Chronic Patellar Dislocation Treated With Extensive Lateral Release and Vastus Medialis Obliquus Advancement: A Case Report.

IF 0.6 Q4 ORTHOPEDICS
Case Reports in Orthopedics Pub Date : 2024-11-01 eCollection Date: 2024-01-01 DOI:10.1155/2024/5568998
Shayne R Kelly, Adam V Daniel, Patrick A Smith
{"title":"Chronic Patellar Dislocation Treated With Extensive Lateral Release and Vastus Medialis Obliquus Advancement: A Case Report.","authors":"Shayne R Kelly, Adam V Daniel, Patrick A Smith","doi":"10.1155/2024/5568998","DOIUrl":null,"url":null,"abstract":"<p><p>The following case report demonstrates a case of a chronic irreducible patellar dislocation, age-indeterminate associated with a large medial patellar avulsion fracture that was treated with a vastus medialis obliquus advancement following an extensive lateral release. This case is the only known report of this kind in the literature. The patient is a 41-year-old Caucasian female who presented to the clinic with an age-indeterminate, chronically dislocated patella. She has a past medical history of hypertension and ischemic stroke 1 year prior to presentation, leading to expressive aphasia and lower extremity weakness in addition to patellar instability dating back to age 13. An unsuccessful patellofemoral reduction was performed at an outside clinic, and she was placed in a knee immobilizer and referred to our office. Clinically, the patient had limited knee range of motion with a fixed lateral patellar dislocation that was confirmed on imaging. This case report demonstrates a surgical reduction technique that can be utilized by orthopedic surgeons for chronic patellar dislocations that are not amenable to routine patellar instability surgeries due to the contraction of surrounding soft tissue, chronic bone abnormalities, and position of the chronic dislocation. An extensive lateral release followed by vastus medialis obliquus advancement was performed to center the patella within the trochlear groove and to allow for stable articulation throughout range of motion. The patient was able to regain painless, full range of motion of her knee postoperatively with patellar stability noted on both physical exam and radiographic imaging.</p>","PeriodicalId":30287,"journal":{"name":"Case Reports in Orthopedics","volume":"2024 ","pages":"5568998"},"PeriodicalIF":0.6000,"publicationDate":"2024-11-01","publicationTypes":"Journal Article","fieldsOfStudy":null,"isOpenAccess":false,"openAccessPdf":"https://www.ncbi.nlm.nih.gov/pmc/articles/PMC11548945/pdf/","citationCount":"0","resultStr":null,"platform":"Semanticscholar","paperid":null,"PeriodicalName":"Case Reports in Orthopedics","FirstCategoryId":"1085","ListUrlMain":"https://doi.org/10.1155/2024/5568998","RegionNum":0,"RegionCategory":null,"ArticlePicture":[],"TitleCN":null,"AbstractTextCN":null,"PMCID":null,"EPubDate":"2024/1/1 0:00:00","PubModel":"eCollection","JCR":"Q4","JCRName":"ORTHOPEDICS","Score":null,"Total":0}
引用次数: 0

