Solitary subependymal giant cell astrocytoma lacking TSC1/2 mutations and TTF-1 expression: A potential diagnostic pitfall.

IF 1.2 4区 医学 Q4 CLINICAL NEUROLOGY
Neuropathology Pub Date : 2025-04-01 Epub Date: 2024-11-04 DOI:10.1111/neup.13013
Davide Mulone, Andrea Mafficini, Evelina Miele, Francesco Sala, Valeria Barresi
{"title":"Solitary subependymal giant cell astrocytoma lacking TSC1/2 mutations and TTF-1 expression: A potential diagnostic pitfall.","authors":"Davide Mulone, Andrea Mafficini, Evelina Miele, Francesco Sala, Valeria Barresi","doi":"10.1111/neup.13013","DOIUrl":null,"url":null,"abstract":"<p><p>Subependymal giant cell astrocytoma (SEGA) is a rare, low-grade glioma typically associated with tuberous sclerosis (TS) and mutations in the TSC1 or TSC2 genes. It is characterized by an intraventricular location, an expansive growth pattern, and the expression of glial and neural markers. TTF-1 expression is considered a sensitive marker of SEGA, likely reflecting its origin from progenitor cells in the caudothalamic groove. We report a case of SEGA with unusual immunohistochemical and molecular features in a 20-year-old man with no signs or family history of TS. The tumor was located in the anterior horn of the right ventricle and obstructed the foramen of Monro. Histologically, it exhibited an expansive growth pattern and was composed of cells with ovoid nuclei and abundant eosinophilic cytoplasm. Immunohistochemically, the tumor cells were positive for GFAP and S-100 protein, weakly positive for SOX2, focally positive for synaptophysin, and negative for TTF-1, neurofilament protein, NeuN, EMA, chromogranin, and BCOR. Scattered OLIG2-positive neoplastic cells were also observed. Molecular analysis revealed no pathogenic mutations or copy number variations in the analyzed 174 genes, including TSC1/2, except for a variant of unknown significance in BAP1. The histopathological features and immunohistochemical profile suggested SEGA, despite the absence of TTF-1 expression and TSC1/2 mutations. The diagnosis was confirmed by DNA methylation profiling, which assigned the tumor to the methylation class \"subependymal giant cell astrocytoma with TSC1/TSC2 alterations\" with a calibrated score of 0.95. This case highlights the potential diagnostic pitfall of SEGA lacking TTF-1 expression and emphasizes the importance of considering this entity in the differential diagnosis of intraventricular tumors, even in the absence of TS and characteristic molecular alterations. The existence of TTF-1 negative SEGAs reveals that these tumors might also derive from TTF-1 negative cells in the subpendymal region.</p>","PeriodicalId":19204,"journal":{"name":"Neuropathology","volume":" ","pages":"167-173"},"PeriodicalIF":1.2000,"publicationDate":"2025-04-01","publicationTypes":"Journal Article","fieldsOfStudy":null,"isOpenAccess":false,"openAccessPdf":"https://www.ncbi.nlm.nih.gov/pmc/articles/PMC11962586/pdf/","citationCount":"0","resultStr":null,"platform":"Semanticscholar","paperid":null,"PeriodicalName":"Neuropathology","FirstCategoryId":"3","ListUrlMain":"https://doi.org/10.1111/neup.13013","RegionNum":4,"RegionCategory":"医学","ArticlePicture":[],"TitleCN":null,"AbstractTextCN":null,"PMCID":null,"EPubDate":"2024/11/4 0:00:00","PubModel":"Epub","JCR":"Q4","JCRName":"CLINICAL NEUROLOGY","Score":null,"Total":0}
引用次数: 0

Abstract

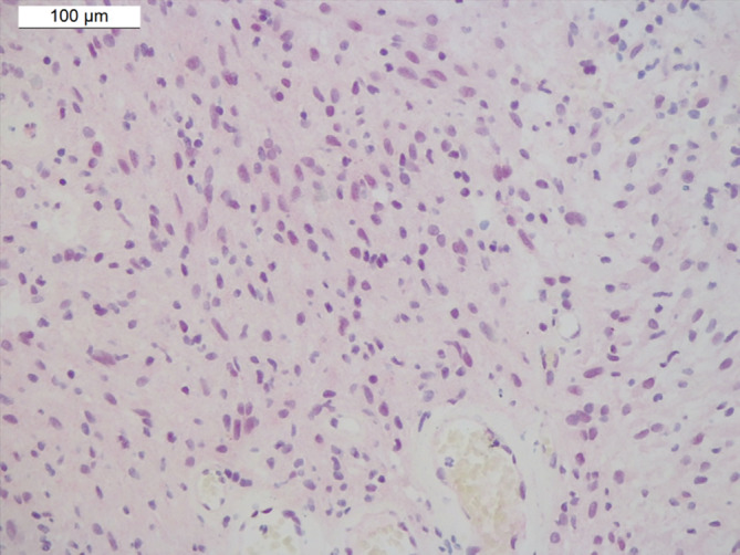
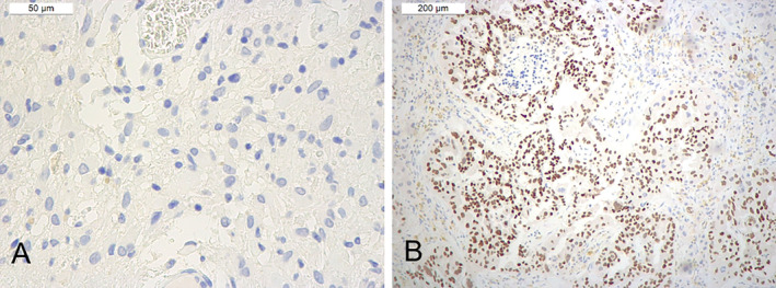
Subependymal giant cell astrocytoma (SEGA) is a rare, low-grade glioma typically associated with tuberous sclerosis (TS) and mutations in the TSC1 or TSC2 genes. It is characterized by an intraventricular location, an expansive growth pattern, and the expression of glial and neural markers. TTF-1 expression is considered a sensitive marker of SEGA, likely reflecting its origin from progenitor cells in the caudothalamic groove. We report a case of SEGA with unusual immunohistochemical and molecular features in a 20-year-old man with no signs or family history of TS. The tumor was located in the anterior horn of the right ventricle and obstructed the foramen of Monro. Histologically, it exhibited an expansive growth pattern and was composed of cells with ovoid nuclei and abundant eosinophilic cytoplasm. Immunohistochemically, the tumor cells were positive for GFAP and S-100 protein, weakly positive for SOX2, focally positive for synaptophysin, and negative for TTF-1, neurofilament protein, NeuN, EMA, chromogranin, and BCOR. Scattered OLIG2-positive neoplastic cells were also observed. Molecular analysis revealed no pathogenic mutations or copy number variations in the analyzed 174 genes, including TSC1/2, except for a variant of unknown significance in BAP1. The histopathological features and immunohistochemical profile suggested SEGA, despite the absence of TTF-1 expression and TSC1/2 mutations. The diagnosis was confirmed by DNA methylation profiling, which assigned the tumor to the methylation class "subependymal giant cell astrocytoma with TSC1/TSC2 alterations" with a calibrated score of 0.95. This case highlights the potential diagnostic pitfall of SEGA lacking TTF-1 expression and emphasizes the importance of considering this entity in the differential diagnosis of intraventricular tumors, even in the absence of TS and characteristic molecular alterations. The existence of TTF-1 negative SEGAs reveals that these tumors might also derive from TTF-1 negative cells in the subpendymal region.

