Giant trichilemmal cyst of scrotum.

Q3 Medicine
Journal of Cutaneous and Aesthetic Surgery Pub Date : 2024-07-01 Epub Date: 2022-12-02 DOI:10.4103/JCAS.JCAS_43_21
Anirudha D Gulanikar, Omkar S Kulkarni, Jiten Kulkarni, Nikhil Reddy
{"title":"Giant trichilemmal cyst of scrotum.","authors":"Anirudha D Gulanikar, Omkar S Kulkarni, Jiten Kulkarni, Nikhil Reddy","doi":"10.4103/JCAS.JCAS_43_21","DOIUrl":null,"url":null,"abstract":"<p><p>A 45-year-old man with an asymptomatic lesion on the scrotum since 25 years presented to the skin out patient department (OPD). There were multiple skin-colored to hyperpigmented nodules with areas of calcification on the scrotum. The mass measured 20 cm × 10 cm × 8 cm as a whole. Steatocystoma was clinically diagnosed and excision of the lesion was performed by a plastic surgeon. The mass was removed <i>en masse</i> and the removed specimen was measured to be 20 cm × 10 cm × 5 cm. On histopathological examination, the cysts showed epithelium resembling that of outer hair root sheath. Contents of the cysts were homogenous unlamellated keratin with focal calcification.</p>","PeriodicalId":15415,"journal":{"name":"Journal of Cutaneous and Aesthetic Surgery","volume":"17 3","pages":"249-251"},"PeriodicalIF":0.0000,"publicationDate":"2024-07-01","publicationTypes":"Journal Article","fieldsOfStudy":null,"isOpenAccess":false,"openAccessPdf":"https://www.ncbi.nlm.nih.gov/pmc/articles/PMC11497538/pdf/","citationCount":"0","resultStr":null,"platform":"Semanticscholar","paperid":null,"PeriodicalName":"Journal of Cutaneous and Aesthetic Surgery","FirstCategoryId":"1085","ListUrlMain":"https://doi.org/10.4103/JCAS.JCAS_43_21","RegionNum":0,"RegionCategory":null,"ArticlePicture":[],"TitleCN":null,"AbstractTextCN":null,"PMCID":null,"EPubDate":"2022/12/2 0:00:00","PubModel":"Epub","JCR":"Q3","JCRName":"Medicine","Score":null,"Total":0}
引用次数: 0

Abstract

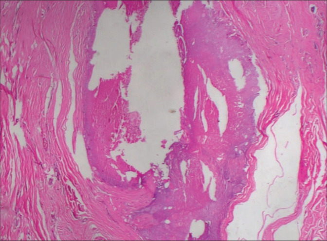
A 45-year-old man with an asymptomatic lesion on the scrotum since 25 years presented to the skin out patient department (OPD). There were multiple skin-colored to hyperpigmented nodules with areas of calcification on the scrotum. The mass measured 20 cm × 10 cm × 8 cm as a whole. Steatocystoma was clinically diagnosed and excision of the lesion was performed by a plastic surgeon. The mass was removed en masse and the removed specimen was measured to be 20 cm × 10 cm × 5 cm. On histopathological examination, the cysts showed epithelium resembling that of outer hair root sheath. Contents of the cysts were homogenous unlamellated keratin with focal calcification.

Abstract Image

Abstract Image

阴囊巨大三叶囊肿。
一名 45 岁男子的阴囊自 25 年前开始出现无症状病变,后来到皮肤门诊部(OPD)就诊。阴囊上有多个皮肤色至色素沉着的结节,并伴有钙化区域。肿块整体大小为 20 厘米×10 厘米×8 厘米。经临床诊断为脂肪囊肿,整形外科医生对病灶进行了切除。肿块被整体切除,切除标本的尺寸为 20 cm × 10 cm × 5 cm。组织病理学检查显示,囊肿的上皮与外发根鞘相似。囊肿内容物为均质无细胞角蛋白,伴局灶性钙化。
本文章由计算机程序翻译,如有差异,请以英文原文为准。
求助全文
约1分钟内获得全文 求助全文
来源期刊
CiteScore
1.10
自引率
0.00%
发文量
60
审稿时长
29 weeks
期刊介绍: The journal will cover aspects of Dermatosurgery and Aesthetic surgery, including cutaneous surgical procedures, lasers, light based treatments and aesthetic treatments. Authors of articles addressing topics such as skin tumours, pigmentary disorders, histopathology, diagnostic techniques, drugs, applications of cosmeceuticals surgical aspects, including pre and post procedural care are highly encouraged to submit with us. The journal also publishes articles on topics in allied specialities suh as plastic surgery, maxillofacial surgery vascular surgery, oculoplastic surgery etc. that are relevant to Dermatosurgery. The journal gives preference to clinically oriented studies over experimental and animal studies. The Journal would publish peer-reviewed Original Research Articles, Systematic reviews, Narrative Reviews, Case reports, Innovations and Debates. Letters to the editor, practice points, pearls in cutaneous and aesthetic surgery, quiz page, images, novel techniques, newer uses of instruments and video presentations and ethical aspects of cutaneous and aesthetic surgery are also invited.
×
引用
GB/T 7714-2015
复制
MLA
复制
APA
复制
导出至
BibTeX EndNote RefMan NoteFirst NoteExpress
×
提示
您的信息不完整,为了账户安全,请先补充。
现在去补充
×
提示
您因"违规操作"
具体请查看互助需知
我知道了
×
提示
确定
请完成安全验证×
copy
已复制链接
快去分享给好友吧!
我知道了
右上角分享
点击右上角分享
0
联系我们:info@booksci.cn Book学术提供免费学术资源搜索服务,方便国内外学者检索中英文文献。致力于提供最便捷和优质的服务体验。 Copyright © 2023 布克学术 All rights reserved.
京ICP备2023020795号-1
ghs 京公网安备 11010802042870号
Book学术文献互助
Book学术文献互助群
群 号:604180095
Book学术官方微信