Iatrogenic intracranial hypotension secondary to subarachnoid-pleural fistula after transthoracic surgery for the treatment of lateral thoracic meningocele.

IF 1.3 Q2 OTORHINOLARYNGOLOGY
Francesco Signorelli, Samuele Santi, Antonio Leone, Massimiliano Visocchi
{"title":"Iatrogenic intracranial hypotension secondary to subarachnoid-pleural fistula after transthoracic surgery for the treatment of lateral thoracic meningocele.","authors":"Francesco Signorelli, Samuele Santi, Antonio Leone, Massimiliano Visocchi","doi":"10.4103/jcvjs.jcvjs_39_24","DOIUrl":null,"url":null,"abstract":"<p><p>Subarachnoid-pleural fistula (SPF), a rare complication following transthoracic spinal surgery, results in the accumulation of cerebrospinal fluid (CSF) in the pleural space. Hindered spontaneous closure, attributed to negative pleural pressure, gives rise to CSF hypotension and subdural blood collections. Despite numerous reported cases, achieving consensus on management remains elusive. Treatment options encompass conservative measures, surgical repair, epidural blood patch, and diverse approaches such as multilayer dural closure or meningocele resection. Presented herein is a distinctive case following lateral thoracic meningocele surgery, where SPF-induced CSF hypotension found successful resolution through the innovative use of titanium hemostatic clips to occlude the meningocele. This novel approach, emphasizing the utility of titanium clips, deviates from conventional strategies. Surgical SPF exclusion, particularly leveraging titanium clips, emerges as a potential solution, effectively alleviating symptoms of CSF hypotension. The article also aims to present a personal experience, contributing an effective and alternative approach for the etiological treatment of thoracic meningocele.</p>","PeriodicalId":51721,"journal":{"name":"Journal of Craniovertebral Junction and Spine","volume":"15 3","pages":"375-379"},"PeriodicalIF":1.3000,"publicationDate":"2024-07-01","publicationTypes":"Journal Article","fieldsOfStudy":null,"isOpenAccess":false,"openAccessPdf":"https://www.ncbi.nlm.nih.gov/pmc/articles/PMC11524558/pdf/","citationCount":"0","resultStr":null,"platform":"Semanticscholar","paperid":null,"PeriodicalName":"Journal of Craniovertebral Junction and Spine","FirstCategoryId":"1085","ListUrlMain":"https://doi.org/10.4103/jcvjs.jcvjs_39_24","RegionNum":0,"RegionCategory":null,"ArticlePicture":[],"TitleCN":null,"AbstractTextCN":null,"PMCID":null,"EPubDate":"2024/9/12 0:00:00","PubModel":"Epub","JCR":"Q2","JCRName":"OTORHINOLARYNGOLOGY","Score":null,"Total":0}
引用次数: 0

