Kidney-Limited Microangiopathy Associated with Methionine Synthase (Cobalamin G) Deficiency in a Pediatric Patient: Case Report and Review of the Literature.

Glomerular diseases Pub Date : 2024-09-27 eCollection Date: 2024-01-01 DOI:10.1159/000540382
Jonathan E Zuckerman, Rachana Srivastava
{"title":"Kidney-Limited Microangiopathy Associated with Methionine Synthase (Cobalamin G) Deficiency in a Pediatric Patient: Case Report and Review of the Literature.","authors":"Jonathan E Zuckerman, Rachana Srivastava","doi":"10.1159/000540382","DOIUrl":null,"url":null,"abstract":"<p><p>Thrombotic microangiopathy (TMA) is a recognized sequela of inborn errors of metabolism impacting vitamin B12 (cobalamin) synthesis. Methylmalonic aciduria and homocystinuria, cobalamin deficiency type C is a well-known etiology for TMA. TMA has only rarely previously been reported in methionine synthase (cobalamin G) deficiency. Furthermore, results of only 7 kidney biopsies have previously been reported in this clinical setting. Here, we report a case of kidney- and glomerular-limited chronic active microangiopathy demonstrated on kidney biopsy in a patient with biochemically confirmed cobalamin G deficiency. A literature review of all prior reported cases is also presented and demonstrates hypertension, proteinuria, and hematuria to be common presenting symptoms. Age on onset ranged from 7 months to 14 years. Kidney-limited phenotype was less common and occurred only in older children. Acute kidney injury was more common in younger patients. Therapy with hydroxocobalamin and angiotensin-converting enzyme inhibitors resulted in variable clinical responses.</p>","PeriodicalId":73177,"journal":{"name":"Glomerular diseases","volume":"4 1","pages":"183-188"},"PeriodicalIF":0.0000,"publicationDate":"2024-09-27","publicationTypes":"Journal Article","fieldsOfStudy":null,"isOpenAccess":false,"openAccessPdf":"https://www.ncbi.nlm.nih.gov/pmc/articles/PMC11521432/pdf/","citationCount":"0","resultStr":null,"platform":"Semanticscholar","paperid":null,"PeriodicalName":"Glomerular diseases","FirstCategoryId":"1085","ListUrlMain":"https://doi.org/10.1159/000540382","RegionNum":0,"RegionCategory":null,"ArticlePicture":[],"TitleCN":null,"AbstractTextCN":null,"PMCID":null,"EPubDate":"2024/1/1 0:00:00","PubModel":"eCollection","JCR":"","JCRName":"","Score":null,"Total":0}
引用次数: 0

Abstract

Thrombotic microangiopathy (TMA) is a recognized sequela of inborn errors of metabolism impacting vitamin B12 (cobalamin) synthesis. Methylmalonic aciduria and homocystinuria, cobalamin deficiency type C is a well-known etiology for TMA. TMA has only rarely previously been reported in methionine synthase (cobalamin G) deficiency. Furthermore, results of only 7 kidney biopsies have previously been reported in this clinical setting. Here, we report a case of kidney- and glomerular-limited chronic active microangiopathy demonstrated on kidney biopsy in a patient with biochemically confirmed cobalamin G deficiency. A literature review of all prior reported cases is also presented and demonstrates hypertension, proteinuria, and hematuria to be common presenting symptoms. Age on onset ranged from 7 months to 14 years. Kidney-limited phenotype was less common and occurred only in older children. Acute kidney injury was more common in younger patients. Therapy with hydroxocobalamin and angiotensin-converting enzyme inhibitors resulted in variable clinical responses.

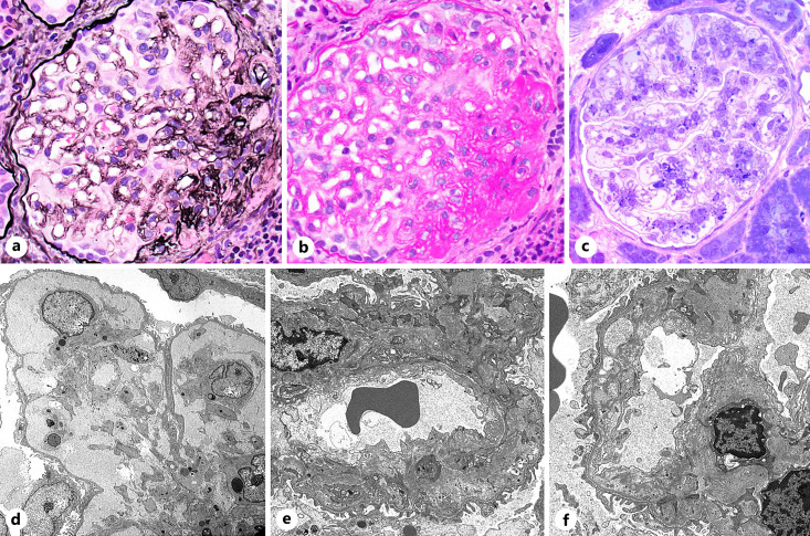
Abstract Image

一名小儿患者因蛋氨酸合成酶(钴胺素 G)缺乏症引发的肾局限性微血管病变:病例报告与文献综述。
血栓性微血管病(TMA)是公认的影响维生素 B12(钴胺素)合成的先天性代谢错误的后遗症。甲基丙二酸尿症和同型胱氨酸尿症、钴胺素缺乏症 C 型是 TMA 的著名病因。以前很少有关于蛋氨酸合成酶(钴胺素 G)缺乏症导致 TMA 的报道。此外,在这种临床情况下,此前仅有 7 例肾脏活检结果的报道。在此,我们报告了一例经生化证实患有钴胺素 G 缺乏症的患者的肾活检结果显示为肾脏和肾小球局限性慢性活动性微血管病变。此外,我们还对以往所有报道的病例进行了文献回顾,发现高血压、蛋白尿和血尿是常见的首发症状。发病年龄从 7 个月到 14 岁不等。肾受限表型较少见,仅出现在年龄较大的儿童中。急性肾损伤在年龄较小的患者中更为常见。使用羟钴胺和血管紧张素转换酶抑制剂治疗的临床反应各不相同。
本文章由计算机程序翻译,如有差异,请以英文原文为准。
求助全文
约1分钟内获得全文 求助全文
来源期刊
自引率
0.00%
发文量
0
×
引用
GB/T 7714-2015
复制
MLA
复制
APA
复制
导出至
BibTeX EndNote RefMan NoteFirst NoteExpress
×
提示
您的信息不完整,为了账户安全,请先补充。
现在去补充
×
提示
您因"违规操作"
具体请查看互助需知
我知道了
×
提示
确定
请完成安全验证×
copy
已复制链接
快去分享给好友吧!
我知道了
右上角分享
点击右上角分享
0
联系我们:info@booksci.cn Book学术提供免费学术资源搜索服务,方便国内外学者检索中英文文献。致力于提供最便捷和优质的服务体验。 Copyright © 2023 布克学术 All rights reserved.
京ICP备2023020795号-1
ghs 京公网安备 11010802042870号
Book学术文献互助
Book学术文献互助群
群 号:604180095
Book学术官方微信