A Case of Severe Cholestatic Hepatitis Induced by a Novel Dual Agonist of Glucagon-like Peptide-1 and Glucose-dependent Insulinotropic Polypeptide Receptors.

IF 4.2 3区 医学 Q2 GASTROENTEROLOGY & HEPATOLOGY
Junmin Jiang, Meifeng Shi, Shuduo Wu, Minling Cao
{"title":"A Case of Severe Cholestatic Hepatitis Induced by a Novel Dual Agonist of Glucagon-like Peptide-1 and Glucose-dependent Insulinotropic Polypeptide Receptors.","authors":"Junmin Jiang, Meifeng Shi, Shuduo Wu, Minling Cao","doi":"10.14218/JCTH.2024.00287","DOIUrl":null,"url":null,"abstract":"<p><p>Glucagon-like peptide-1 (GLP-1) and glucose-dependent insulinotropic polypeptide (GIP) receptor agonists are increasingly used in the management of type 2 diabetes mellitus and obesity due to their ability to stimulate insulin secretion, delay gastric emptying, and suppress appetite. The combination of GLP-1 and GIP agonists improves glycemic control and promotes weight loss. However, the introduction of these novel therapies has raised safety concerns, including the risk of cholestatic hepatitis. We report a case of a patient with obesity who was prescribed a GLP-1/GIP dual-receptor agonist as part of his treatment regimen. Importantly, both before the initiation of this therapy and during the course of treatment, the patient was not taking any other medications. Shortly after receiving four doses of the therapy, the patient developed symptoms of severe cholestatic hepatitis, including jaundice and elevated liver enzyme levels. During hospitalization, no alternative causes for the condition were identified, and a liver biopsy confirmed the diagnosis of drug-induced cholestatic hepatitis. This is the first recorded case of cholestatic hepatitis induced by a GLP-1/GIP dual agonist, and it aimed to raise global awareness of this potential side effect.</p>","PeriodicalId":15484,"journal":{"name":"Journal of Clinical and Translational Hepatology","volume":"12 11","pages":"949-954"},"PeriodicalIF":4.2000,"publicationDate":"2024-11-28","publicationTypes":"Journal Article","fieldsOfStudy":null,"isOpenAccess":false,"openAccessPdf":"https://www.ncbi.nlm.nih.gov/pmc/articles/PMC11557366/pdf/","citationCount":"0","resultStr":null,"platform":"Semanticscholar","paperid":null,"PeriodicalName":"Journal of Clinical and Translational Hepatology","FirstCategoryId":"3","ListUrlMain":"https://doi.org/10.14218/JCTH.2024.00287","RegionNum":3,"RegionCategory":"医学","ArticlePicture":[],"TitleCN":null,"AbstractTextCN":null,"PMCID":null,"EPubDate":"2024/10/30 0:00:00","PubModel":"Epub","JCR":"Q2","JCRName":"GASTROENTEROLOGY & HEPATOLOGY","Score":null,"Total":0}
引用次数: 0

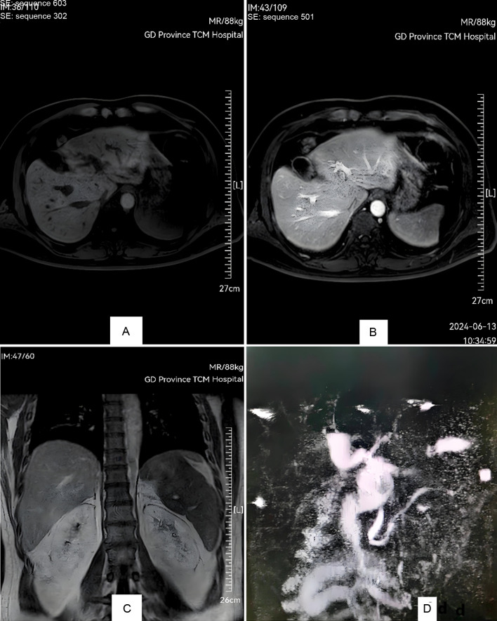
Abstract

Glucagon-like peptide-1 (GLP-1) and glucose-dependent insulinotropic polypeptide (GIP) receptor agonists are increasingly used in the management of type 2 diabetes mellitus and obesity due to their ability to stimulate insulin secretion, delay gastric emptying, and suppress appetite. The combination of GLP-1 and GIP agonists improves glycemic control and promotes weight loss. However, the introduction of these novel therapies has raised safety concerns, including the risk of cholestatic hepatitis. We report a case of a patient with obesity who was prescribed a GLP-1/GIP dual-receptor agonist as part of his treatment regimen. Importantly, both before the initiation of this therapy and during the course of treatment, the patient was not taking any other medications. Shortly after receiving four doses of the therapy, the patient developed symptoms of severe cholestatic hepatitis, including jaundice and elevated liver enzyme levels. During hospitalization, no alternative causes for the condition were identified, and a liver biopsy confirmed the diagnosis of drug-induced cholestatic hepatitis. This is the first recorded case of cholestatic hepatitis induced by a GLP-1/GIP dual agonist, and it aimed to raise global awareness of this potential side effect.

Abstract Image

Abstract Image

Abstract Image

一种新型胰高血糖素样肽-1 和葡萄糖依赖性促胰岛素分泌多肽受体双重激动剂诱发的重症胆汁淤积性肝炎病例。
胰高血糖素样肽-1(GLP-1)和葡萄糖依赖性促胰岛素多肽(GIP)受体激动剂由于能够刺激胰岛素分泌、延缓胃排空和抑制食欲,越来越多地被用于治疗 2 型糖尿病和肥胖症。GLP-1 和 GIP 激动剂联用可改善血糖控制并促进减肥。然而,这些新型疗法的推出引发了人们对安全性的担忧,包括胆汁淤积性肝炎的风险。我们报告了一例肥胖症患者的病例,该患者被处方 GLP-1/GIP 双受体激动剂作为治疗方案的一部分。重要的是,在开始治疗前和治疗过程中,患者都没有服用任何其他药物。在接受了四次剂量的治疗后不久,患者出现了严重的胆汁淤积性肝炎症状,包括黄疸和肝酶水平升高。住院期间,没有发现其他病因,肝活检证实了药物性胆汁淤积性肝炎的诊断。这是记录在案的首例由 GLP-1/GIP 双激动剂诱发的胆汁淤积性肝炎病例,旨在提高全球对这一潜在副作用的认识。
本文章由计算机程序翻译,如有差异,请以英文原文为准。
求助全文
约1分钟内获得全文 求助全文
来源期刊
Journal of Clinical and Translational Hepatology
Journal of Clinical and Translational Hepatology GASTROENTEROLOGY & HEPATOLOGY-
CiteScore
6.40
自引率
2.80%
发文量
496
×
引用
GB/T 7714-2015
复制
MLA
复制
APA
复制
导出至
BibTeX EndNote RefMan NoteFirst NoteExpress
×
提示
您的信息不完整,为了账户安全,请先补充。
现在去补充
×
提示
您因"违规操作"
具体请查看互助需知
我知道了
×
提示
确定
请完成安全验证×
copy
已复制链接
快去分享给好友吧!
我知道了
右上角分享
点击右上角分享
0
联系我们:info@booksci.cn Book学术提供免费学术资源搜索服务,方便国内外学者检索中英文文献。致力于提供最便捷和优质的服务体验。 Copyright © 2023 布克学术 All rights reserved.
京ICP备2023020795号-1
ghs 京公网安备 11010802042870号
Book学术文献互助
Book学术文献互助群
群 号:604180095
Book学术官方微信