Propofol-induced transient arginine vasopressin deficiency.

IF 0.7 Q4 ENDOCRINOLOGY & METABOLISM
Michael D Luppino, Huyen Nguyen, Matilda Smale, Rebecca Madigan, Morton G Burt, Mahesh M Umapathysivam
{"title":"Propofol-induced transient arginine vasopressin deficiency.","authors":"Michael D Luppino, Huyen Nguyen, Matilda Smale, Rebecca Madigan, Morton G Burt, Mahesh M Umapathysivam","doi":"10.1530/EDM-24-0083","DOIUrl":null,"url":null,"abstract":"<p><strong>Summary: </strong>We describe and characterise the case of a 26-year-old female undergoing surgery for a right-sided sinonasal alveolar rhabdomyosarcoma who developed profound, transient arginine vasopressin deficiency (AVP-D, formerly central diabetes insipidus (DI)) associated with anaesthesia. In this case report, we characterise the development of AVP-D with serial copeptin and paired urine and serum osmolality measurements. Based on the anaesthetic agent's profile and the literature, we attribute this presentation to propofol exposure. We present a description of the literature on anaesthesia-associated DI as well as poignant learning points.</p><p><strong>Learning points: </strong>Exposure to anaesthetic agents is a rare cause of self-limited but sudden and profound arginine vasopressin deficiency (AVP-D) or arginine vasopressin resistance (AVP-R). Sevoflurane has been associated with AVP-R and propofol with AVP-D, although the responsible agent may be difficult to identify. Differentiation of AVP-R and AVP-D can be made based on copeptin concentration, where available, or clinical response to desmopressin. Whilst the patient is anaesthetised, intravenous fluid replacement should be targeted to match urine output until the patient is able to drink to thirst. This should be clearly communicated to staff and the patient. Rapid resolution of AVP-R/AVP-D when the causative agent is discontinued has been reported with both propofol and sevoflurane. As such, switching the agent used to maintain anaesthesia may terminate increased urine output in a clinically meaningful timeframe.</p>","PeriodicalId":37467,"journal":{"name":"Endocrinology, Diabetes and Metabolism Case Reports","volume":"2024 4","pages":""},"PeriodicalIF":0.7000,"publicationDate":"2024-10-28","publicationTypes":"Journal Article","fieldsOfStudy":null,"isOpenAccess":false,"openAccessPdf":"https://www.ncbi.nlm.nih.gov/pmc/articles/PMC11558933/pdf/","citationCount":"0","resultStr":null,"platform":"Semanticscholar","paperid":null,"PeriodicalName":"Endocrinology, Diabetes and Metabolism Case Reports","FirstCategoryId":"1085","ListUrlMain":"https://doi.org/10.1530/EDM-24-0083","RegionNum":0,"RegionCategory":null,"ArticlePicture":[],"TitleCN":null,"AbstractTextCN":null,"PMCID":null,"EPubDate":"2024/10/1 0:00:00","PubModel":"Print","JCR":"Q4","JCRName":"ENDOCRINOLOGY & METABOLISM","Score":null,"Total":0}
引用次数: 0

Abstract

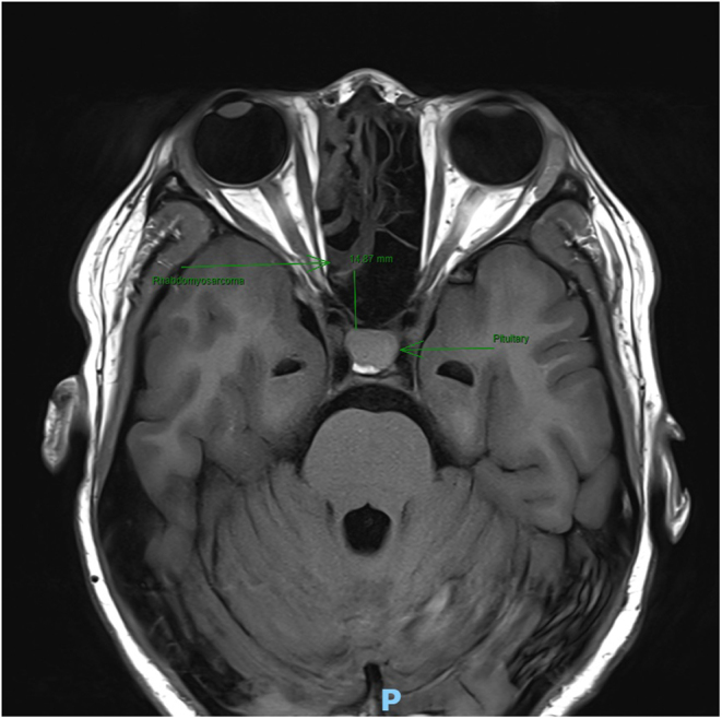
Summary: We describe and characterise the case of a 26-year-old female undergoing surgery for a right-sided sinonasal alveolar rhabdomyosarcoma who developed profound, transient arginine vasopressin deficiency (AVP-D, formerly central diabetes insipidus (DI)) associated with anaesthesia. In this case report, we characterise the development of AVP-D with serial copeptin and paired urine and serum osmolality measurements. Based on the anaesthetic agent's profile and the literature, we attribute this presentation to propofol exposure. We present a description of the literature on anaesthesia-associated DI as well as poignant learning points.

