A case of severe Covid-19 infection as the first manifestation of Cushing's disease.

IF 0.7 Q4 ENDOCRINOLOGY & METABOLISM
Maria Leonor Guia Lopes, José Pedro Cidade, Carolina Antunes, Clotilde Limbert, João Sequeira Duarte
{"title":"A case of severe Covid-19 infection as the first manifestation of Cushing's disease.","authors":"Maria Leonor Guia Lopes, José Pedro Cidade, Carolina Antunes, Clotilde Limbert, João Sequeira Duarte","doi":"10.1530/EDM-24-0043","DOIUrl":null,"url":null,"abstract":"<p><strong>Summary: </strong>Cushing's disease (CD) is characterized by distinct syndromic features, often accompanied by obesity and depression. However, considering its gradual onset of symptoms, it is usually associated with diagnostic delays. In rare instances, CD may lead to severe infections due to the observed immunosuppression in affected individuals. We present a rare case of an undiagnosed CD in a 20-year-old male with a medical history of depression and obesity, complicated by severe COVID-19 infection. He presented to the Emergency Room with respiratory distress, hypertensive crisis, and fever, ultimately receiving the diagnosis of SARS-CoV-2 pneumonia. The patient required mechanical ventilation and intensive care unit (ICU) admission due to severe acute respiratory distress syndrome (ARDS). During ICU care, he received remdesivir and dexamethasone, subsequently developing severe hyperglycemia and worsened hypertension, requiring insulin and multiple antihypertensive agents to manage metabolic disruption. Upon physical examination, classic signs of hypercortisolism were noted. Subsequent laboratory tests and pituitary magnetic resonance imaging confirmed the diagnosis of CD. The patient underwent surgical resection with significant improvements in body composition and metabolic parameters postoperatively. After surgery, remission of hypercortisolism was evident, accompanied by notable improvements in mood and overall health. This case underscores the importance of recognizing hypercortisolism in the context of metabolic, physical, and mood changes. Timely diagnosis of CD is crucial to mitigate complications such as severe opportunistic infections and their outcomes.</p><p><strong>Learning points: </strong>Despite some hallmark features such as proximal myopathy, easy bruising, purple striae, and facial plethora, Cushing's disease (CD) is a challenging diagnosis due to its nonspecific signs and symptoms and gradual onset. The case emphasizes the importance of recognizing subtle signs of CD, such as social isolation, depressive symptoms, and changes in body composition, which may be confounded by external factors like the COVID-19 pandemic. Patients with CD are prone to severe infections due to chronic hypercortisolism-induced immunosuppression. CD diagnostic delays are common, leading to worsening of metabolic and immune dysfunction over time. Heightened clinical suspicion and early intervention are essential to prevent diagnostic delays and optimize patient outcomes.</p>","PeriodicalId":37467,"journal":{"name":"Endocrinology, Diabetes and Metabolism Case Reports","volume":"2024 4","pages":""},"PeriodicalIF":0.7000,"publicationDate":"2024-10-29","publicationTypes":"Journal Article","fieldsOfStudy":null,"isOpenAccess":false,"openAccessPdf":"https://www.ncbi.nlm.nih.gov/pmc/articles/PMC11558948/pdf/","citationCount":"0","resultStr":null,"platform":"Semanticscholar","paperid":null,"PeriodicalName":"Endocrinology, Diabetes and Metabolism Case Reports","FirstCategoryId":"1085","ListUrlMain":"https://doi.org/10.1530/EDM-24-0043","RegionNum":0,"RegionCategory":null,"ArticlePicture":[],"TitleCN":null,"AbstractTextCN":null,"PMCID":null,"EPubDate":"2024/10/1 0:00:00","PubModel":"Print","JCR":"Q4","JCRName":"ENDOCRINOLOGY & METABOLISM","Score":null,"Total":0}
引用次数: 0

