Successful Targeting of Somatic VHL Alterations With Belzutifan in Two Cases.

IF 3.2 Q3 Medicine
Bicky Thapa, Aditya Shreenivas, Kathryn Bylow, Hui-Zi Chen, Ben George, Razelle Kurzrock
{"title":"Successful Targeting of Somatic <i>VHL</i> Alterations With Belzutifan in Two Cases.","authors":"Bicky Thapa, Aditya Shreenivas, Kathryn Bylow, Hui-Zi Chen, Ben George, Razelle Kurzrock","doi":"10.36401/JIPO-24-13","DOIUrl":null,"url":null,"abstract":"<p><p>Clear cell renal cell carcinoma (RCC) is commonly associated with alterations in the <i>VHL</i> tumor suppressor gene, resulting in upregulation of hypoxia-inducible factor pathways. Immune checkpoint inhibitors and vascular endothelial growth factor inhibitors are the mainstays of systemic treatment for metastatic RCC; however, most patients encounter disease progression after the initial response. The phase 3 clinical trial LITESPARK-005-belzutifan (HIF-2α inhibitor) demonstrated improvement in progression-free survival compared with everolimus in heavily pretreated patients unselected for somatic/germline <i>VHL</i> alterations (an objective response rate of 23% and a median time on therapy of 7.6 months in the belzutifan cohort), resulting in U.S. FDA approval for patients with advanced RCC. Herein, we present two cases of refractory metastatic RCC (including one with brain metastases) with somatic <i>VHL</i> mutations who received belzutifan after discussion in the institutional Molecular Tumor Board. Both patients had an excellent clinical response (partial remissions ongoing at >12 and >20 months). Future studies should assess the merits of biomarker selection for belzutifan treatment.</p>","PeriodicalId":16081,"journal":{"name":"Journal of Immunotherapy and Precision Oncology","volume":"7 4","pages":"308-313"},"PeriodicalIF":3.2000,"publicationDate":"2024-11-01","publicationTypes":"Journal Article","fieldsOfStudy":null,"isOpenAccess":false,"openAccessPdf":"https://www.ncbi.nlm.nih.gov/pmc/articles/PMC11541926/pdf/","citationCount":"0","resultStr":null,"platform":"Semanticscholar","paperid":null,"PeriodicalName":"Journal of Immunotherapy and Precision Oncology","FirstCategoryId":"1085","ListUrlMain":"https://doi.org/10.36401/JIPO-24-13","RegionNum":0,"RegionCategory":null,"ArticlePicture":[],"TitleCN":null,"AbstractTextCN":null,"PMCID":null,"EPubDate":"","PubModel":"","JCR":"Q3","JCRName":"Medicine","Score":null,"Total":0}
引用次数: 0

Abstract

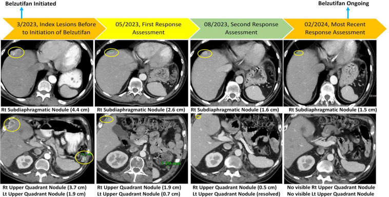
Clear cell renal cell carcinoma (RCC) is commonly associated with alterations in the VHL tumor suppressor gene, resulting in upregulation of hypoxia-inducible factor pathways. Immune checkpoint inhibitors and vascular endothelial growth factor inhibitors are the mainstays of systemic treatment for metastatic RCC; however, most patients encounter disease progression after the initial response. The phase 3 clinical trial LITESPARK-005-belzutifan (HIF-2α inhibitor) demonstrated improvement in progression-free survival compared with everolimus in heavily pretreated patients unselected for somatic/germline VHL alterations (an objective response rate of 23% and a median time on therapy of 7.6 months in the belzutifan cohort), resulting in U.S. FDA approval for patients with advanced RCC. Herein, we present two cases of refractory metastatic RCC (including one with brain metastases) with somatic VHL mutations who received belzutifan after discussion in the institutional Molecular Tumor Board. Both patients had an excellent clinical response (partial remissions ongoing at >12 and >20 months). Future studies should assess the merits of biomarker selection for belzutifan treatment.

Abstract Image

Abstract Image

Abstract Image

贝珠替凡在两个病例中成功靶向体细胞VHL畸变
透明细胞肾细胞癌(RCC)通常与 VHL 抑癌基因的改变有关,这种改变导致缺氧诱导因子通路上调。免疫检查点抑制剂和血管内皮生长因子抑制剂是转移性RCC全身治疗的主要药物;然而,大多数患者在获得初步应答后疾病会出现进展。三期临床试验LITESPARK-005-belzutifan(HIF-2α抑制剂)显示,与依维莫司相比,未经体细胞/种系VHL改变筛选的重度预处理患者的无进展生存期有所改善(客观反应率为23%,belzutifan队列的中位治疗时间为7.6个月),因此美国FDA批准其用于晚期RCC患者的治疗。在此,我们介绍了两例体细胞VHL突变的难治性转移性RCC(其中一例伴有脑转移)患者,他们在机构分子肿瘤委员会讨论后接受了belzutifan治疗。两名患者的临床反应都非常好(部分缓解持续时间大于 12 个月和大于 20 个月)。未来的研究应评估选择生物标志物进行belzutifan治疗的优点。
本文章由计算机程序翻译,如有差异,请以英文原文为准。
求助全文
约1分钟内获得全文 求助全文
来源期刊
CiteScore
2.40
自引率
0.00%
发文量
17
×
引用
GB/T 7714-2015
复制
MLA
复制
APA
复制
导出至
BibTeX EndNote RefMan NoteFirst NoteExpress
×
提示
您的信息不完整,为了账户安全,请先补充。
现在去补充
×
提示
您因"违规操作"
具体请查看互助需知
我知道了
×
提示
确定
请完成安全验证×
copy
已复制链接
快去分享给好友吧!
我知道了
右上角分享
点击右上角分享
0
联系我们:info@booksci.cn Book学术提供免费学术资源搜索服务,方便国内外学者检索中英文文献。致力于提供最便捷和优质的服务体验。 Copyright © 2023 布克学术 All rights reserved.
京ICP备2023020795号-1
ghs 京公网安备 11010802042870号
Book学术文献互助
Book学术文献互助群
群 号:604180095
Book学术官方微信