Abstract

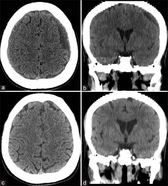
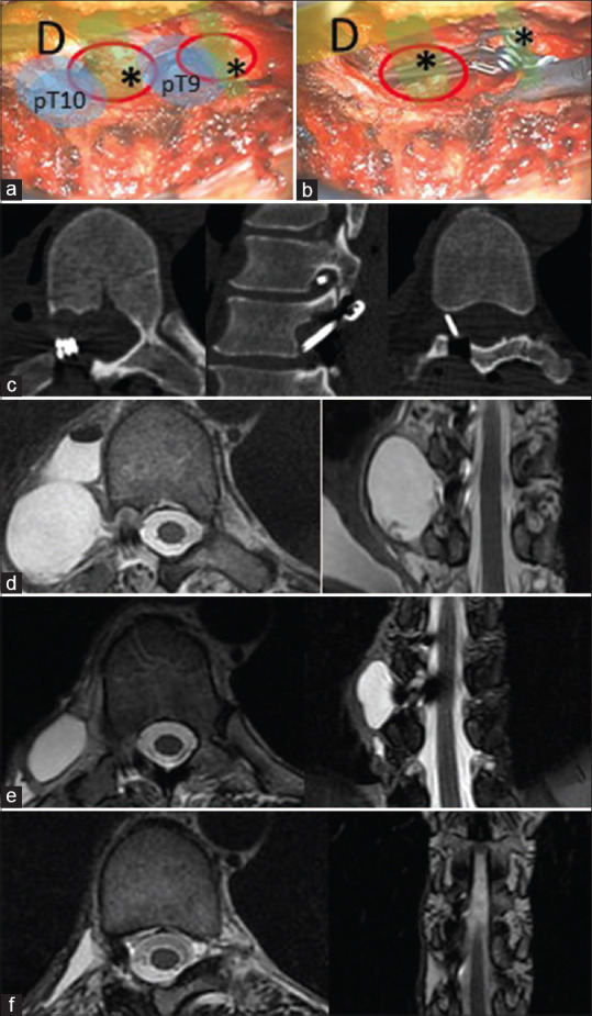
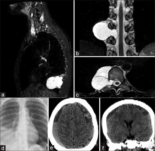
Subarachnoid-pleural fistula (SPF), a rare complication following transthoracic spinal surgery, results in the accumulation of cerebrospinal fluid (CSF) in the pleural space. Hindered spontaneous closure, attributed to negative pleural pressure, gives rise to CSF hypotension and subdural blood collections. Despite numerous reported cases, achieving consensus on management remains elusive. Treatment options encompass conservative measures, surgical repair, epidural blood patch, and diverse approaches such as multilayer dural closure or meningocele resection. Presented herein is a distinctive case following lateral thoracic meningocele surgery, where SPF-induced CSF hypotension found successful resolution through the innovative use of titanium hemostatic clips to occlude the meningocele. This novel approach, emphasizing the utility of titanium clips, deviates from conventional strategies. Surgical SPF exclusion, particularly leveraging titanium clips, emerges as a potential solution, effectively alleviating symptoms of CSF hypotension. The article also aims to present a personal experience, contributing an effective and alternative approach for the etiological treatment of thoracic meningocele.

Abstract Image

Abstract Image

Abstract Image

经胸手术治疗侧胸脑膜囊肿后继发蛛网膜下腔-胸膜瘘的先天性颅内低血压。
蛛网膜下腔-胸膜瘘(SPF)是经胸脊柱手术后的一种罕见并发症,会导致脑脊液(CSF)在胸膜腔内积聚。胸膜负压导致的自发闭合受阻会引起 CSF 低血压和硬膜下积血。尽管有大量病例报道,但在治疗方法上仍未达成共识。治疗方法包括保守治疗、手术修复、硬膜外血补片以及多层硬脑膜闭合或脑膜囊切除等多种方法。本文介绍的是一例独特的侧胸脑膜膨出手术后病例,通过创新性地使用钛止血夹闭塞脑膜膨出,成功解决了 SPF 引起的 CSF 低血压问题。这种强调钛夹效用的新方法与传统策略不同。外科 SPF 排除术,尤其是利用钛夹,成为一种潜在的解决方案,可有效缓解 CSF 低血压症状。文章还旨在介绍个人经历,为胸腔脑膜囊肿的病因治疗提供一种有效的替代方法。
本文章由计算机程序翻译,如有差异,请以英文原文为准。
求助全文
约1分钟内获得全文 求助全文
来源期刊
CiteScore
1.90
自引率
9.10%
发文量
57
审稿时长
12 weeks
×
引用
GB/T 7714-2015
复制
MLA
复制
APA
复制
导出至
BibTeX EndNote RefMan NoteFirst NoteExpress
×
提示
您的信息不完整,为了账户安全,请先补充。
现在去补充
×
提示
您因"违规操作"
具体请查看互助需知
我知道了
×
提示
确定
请完成安全验证×
copy
已复制链接
快去分享给好友吧!
我知道了
右上角分享
点击右上角分享
0
联系我们:info@booksci.cn Book学术提供免费学术资源搜索服务,方便国内外学者检索中英文文献。致力于提供最便捷和优质的服务体验。 Copyright © 2023 布克学术 All rights reserved.
京ICP备2023020795号-1
ghs 京公网安备 11010802042870号
Book学术文献互助
Book学术文献互助群
群 号:604180095
Book学术官方微信