Learning points: Exposure to anaesthetic agents is a rare cause of self-limited but sudden and profound arginine vasopressin deficiency (AVP-D) or arginine vasopressin resistance (AVP-R). Sevoflurane has been associated with AVP-R and propofol with AVP-D, although the responsible agent may be difficult to identify. Differentiation of AVP-R and AVP-D can be made based on copeptin concentration, where available, or clinical response to desmopressin. Whilst the patient is anaesthetised, intravenous fluid replacement should be targeted to match urine output until the patient is able to drink to thirst. This should be clearly communicated to staff and the patient. Rapid resolution of AVP-R/AVP-D when the causative agent is discontinued has been reported with both propofol and sevoflurane. As such, switching the agent used to maintain anaesthesia may terminate increased urine output in a clinically meaningful timeframe.

Abstract Image

Abstract Image

Abstract Image

丙泊酚引起的一过性精氨酸加压素缺乏症。
摘要:我们描述了一例 26 岁女性的病例,她正在接受右侧鼻窦鼻腔肺泡横纹肌肉瘤手术,在麻醉过程中出现了严重的一过性精氨酸加压素缺乏症(AVP-D,以前称为中枢性糖尿病性尿崩症(DI))。在本病例报告中,我们通过连续的 copeptin 和配对尿液及血清渗透压测量,描述了 AVP-D 的发病特征。根据麻醉剂的特性和文献资料,我们将这种病症归因于丙泊酚暴露。我们介绍了有关麻醉相关 DI 的文献以及值得注意的学习要点:学习要点:接触麻醉剂是导致自限性但突然和严重的精氨酸加压素缺乏(AVP-D)或精氨酸加压素抵抗(AVP-R)的罕见原因。七氟醚与 AVP-R 有关,异丙酚与 AVP-D 有关,但可能难以确定致病因子。AVP-R 和 AVP-D 的鉴别可根据 copeptin 浓度(如有)或对去氨加压素的临床反应来进行。当患者处于麻醉状态时,静脉补液的目标应与尿量相匹配,直到患者能口渴饮水为止。这一点应明确告知医护人员和患者。据报道,异丙酚和七氟醚在停用致病药物后,AVP-R/AVP-D 会迅速缓解。因此,更换用于维持麻醉的药物可能会在有临床意义的时间内终止尿量增加。
本文章由计算机程序翻译,如有差异,请以英文原文为准。
求助全文
约1分钟内获得全文 求助全文
来源期刊
CiteScore
1.50
自引率
0.00%
发文量
142
审稿时长
9 weeks
期刊介绍: Endocrinology, Diabetes & Metabolism Case Reports publishes case reports on common and rare conditions in all areas of clinical endocrinology, diabetes and metabolism. Articles should include clear learning points which readers can use to inform medical education or clinical practice. The types of cases of interest to Endocrinology, Diabetes & Metabolism Case Reports include: -Insight into disease pathogenesis or mechanism of therapy - Novel diagnostic procedure - Novel treatment - Unique/unexpected symptoms or presentations of a disease - New disease or syndrome: presentations/diagnosis/management - Unusual effects of medical treatment - Error in diagnosis/pitfalls and caveats
×
引用
GB/T 7714-2015
复制
MLA
复制
APA
复制
导出至
BibTeX EndNote RefMan NoteFirst NoteExpress
×
提示
您的信息不完整,为了账户安全,请先补充。
现在去补充
×
提示
您因"违规操作"
具体请查看互助需知
我知道了
×
提示
确定
请完成安全验证×
copy
已复制链接
快去分享给好友吧!
我知道了
右上角分享
点击右上角分享
0
联系我们:info@booksci.cn Book学术提供免费学术资源搜索服务,方便国内外学者检索中英文文献。致力于提供最便捷和优质的服务体验。 Copyright © 2023 布克学术 All rights reserved.
京ICP备2023020795号-1
ghs 京公网安备 11010802042870号
Book学术文献互助
Book学术文献互助群
群 号:604180095
Book学术官方微信