Abstract

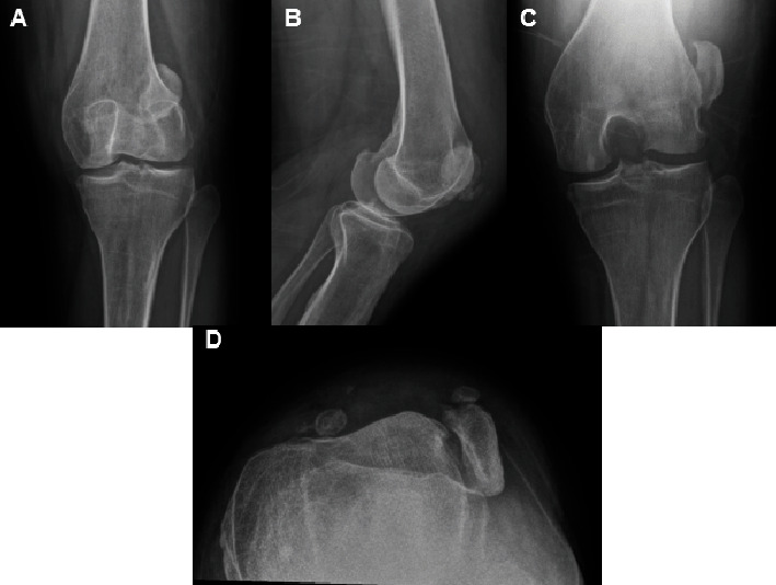
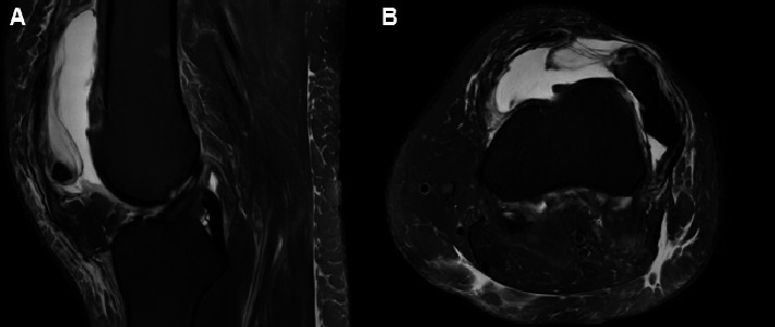
The following case report demonstrates a case of a chronic irreducible patellar dislocation, age-indeterminate associated with a large medial patellar avulsion fracture that was treated with a vastus medialis obliquus advancement following an extensive lateral release. This case is the only known report of this kind in the literature. The patient is a 41-year-old Caucasian female who presented to the clinic with an age-indeterminate, chronically dislocated patella. She has a past medical history of hypertension and ischemic stroke 1 year prior to presentation, leading to expressive aphasia and lower extremity weakness in addition to patellar instability dating back to age 13. An unsuccessful patellofemoral reduction was performed at an outside clinic, and she was placed in a knee immobilizer and referred to our office. Clinically, the patient had limited knee range of motion with a fixed lateral patellar dislocation that was confirmed on imaging. This case report demonstrates a surgical reduction technique that can be utilized by orthopedic surgeons for chronic patellar dislocations that are not amenable to routine patellar instability surgeries due to the contraction of surrounding soft tissue, chronic bone abnormalities, and position of the chronic dislocation. An extensive lateral release followed by vastus medialis obliquus advancement was performed to center the patella within the trochlear groove and to allow for stable articulation throughout range of motion. The patient was able to regain painless, full range of motion of her knee postoperatively with patellar stability noted on both physical exam and radiographic imaging.

Abstract Image

Abstract Image

Abstract Image

慢性髌骨脱位的广泛外侧松解术和中腹肌斜方肌前移术:病例报告。
以下病例报告展示了一例慢性不可复位髌骨脱位病例,该病例年龄不定,伴有髌骨内侧大面积撕脱骨折,在进行广泛的外侧松解术后,采用了内侧斜方肌推进术进行治疗。该病例是文献中唯一已知的此类报告。患者是一名 41 岁的白种女性,因髌骨长期脱位且年龄不确定而就诊。她既往有高血压病史,并在就诊前一年患过缺血性中风,导致表达性失语和下肢无力,此外,她的髌骨不稳还可追溯到13岁。她在一家外部诊所接受了髌骨股骨缩小术,但未获成功,医生为她安装了膝关节固定器,并将她转到了本诊所。临床上,患者膝关节活动范围受限,髌骨外侧脱位固定,影像学检查证实了这一点。本病例报告展示了骨科医生可用于慢性髌骨脱位的手术复位技术,由于周围软组织的收缩、慢性骨异常和慢性脱位的位置,这些因素导致慢性髌骨脱位无法进行常规的髌骨不稳手术。在进行了广泛的外侧松解术后,又进行了内侧阔肌斜方肌推进术,使髌骨在蹄状沟内居中,并在整个运动范围内实现稳定的关节连接。术后患者的膝关节恢复了无痛、全范围的活动,体格检查和影像学检查均显示髌骨稳定。
本文章由计算机程序翻译,如有差异,请以英文原文为准。
求助全文
约1分钟内获得全文 求助全文
来源期刊
自引率
0.00%
发文量
55
审稿时长
14 weeks
×
引用
GB/T 7714-2015
复制
MLA
复制
APA
复制
导出至
BibTeX EndNote RefMan NoteFirst NoteExpress
×
提示
您的信息不完整,为了账户安全,请先补充。
现在去补充
×
提示
您因"违规操作"
具体请查看互助需知
我知道了
×
提示
确定
请完成安全验证×
copy
已复制链接
快去分享给好友吧!
我知道了
右上角分享
点击右上角分享
0
联系我们:info@booksci.cn Book学术提供免费学术资源搜索服务,方便国内外学者检索中英文文献。致力于提供最便捷和优质的服务体验。 Copyright © 2023 布克学术 All rights reserved.
京ICP备2023020795号-1
ghs 京公网安备 11010802042870号
Book学术文献互助
Book学术文献互助群
群 号:604180095
Book学术官方微信