Transforaminal Endoscopic Lumbar Discectomy versus Coblation Nucleoplasty Combined with Collagenase Chemonucleolysis for Lumbar Disc Herniation with Grade I Degenerative Spondylolisthesis.

IF 3.3 2区 医学 Q1 CLINICAL NEUROLOGY
Pain and Therapy Pub Date : 2025-02-01 Epub Date: 2024-11-04 DOI:10.1007/s40122-024-00676-5
Yuyu Guo, Liuhu Han, Tingting Li, Bingbing Xu, Penghui Ke, Jun Hu, Rongyi Zhang, Yan Guo, Long Zhao, Likui Wang
{"title":"Transforaminal Endoscopic Lumbar Discectomy versus Coblation Nucleoplasty Combined with Collagenase Chemonucleolysis for Lumbar Disc Herniation with Grade I Degenerative Spondylolisthesis.","authors":"Yuyu Guo, Liuhu Han, Tingting Li, Bingbing Xu, Penghui Ke, Jun Hu, Rongyi Zhang, Yan Guo, Long Zhao, Likui Wang","doi":"10.1007/s40122-024-00676-5","DOIUrl":null,"url":null,"abstract":"<p><strong>Introduction: </strong>To investigate the short-term clinical effect of transforaminal endoscopic lumbar discectomy (TELD) versus coblation nucleoplasty (CN) combined with collagenase chemonucleolysis (CCNL) in the treatment of lumbar disc herniation (LDH) with grade I degenerative spondylolisthesis.</p><p><strong>Methods: </strong>From January 2019 to December 2020, 60 patients who had LDH with grade I degenerative spondylolisthesis were divided into two groups. Group A adopted TELD while Group B adopted CN combined with CCNL. The surgical efficacy was evaluated according to the visual analogue scale (VAS), oswestry disability index (ODI), quality of recovery-15 (QoR-15), and modified MacNab criteria. Imaging findings including lumbar lordosis (LL), segmental lordosis angle (SL), slip percentage (SP), and disc height (DH) were compared between the two groups pre-operation and at the last follow-up.</p><p><strong>Results: </strong>VAS (back and leg), ODI, and QoR-15 were significantly decreased at each time point after operation in all groups. There were significant differences in VAS (back and leg), ODI, and QoR-15 between the two groups at 3 days post-operation (P < 0.05), VAS (leg), ODI, and QoR-15 at 3 months post-operative (P < 0.05), and QoR-15 at 6 months post-operative (P < 0.05). There was no significant difference in LL, SL, SP, and DH between the two groups at the last follow-up (P > 0.05).</p><p><strong>Conclusion: </strong>Both the two operations can relieve the symptoms of lower back and leg pain in patients, and neither of the two operations caused further progress of lumbar spondylolisthesis. Compared with CN combined with CCNL, TELD had more significant improvement in early lower back and leg pain and shorter post-operative duration of hospitalization.</p><p><strong>Trial registration: </strong>The trial was registered on ClinicalTrials.gov (ChiCTR2300076809).</p>","PeriodicalId":19908,"journal":{"name":"Pain and Therapy","volume":" ","pages":"185-199"},"PeriodicalIF":3.3000,"publicationDate":"2025-02-01","publicationTypes":"Journal Article","fieldsOfStudy":null,"isOpenAccess":false,"openAccessPdf":"https://www.ncbi.nlm.nih.gov/pmc/articles/PMC11751196/pdf/","citationCount":"0","resultStr":null,"platform":"Semanticscholar","paperid":null,"PeriodicalName":"Pain and Therapy","FirstCategoryId":"3","ListUrlMain":"https://doi.org/10.1007/s40122-024-00676-5","RegionNum":2,"RegionCategory":"医学","ArticlePicture":[],"TitleCN":null,"AbstractTextCN":null,"PMCID":null,"EPubDate":"2024/11/4 0:00:00","PubModel":"Epub","JCR":"Q1","JCRName":"CLINICAL NEUROLOGY","Score":null,"Total":0}
引用次数: 0

Abstract

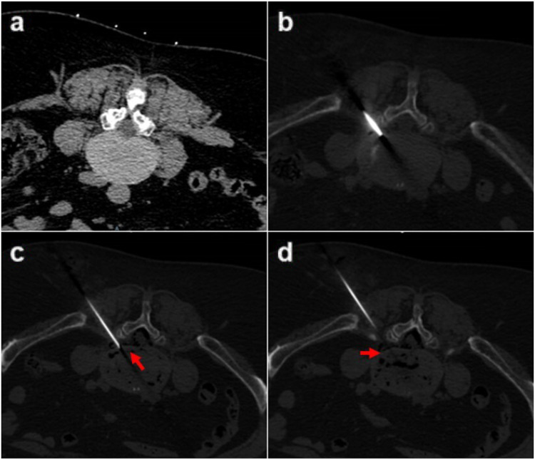
Introduction: To investigate the short-term clinical effect of transforaminal endoscopic lumbar discectomy (TELD) versus coblation nucleoplasty (CN) combined with collagenase chemonucleolysis (CCNL) in the treatment of lumbar disc herniation (LDH) with grade I degenerative spondylolisthesis.

