Trans-Oral Protrusion of the Distal End of a Ventriculoperitoneal Shunt: A Case Report of an Unusual Complication.

IF 1.4 Q3 PEDIATRICS
Global Pediatric Health Pub Date : 2024-10-27 eCollection Date: 2024-01-01 DOI:10.1177/2333794X241291750
Joseph Y B Nnang, Berjo Takoutsing, Lisa Akob, Gilbert Yada, Geneviève Endalle, Mohammed Njoya, Yvanah Owoundi, Astel Dongmo, Mercy Berinyuy, Wunde Njineck, Mustafa Semougnal, Megan E H Still, Ignatius Esene
{"title":"Trans-Oral Protrusion of the Distal End of a Ventriculoperitoneal Shunt: A Case Report of an Unusual Complication.","authors":"Joseph Y B Nnang, Berjo Takoutsing, Lisa Akob, Gilbert Yada, Geneviève Endalle, Mohammed Njoya, Yvanah Owoundi, Astel Dongmo, Mercy Berinyuy, Wunde Njineck, Mustafa Semougnal, Megan E H Still, Ignatius Esene","doi":"10.1177/2333794X241291750","DOIUrl":null,"url":null,"abstract":"<p><p>Ventriculoperitoneal shunting (VPS) is the surgical technique of choice to manage pediatric hydrocephalus. Despite having good results, it is prone to complications, some of which are rare. This is the case report of a 2-year-old male, with an uncomplicated VPS done at 6 months of age, presenting with vomiting, irritability, anorexia, and drooling. There was an oral protrusion of a tube dripping clear fluid. Imaging studies demonstrated evidence of gastric perforation with a cephalic migration and transoral protrusion of the distal end of the shunt tubing. A gastroplasty, and immediate revision of the distal shunt were done free of any complications. This case report underlines the importance of recognizing and managing trans-oral protrusion of the distal end of VPS system in a timely manner, and raises awareness of this uncommon complication and its potential influence on patient health and survival, given ventriculitis' high lethality.</p>","PeriodicalId":12576,"journal":{"name":"Global Pediatric Health","volume":"11 ","pages":"2333794X241291750"},"PeriodicalIF":1.4000,"publicationDate":"2024-10-27","publicationTypes":"Journal Article","fieldsOfStudy":null,"isOpenAccess":false,"openAccessPdf":"https://www.ncbi.nlm.nih.gov/pmc/articles/PMC11528644/pdf/","citationCount":"0","resultStr":null,"platform":"Semanticscholar","paperid":null,"PeriodicalName":"Global Pediatric Health","FirstCategoryId":"1085","ListUrlMain":"https://doi.org/10.1177/2333794X241291750","RegionNum":0,"RegionCategory":null,"ArticlePicture":[],"TitleCN":null,"AbstractTextCN":null,"PMCID":null,"EPubDate":"2024/1/1 0:00:00","PubModel":"eCollection","JCR":"Q3","JCRName":"PEDIATRICS","Score":null,"Total":0}
引用次数: 0

Abstract

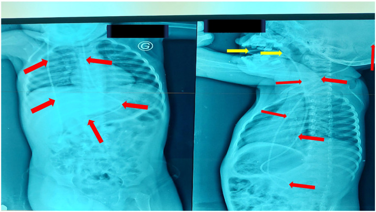
Ventriculoperitoneal shunting (VPS) is the surgical technique of choice to manage pediatric hydrocephalus. Despite having good results, it is prone to complications, some of which are rare. This is the case report of a 2-year-old male, with an uncomplicated VPS done at 6 months of age, presenting with vomiting, irritability, anorexia, and drooling. There was an oral protrusion of a tube dripping clear fluid. Imaging studies demonstrated evidence of gastric perforation with a cephalic migration and transoral protrusion of the distal end of the shunt tubing. A gastroplasty, and immediate revision of the distal shunt were done free of any complications. This case report underlines the importance of recognizing and managing trans-oral protrusion of the distal end of VPS system in a timely manner, and raises awareness of this uncommon complication and its potential influence on patient health and survival, given ventriculitis' high lethality.

Abstract Image

Abstract Image

Abstract Image

脑室腹腔分流术远端经口腔突出:罕见并发症的病例报告。
脑室腹腔分流术(VPS)是治疗小儿脑积水的首选手术技术。尽管效果良好,但容易出现并发症,其中一些并发症较为罕见。本病例报告的是一名两岁男童,在6个月大时进行了一次无并发症的VPS手术,表现为呕吐、烦躁、厌食和流口水。口腔内有一根管子突出,滴下透明液体。影像学检查显示存在胃穿孔,分流管远端头端移位和经口突出。在没有出现任何并发症的情况下,进行了胃成形术,并立即对分流管远端进行了翻修。本病例报告强调了及时识别和处理 VPS 系统远端经口突出的重要性,并提高了人们对这一罕见并发症及其对患者健康和生存的潜在影响的认识,因为脑室炎的致死率很高。
本文章由计算机程序翻译,如有差异,请以英文原文为准。
求助全文
约1分钟内获得全文 求助全文
来源期刊
Global Pediatric Health
Global Pediatric Health Nursing-Pediatrics
CiteScore
2.20
自引率
0.00%
发文量
105
审稿时长
12 weeks
×
引用
GB/T 7714-2015
复制
MLA
复制
APA
复制
导出至
BibTeX EndNote RefMan NoteFirst NoteExpress
×
提示
您的信息不完整,为了账户安全,请先补充。
现在去补充
×
提示
您因"违规操作"
具体请查看互助需知
我知道了
×
提示
确定
请完成安全验证×
copy
已复制链接
快去分享给好友吧!
我知道了
右上角分享
点击右上角分享
0
联系我们:info@booksci.cn Book学术提供免费学术资源搜索服务,方便国内外学者检索中英文文献。致力于提供最便捷和优质的服务体验。 Copyright © 2023 布克学术 All rights reserved.
京ICP备2023020795号-1
ghs 京公网安备 11010802042870号
Book学术文献互助
Book学术文献互助群
群 号:604180095
Book学术官方微信