Abstract Image

Abstract Image

Abstract Image

缺乏TSC1/2基因突变和TTF-1表达的孤立性浆膜下巨细胞星形细胞瘤:潜在的诊断陷阱
脐下巨细胞星形细胞瘤(SEGA)是一种罕见的低级别胶质瘤,通常与结节性硬化症(TS)和 TSC1 或 TSC2 基因突变有关。它的特点是位于脑室内,呈膨胀性生长模式,并表达胶质和神经标记物。TTF-1的表达被认为是SEGA的一个敏感标记,可能反映了它起源于尾丘沟的祖细胞。我们报告了一例具有不寻常免疫组化和分子特征的SEGA病例,患者为一名20岁男性,无TS体征或家族史。肿瘤位于右心室前角,阻塞了蒙罗孔。组织学上,肿瘤呈膨胀性生长,由卵圆形核和大量嗜酸性细胞质的细胞组成。免疫组化结果显示,肿瘤细胞的 GFAP 和 S-100 蛋白阳性,SOX2 弱阳性,突触素局部阳性,TTF-1、神经丝蛋白、NeuN、EMA、嗜铬粒蛋白和 BCOR 阴性。还观察到散在的 OLIG2 阳性肿瘤细胞。分子分析表明,除了 BAP1 中的一个意义不明的变异外,包括 TSC1/2 在内的 174 个分析基因均无致病突变或拷贝数变异。尽管没有TTF-1表达和TSC1/2基因突变,但组织病理学特征和免疫组化图谱均显示为SEGA。DNA甲基化分析证实了这一诊断,并将该肿瘤归入甲基化类别 "伴有TSC1/TSC2改变的亚独立绒毛巨细胞星形细胞瘤",校准分数为0.95。该病例凸显了缺乏TTF-1表达的SEGA的潜在诊断隐患,并强调了在脑室内肿瘤的鉴别诊断中考虑这一实体的重要性,即使没有TS和特征性分子改变。TTF-1阴性SEGA的存在表明,这些肿瘤也可能来自髓鞘下区域的TTF-1阴性细胞。
本文章由计算机程序翻译,如有差异,请以英文原文为准。
求助全文
约1分钟内获得全文 求助全文
来源期刊
Neuropathology
Neuropathology 医学-病理学
CiteScore
4.10
自引率
4.30%
发文量
105
审稿时长
6-12 weeks
期刊介绍: Neuropathology is an international journal sponsored by the Japanese Society of Neuropathology and publishes peer-reviewed original papers dealing with all aspects of human and experimental neuropathology and related fields of research. The Journal aims to promote the international exchange of results and encourages authors from all countries to submit papers in the following categories: Original Articles, Case Reports, Short Communications, Occasional Reviews, Editorials and Letters to the Editor. All articles are peer-reviewed by at least two researchers expert in the field of the submitted paper.
×
引用
GB/T 7714-2015
复制
MLA
复制
APA
复制
导出至
BibTeX EndNote RefMan NoteFirst NoteExpress
×
提示
您的信息不完整,为了账户安全,请先补充。
现在去补充
×
提示
您因"违规操作"
具体请查看互助需知
我知道了
×
提示
确定
请完成安全验证×
copy
已复制链接
快去分享给好友吧!
我知道了
右上角分享
点击右上角分享
0
联系我们:info@booksci.cn Book学术提供免费学术资源搜索服务,方便国内外学者检索中英文文献。致力于提供最便捷和优质的服务体验。 Copyright © 2023 布克学术 All rights reserved.
京ICP备2023020795号-1
ghs 京公网安备 11010802042870号
Book学术文献互助
Book学术文献互助群
群 号:604180095
Book学术官方微信