Ectopic Cervical Thymic Tissue Mimicking Parathyroid Hyperplasia: A Rare Occurrence Linked to Graves Disease.

JCEM case reports Pub Date : 2024-11-04 eCollection Date: 2024-11-01 DOI:10.1210/jcemcr/luae197
Waralee Chatchomchuan, Yotsapon Thewjitcharoen, Soontaree Nakasatien, Ronnarat Suvikapakornkul, Somboon Keerawat, Thep Himathongkam
{"title":"Ectopic Cervical Thymic Tissue Mimicking Parathyroid Hyperplasia: A Rare Occurrence Linked to Graves Disease.","authors":"Waralee Chatchomchuan, Yotsapon Thewjitcharoen, Soontaree Nakasatien, Ronnarat Suvikapakornkul, Somboon Keerawat, Thep Himathongkam","doi":"10.1210/jcemcr/luae197","DOIUrl":null,"url":null,"abstract":"<p><p>Thymic hyperplasia has occasionally been reported in patients with Graves disease (GD). However, ectopic cervical thymic hyperplasia in the setting of hyperthyroid GD is exceptionally rare. We describe a case of a 54-year-old Thai woman who presented with hyperthyroidism, diplopia, and pretibial myxedema. She underwent a total thyroidectomy because of diplopia caused by Graves ophthalmopathy. During the surgery, 3 macroscopically abnormal enlargements of parathyroid gland-like tissue were identified and removed. Histopathology revealed hyperplastic thymic tissue mixed with 1 normal-sized parathyroid gland at the location of the left upper parathyroid gland, and thymic tissue was found in the sample labeled as the right upper parathyroid gland. Notably, the sample labeled as the right lower parathyroid gland was actually determined to be a lymph node. Preoperative blood samples showed normal serum calcium and parathyroid hormone levels. Postoperatively, computed tomography of the chest showed thymic hyperplasia in the anterior mediastinum, which slightly regressed at the 9-month follow-up. The patient had transient hypoparathyroidism requiring oral calcium and active vitamin D supplements for 6 months postoperatively. Ectopic cervical thymic hyperplasia can be found in GD and might be indistinguishable from parathyroid hyperplasia. Biochemical evaluations are required to exclude concomitant hyperparathyroidism, and a conservative approach should be considered.</p>","PeriodicalId":73540,"journal":{"name":"JCEM case reports","volume":"2 11","pages":"luae197"},"PeriodicalIF":0.0000,"publicationDate":"2024-11-04","publicationTypes":"Journal Article","fieldsOfStudy":null,"isOpenAccess":false,"openAccessPdf":"https://www.ncbi.nlm.nih.gov/pmc/articles/PMC11532649/pdf/","citationCount":"0","resultStr":null,"platform":"Semanticscholar","paperid":null,"PeriodicalName":"JCEM case reports","FirstCategoryId":"1085","ListUrlMain":"https://doi.org/10.1210/jcemcr/luae197","RegionNum":0,"RegionCategory":null,"ArticlePicture":[],"TitleCN":null,"AbstractTextCN":null,"PMCID":null,"EPubDate":"2024/11/1 0:00:00","PubModel":"eCollection","JCR":"","JCRName":"","Score":null,"Total":0}
引用次数: 0

