Duodenal compressions from non-superior mesentery artery structures in the same patient causing superior mesentery artery-like syndrome: a rare case report.

IF 0.5 Q4 RADIOLOGY, NUCLEAR MEDICINE & MEDICAL IMAGING
BJR Case Reports Pub Date : 2024-10-18 eCollection Date: 2024-11-01 DOI:10.1093/bjrcr/uaae037
Hajar Andour, Amine Naggar, Wafae Khatibi, Hiba Zahi, Kaoutar Imrani, Nabil Moatassim Billah, Itimade Nassar
{"title":"Duodenal compressions from non-superior mesentery artery structures in the same patient causing superior mesentery artery-like syndrome: a rare case report.","authors":"Hajar Andour, Amine Naggar, Wafae Khatibi, Hiba Zahi, Kaoutar Imrani, Nabil Moatassim Billah, Itimade Nassar","doi":"10.1093/bjrcr/uaae037","DOIUrl":null,"url":null,"abstract":"<p><p>Superior mesentery artery (SMA)-like syndrome is an increasingly used term to describe vascular compression of the third duodenal portion between structures other than the superior mesenteric artery and aorta. Although rare, this clinical condition is as serious as true SMA syndrome and requires similar management. However, the diagnostic criteria are not well established yet and require a case-by-case analysis, including a review of various clinical symptoms, especially evolving ones, as well as radiological imaging and effectiveness of conservative therapeutic manoeuvres. The presented case involves a double vascular compression in a 50-year-old woman with no medical history, one of which is between 2 venous structures. The patient had been experiencing recurrent abdominal pain, vomiting, and distension for a long time. Laboratory tests were normal, and gastroesophageal endoscopy revealed Barrett's oesophagus. CT-enterography revealed 2 duodenal vascular compressions. Dietary measures were initiated with close follow-up. To the best of our knowledge, this is the first reported case in the world literature and adds to the existing body of SMA-like syndromes.</p>","PeriodicalId":45216,"journal":{"name":"BJR Case Reports","volume":"10 6","pages":"uaae037"},"PeriodicalIF":0.5000,"publicationDate":"2024-10-18","publicationTypes":"Journal Article","fieldsOfStudy":null,"isOpenAccess":false,"openAccessPdf":"https://www.ncbi.nlm.nih.gov/pmc/articles/PMC11549342/pdf/","citationCount":"0","resultStr":null,"platform":"Semanticscholar","paperid":null,"PeriodicalName":"BJR Case Reports","FirstCategoryId":"1085","ListUrlMain":"https://doi.org/10.1093/bjrcr/uaae037","RegionNum":0,"RegionCategory":null,"ArticlePicture":[],"TitleCN":null,"AbstractTextCN":null,"PMCID":null,"EPubDate":"2024/11/1 0:00:00","PubModel":"eCollection","JCR":"Q4","JCRName":"RADIOLOGY, NUCLEAR MEDICINE & MEDICAL IMAGING","Score":null,"Total":0}
引用次数: 0

