform":"Semanticscholar","paperid":null,"PeriodicalName":"Romanian Journal of Morphology and Embryology","FirstCategoryId":"3","ListUrlMain":"https://doi.org/10.47162/RJME.65.3.08","RegionNum":4,"RegionCategory":"医学","ArticlePicture":[],"TitleCN":null,"AbstractTextCN":null,"PMCID":null,"EPubDate":"","PubModel":"","JCR":"Q4","JCRName":"DEVELOPMENTAL BIOLOGY","Score":null,"Total":0}
引用次数: 0

Abstract

Introduction: The incidence of renal tumors increased substantially in the past decades, being responsible for 3% of deaths caused by cancer globally. They constitute a diverse group with varying morphological, immunohistochemical, and molecular characteristics. The severity and prognosis are directly correlated with tumor stage, histopathological aspect, sarcomatoid/rhabdoid features, fat or vascular invasion.

Aim: The aim of the study was to assess the prevalence trend, as well as demographic and pathological characteristics of renal tumors in Mureş County Clinical Hospital, Romania, and border areas.

Patients, materials and methods: In this retrospective study, all patients who underwent a total or partial nephrectomy for renal tumors were analyzed over a five-year period. The data was collected from the Pathology Department of Mureş County Clinical Hospital.

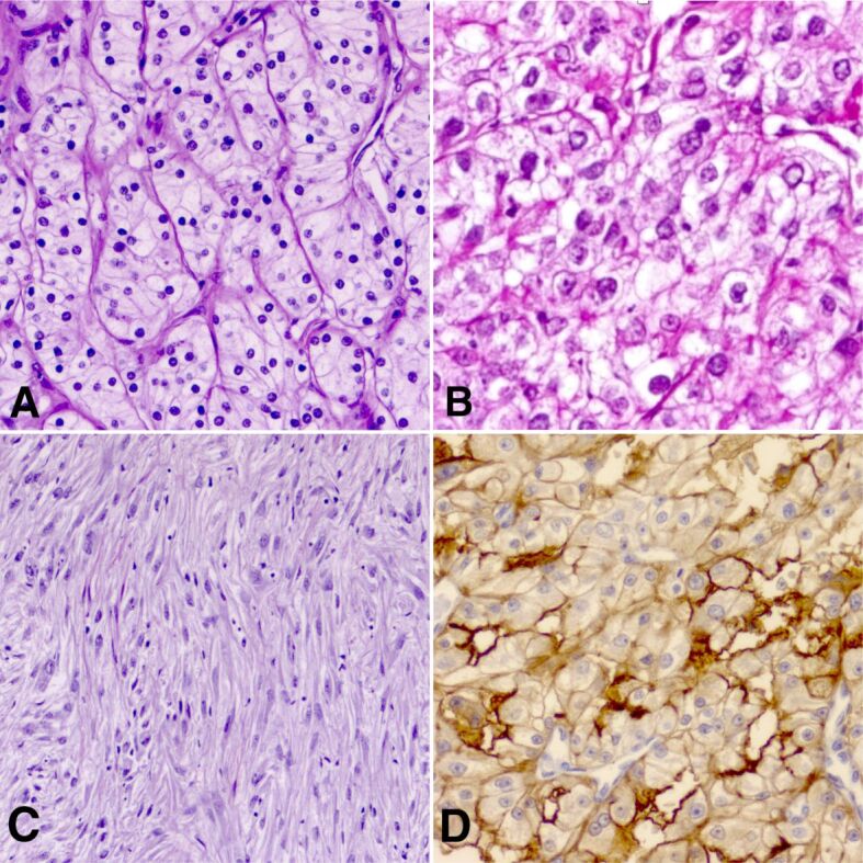
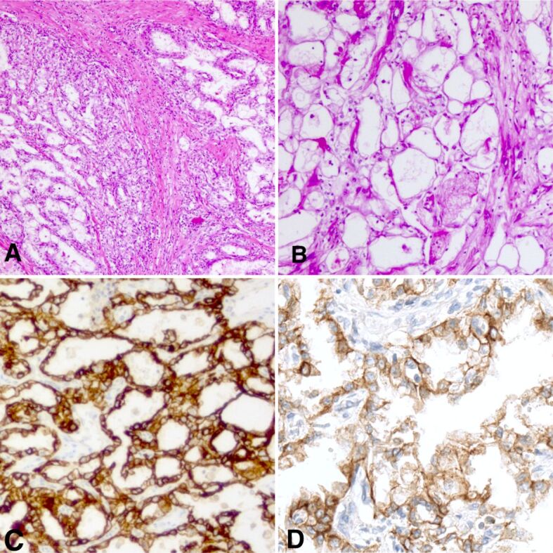
Results: Among 220 patients, 138 (62.72%) were males and 82 (37.27%) females. The mean age was 62.63 years (range: 33-84 years). The majority of the tumors found were malignant: 204 (92.72%) vs 16 (7.27%) benign. The most common subtype within malignant tumors was clear cell renal cell carcinoma (CCRCC) (n=181), 13.25% cases with sarcomatoid/rhabdoid features. pT3a stage was frequently identified. Vascular invasion and necrosis were observed in a large number of cases, especially for CCRCC with sarcomatoid/rhabdoid features.