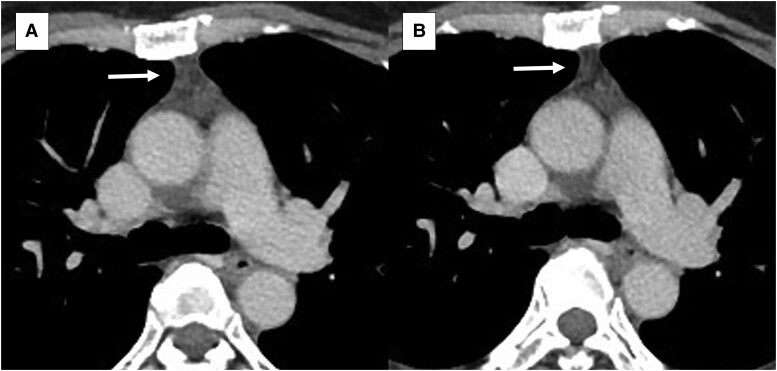
Abstract

Thymic hyperplasia has occasionally been reported in patients with Graves disease (GD). However, ectopic cervical thymic hyperplasia in the setting of hyperthyroid GD is exceptionally rare. We describe a case of a 54-year-old Thai woman who presented with hyperthyroidism, diplopia, and pretibial myxedema. She underwent a total thyroidectomy because of diplopia caused by Graves ophthalmopathy. During the surgery, 3 macroscopically abnormal enlargements of parathyroid gland-like tissue were identified and removed. Histopathology revealed hyperplastic thymic tissue mixed with 1 normal-sized parathyroid gland at the location of the left upper parathyroid gland, and thymic tissue was found in the sample labeled as the right upper parathyroid gland. Notably, the sample labeled as the right lower parathyroid gland was actually determined to be a lymph node. Preoperative blood samples showed normal serum calcium and parathyroid hormone levels. Postoperatively, computed tomography of the chest showed thymic hyperplasia in the anterior mediastinum, which slightly regressed at the 9-month follow-up. The patient had transient hypoparathyroidism requiring oral calcium and active vitamin D supplements for 6 months postoperatively. Ectopic cervical thymic hyperplasia can be found in GD and might be indistinguishable from parathyroid hyperplasia. Biochemical evaluations are required to exclude concomitant hyperparathyroidism, and a conservative approach should be considered.

Abstract Image

Abstract Image

Abstract Image

模仿甲状旁腺增生的异位宫颈胸腺组织:与巴塞杜氏病有关的罕见病例
巴塞杜氏病(GD)患者偶尔会出现胸腺增生。然而,甲状腺功能亢进症(GD)患者的异位宫颈胸腺增生异常罕见。我们描述了一例 54 岁的泰国妇女,她出现甲状腺功能亢进、复视和胫前肌水肿。由于巴塞杜氏眼病导致复视,她接受了甲状腺全切除术。手术中发现并切除了3个宏观上异常增大的甲状旁腺样组织。组织病理学检查显示,在左侧甲状旁腺上部的位置,增生的胸腺组织与1个正常大小的甲状旁腺混合在一起,而在标注为右侧甲状旁腺上部的样本中也发现了胸腺组织。值得注意的是,标注为右下甲状旁腺的样本实际上被确定为淋巴结。术前血液样本显示血清钙和甲状旁腺激素水平正常。术后,胸部计算机断层扫描显示前纵隔胸腺增生,9个月随访时略有消退。患者术后出现一过性甲状旁腺功能减退,需要口服钙剂和活性维生素 D 6 个月。异位颈胸腺增生可在广东发现,可能与甲状旁腺增生症无异。需要进行生化评估以排除并发甲状旁腺功能亢进,并应考虑采取保守疗法。
本文章由计算机程序翻译,如有差异,请以英文原文为准。
求助全文
约1分钟内获得全文 求助全文
来源期刊
自引率
0.00%
发文量
0
×
引用
GB/T 7714-2015
复制
MLA
复制
APA
复制
导出至
BibTeX EndNote RefMan NoteFirst NoteExpress
×
提示
您的信息不完整,为了账户安全,请先补充。
现在去补充
×
提示
您因"违规操作"
具体请查看互助需知
我知道了
×
提示
确定
请完成安全验证×
copy
已复制链接
快去分享给好友吧!
我知道了
右上角分享
点击右上角分享
0
联系我们:info@booksci.cn Book学术提供免费学术资源搜索服务,方便国内外学者检索中英文文献。致力于提供最便捷和优质的服务体验。 Copyright © 2023 布克学术 All rights reserved.
京ICP备2023020795号-1
ghs 京公网安备 11010802042870号
Book学术文献互助
Book学术文献互助群
群 号:604180095
Book学术官方微信