Abstract

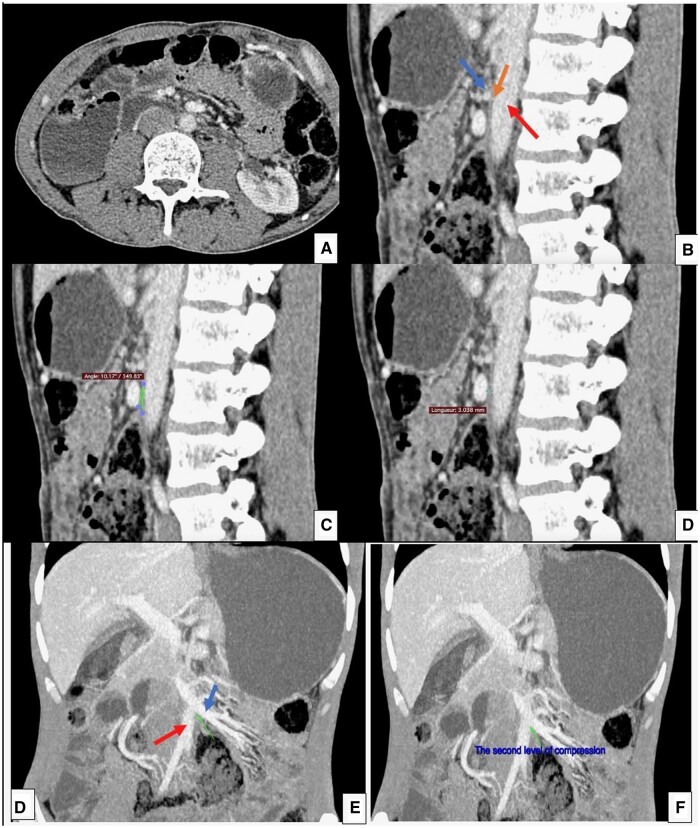
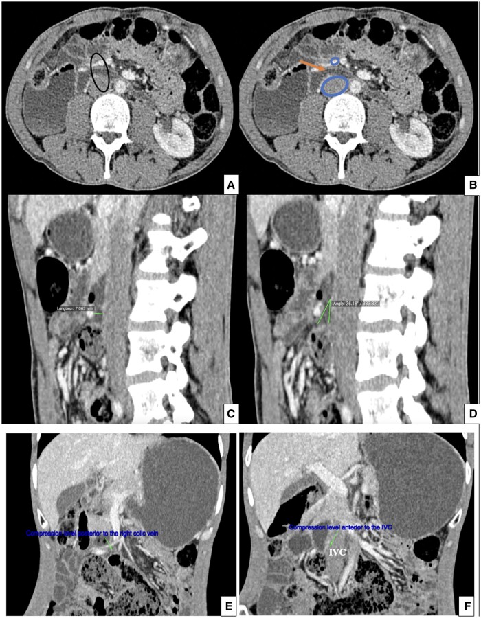
Superior mesentery artery (SMA)-like syndrome is an increasingly used term to describe vascular compression of the third duodenal portion between structures other than the superior mesenteric artery and aorta. Although rare, this clinical condition is as serious as true SMA syndrome and requires similar management. However, the diagnostic criteria are not well established yet and require a case-by-case analysis, including a review of various clinical symptoms, especially evolving ones, as well as radiological imaging and effectiveness of conservative therapeutic manoeuvres. The presented case involves a double vascular compression in a 50-year-old woman with no medical history, one of which is between 2 venous structures. The patient had been experiencing recurrent abdominal pain, vomiting, and distension for a long time. Laboratory tests were normal, and gastroesophageal endoscopy revealed Barrett's oesophagus. CT-enterography revealed 2 duodenal vascular compressions. Dietary measures were initiated with close follow-up. To the best of our knowledge, this is the first reported case in the world literature and adds to the existing body of SMA-like syndromes.

Abstract Image

Abstract Image

Abstract Image

同一患者的十二指肠受到来自非肠系膜上动脉结构的压迫,导致肠系膜上动脉样综合征:罕见病例报告。
肠系膜上动脉(SMA)样综合征是一个越来越常用的术语,用于描述肠系膜上动脉和主动脉以外的结构对十二指肠第三部分的血管压迫。虽然罕见,但这种临床症状与真正的 SMA 综合征一样严重,需要类似的治疗。然而,诊断标准尚未完全确定,需要逐个病例进行分析,包括审查各种临床症状,尤其是不断变化的症状,以及放射成像和保守治疗方法的有效性。本病例涉及一名无病史的 50 岁女性的双重血管压迫,其中一个位于两个静脉结构之间。患者长期反复腹痛、呕吐和腹胀。实验室检查结果正常,胃食管内窥镜检查发现巴雷特食管。肠道 CT 显示有两处十二指肠血管压迫。医生开始采取饮食措施,并进行了密切随访。据我们所知,这是世界文献中首次报道的病例,为现有的 SMA 类似综合征病例增添了新的内容。
本文章由计算机程序翻译,如有差异,请以英文原文为准。
求助全文
约1分钟内获得全文 求助全文
来源期刊
BJR Case Reports
BJR Case Reports RADIOLOGY, NUCLEAR MEDICINE & MEDICAL IMAGING-
自引率
0.00%
发文量
77
审稿时长
11 weeks
×
引用
GB/T 7714-2015
复制
MLA
复制
APA
复制
导出至
BibTeX EndNote RefMan NoteFirst NoteExpress
×
提示
您的信息不完整,为了账户安全,请先补充。
现在去补充
×
提示
您因"违规操作"
具体请查看互助需知
我知道了
×
提示
确定
请完成安全验证×
copy
已复制链接
快去分享给好友吧!
我知道了
右上角分享
点击右上角分享
0
联系我们:info@booksci.cn Book学术提供免费学术资源搜索服务,方便国内外学者检索中英文文献。致力于提供最便捷和优质的服务体验。 Copyright © 2023 布克学术 All rights reserved.
京ICP备2023020795号-1
ghs 京公网安备 11010802042870号
Book学术文献互助
Book学术文献互助群
群 号:604180095
Book学术官方微信