Methods: From January 2019 to December 2020, 60 patients who had LDH with grade I degenerative spondylolisthesis were divided into two groups. Group A adopted TELD while Group B adopted CN combined with CCNL. The surgical efficacy was evaluated according to the visual analogue scale (VAS), oswestry disability index (ODI), quality of recovery-15 (QoR-15), and modified MacNab criteria. Imaging findings including lumbar lordosis (LL), segmental lordosis angle (SL), slip percentage (SP), and disc height (DH) were compared between the two groups pre-operation and at the last follow-up.

Results: VAS (back and leg), ODI, and QoR-15 were significantly decreased at each time point after operation in all groups. There were significant differences in VAS (back and leg), ODI, and QoR-15 between the two groups at 3 days post-operation (P < 0.05), VAS (leg), ODI, and QoR-15 at 3 months post-operative (P < 0.05), and QoR-15 at 6 months post-operative (P < 0.05). There was no significant difference in LL, SL, SP, and DH between the two groups at the last follow-up (P > 0.05).

Conclusion: Both the two operations can relieve the symptoms of lower back and leg pain in patients, and neither of the two operations caused further progress of lumbar spondylolisthesis. Compared with CN combined with CCNL, TELD had more significant improvement in early lower back and leg pain and shorter post-operative duration of hospitalization.

Trial registration: The trial was registered on ClinicalTrials.gov (ChiCTR2300076809).

Abstract Image

Abstract Image

Abstract Image

经椎间孔内窥镜腰椎间盘切除术与胶原酶髓核溶解术联合治疗腰椎间盘突出症伴 I 级退行性脊椎滑脱症的比较。
简介目的:探讨经椎间孔内镜腰椎间盘切除术(TELD)与钴凝髓核成形术(CN)联合胶原酶螯合溶核术(CCNL)治疗腰椎间盘突出症(LDH)伴I级退行性脊椎滑脱症的短期临床效果:方法:2019年1月至2020年12月,将60名LDH伴I级退行性脊椎滑脱症患者分为两组。A组采用TELD,B组采用CN联合CCNL。手术疗效根据视觉模拟量表(VAS)、oswestry残疾指数(ODI)、康复质量-15(QoR-15)和改良MacNab标准进行评估。对两组患者术前和最后一次随访时的腰椎前凸(LL)、节段前凸角度(SL)、滑脱百分比(SP)和椎间盘高度(DH)等影像学结果进行比较:各组患者术后各时间点的 VAS(背部和腿部)、ODI 和 QoR-15 均明显下降。两组患者术后 3 天的 VAS(腰部和腿部)、ODI 和 QoR-15 均有明显差异(P 0.05):结论:两种手术均能缓解患者的腰腿痛症状,且均未导致腰椎滑脱症进一步恶化。与 CN 联合 CCNL 相比,TELD 对早期腰腿痛的改善更明显,术后住院时间更短:该试验已在ClinicalTrials.gov(ChiCTR2300076809)上注册。
本文章由计算机程序翻译,如有差异,请以英文原文为准。
求助全文
约1分钟内获得全文 求助全文
来源期刊
Pain and Therapy
Pain and Therapy CLINICAL NEUROLOGY-
CiteScore
6.60
自引率
5.00%
发文量
110
审稿时长
6 weeks
期刊介绍: Pain and Therapy is an international, open access, peer-reviewed, rapid publication journal dedicated to the publication of high-quality clinical (all phases), observational, real-world, and health outcomes research around the discovery, development, and use of pain therapies and pain-related devices. Studies relating to diagnosis, pharmacoeconomics, public health, quality of life, and patient care, management, and education are also encouraged. Areas of focus include, but are not limited to, acute pain, cancer pain, chronic pain, headache and migraine, neuropathic pain, opioids, palliative care and pain ethics, peri- and post-operative pain as well as rheumatic pain and fibromyalgia. The journal is of interest to a broad audience of pharmaceutical and healthcare professionals and publishes original research, reviews, case reports, trial protocols, short communications such as commentaries and editorials, and letters. The journal is read by a global audience and receives submissions from around the world. Pain and Therapy will consider all scientifically sound research be it positive, confirmatory or negative data. Submissions are welcomed whether they relate to an international and/or a country-specific audience, something that is crucially important when researchers are trying to target more specific patient populations. This inclusive approach allows the journal to assist in the dissemination of all scientifically and ethically sound research.
×
引用
GB/T 7714-2015
复制
MLA
复制
APA
复制
导出至
BibTeX EndNote RefMan NoteFirst NoteExpress
×
提示
您的信息不完整,为了账户安全,请先补充。
现在去补充
×
提示
您因"违规操作"
具体请查看互助需知
我知道了
×
提示
确定
请完成安全验证×
copy
已复制链接
快去分享给好友吧!
我知道了
右上角分享
点击右上角分享
0
联系我们:info@booksci.cn Book学术提供免费学术资源搜索服务,方便国内外学者检索中英文文献。致力于提供最便捷和优质的服务体验。 Copyright © 2023 布克学术 All rights reserved.
京ICP备2023020795号-1
ghs 京公网安备 11010802042870号
Book学术文献互助
Book学术文献互助群
群 号:604180095
Book学术官方微信