Conclusions: The spectrum of adult renal tumors in our region aligns with the data reported in the literature. CCRCC was the most frequent histological subtype and pT3a the most common stage identified. Our study contributes to the understanding of renal tumors characteristics, identifying potential factors with impact in the progression and prognosis of the disease.

Abstract Image

Abstract Image

Abstract Image

成人肾肿瘤的组织病理学和免疫组化特征:罗马尼亚穆雷什县的五年回顾性研究。
导言:过去几十年来,肾肿瘤的发病率大幅上升,占全球癌症死亡人数的 3%。肾肿瘤种类繁多,形态、免疫组化和分子特征各不相同。其严重程度和预后与肿瘤分期、组织病理学方面、肉瘤样/瘤样特征、脂肪或血管侵犯直接相关。研究目的:本研究旨在评估罗马尼亚穆雷什县临床医院和边境地区肾肿瘤的流行趋势、人口统计学和病理学特征:在这项回顾性研究中,对五年内所有因肾脏肿瘤而接受全肾或部分肾切除术的患者进行了分析。数据来自穆雷什县临床医院病理科:220名患者中,男性138人(62.72%),女性82人(37.27%)。平均年龄为 62.63 岁(33-84 岁)。大部分肿瘤为恶性:204 例(92.72%),16 例(7.27%)为良性。恶性肿瘤中最常见的亚型是透明细胞肾细胞癌(CCRCC)(181 例),13.25%的病例具有肉瘤样/横纹肌样特征。大量病例出现血管侵犯和坏死,尤其是具有肉瘤样/横纹肌样特征的CCRCC:结论:本地区成人肾脏肿瘤的发病范围与文献报道的数据一致。CCRCC是最常见的组织学亚型,pT3a是最常见的分期。我们的研究有助于了解肾脏肿瘤的特征,找出影响疾病进展和预后的潜在因素。
本文章由计算机程序翻译,如有差异,请以英文原文为准。
求助全文
约1分钟内获得全文 求助全文
来源期刊
CiteScore
1.70
自引率
20.00%
发文量
221
审稿时长
3-8 weeks
期刊介绍: Romanian Journal of Morphology and Embryology (Rom J Morphol Embryol) publishes studies on all aspects of normal morphology and human comparative and experimental pathology. The Journal accepts only researches that utilize modern investigation methods (studies of anatomy, pathology, cytopathology, immunohistochemistry, histochemistry, immunology, morphometry, molecular and cellular biology, electronic microscopy, etc.).
×
引用
GB/T 7714-2015
复制
MLA
复制
APA
复制
导出至
BibTeX EndNote RefMan NoteFirst NoteExpress
×
提示
您的信息不完整,为了账户安全,请先补充。
现在去补充
×
提示
您因"违规操作"
具体请查看互助需知
我知道了
×
提示
确定
请完成安全验证×
copy
已复制链接
快去分享给好友吧!
我知道了
右上角分享
点击右上角分享
0
联系我们:info@booksci.cn Book学术提供免费学术资源搜索服务,方便国内外学者检索中英文文献。致力于提供最便捷和优质的服务体验。 Copyright © 2023 布克学术 All rights reserved.
京ICP备2023020795号-1
ghs 京公网安备 11010802042870号
Book学术文献互助
Book学术文献互助群
群 号:604180095
Book学术官方微信