Abstract

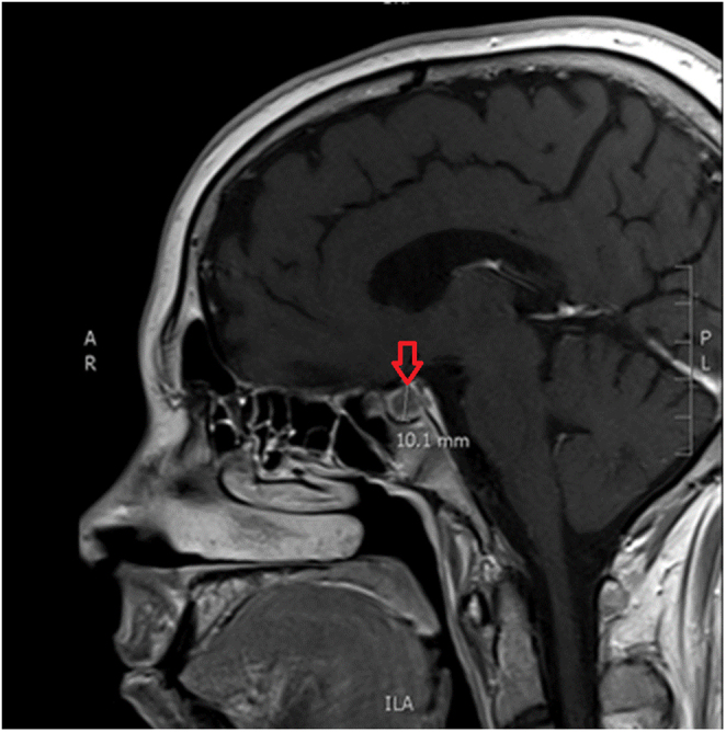
Summary: Cushing's disease (CD) is characterized by distinct syndromic features, often accompanied by obesity and depression. However, considering its gradual onset of symptoms, it is usually associated with diagnostic delays. In rare instances, CD may lead to severe infections due to the observed immunosuppression in affected individuals. We present a rare case of an undiagnosed CD in a 20-year-old male with a medical history of depression and obesity, complicated by severe COVID-19 infection. He presented to the Emergency Room with respiratory distress, hypertensive crisis, and fever, ultimately receiving the diagnosis of SARS-CoV-2 pneumonia. The patient required mechanical ventilation and intensive care unit (ICU) admission due to severe acute respiratory distress syndrome (ARDS). During ICU care, he received remdesivir and dexamethasone, subsequently developing severe hyperglycemia and worsened hypertension, requiring insulin and multiple antihypertensive agents to manage metabolic disruption. Upon physical examination, classic signs of hypercortisolism were noted. Subsequent laboratory tests and pituitary magnetic resonance imaging confirmed the diagnosis of CD. The patient underwent surgical resection with significant improvements in body composition and metabolic parameters postoperatively. After surgery, remission of hypercortisolism was evident, accompanied by notable improvements in mood and overall health. This case underscores the importance of recognizing hypercortisolism in the context of metabolic, physical, and mood changes. Timely diagnosis of CD is crucial to mitigate complications such as severe opportunistic infections and their outcomes.

Learning points: Despite some hallmark features such as proximal myopathy, easy bruising, purple striae, and facial plethora, Cushing's disease (CD) is a challenging diagnosis due to its nonspecific signs and symptoms and gradual onset. The case emphasizes the importance of recognizing subtle signs of CD, such as social isolation, depressive symptoms, and changes in body composition, which may be confounded by external factors like the COVID-19 pandemic. Patients with CD are prone to severe infections due to chronic hypercortisolism-induced immunosuppression. CD diagnostic delays are common, leading to worsening of metabolic and immune dysfunction over time. Heightened clinical suspicion and early intervention are essential to prevent diagnostic delays and optimize patient outcomes.

Abstract Image

Abstract Image

一例以严重 Covid-19 感染为首发表现的库欣病病例。
摘要:库欣病(CD)具有明显的综合征特征,通常伴有肥胖和抑郁。然而,考虑到其症状的渐进性,它通常与诊断延误有关。在极少数情况下,由于患者的免疫抑制,CD 可能会导致严重感染。我们报告了一例罕见的 CD 病例,患者是一名 20 岁的男性,有抑郁症和肥胖症病史,因严重 COVID-19 感染而并发疾病。他因呼吸窘迫、高血压危象和发热前往急诊室就诊,最终被诊断为 SARS-CoV-2 肺炎。由于严重的急性呼吸窘迫综合征(ARDS),患者需要机械通气和入住重症监护室(ICU)。在重症监护室治疗期间,他接受了雷米替韦和地塞米松治疗,随后出现了严重的高血糖和高血压,需要使用胰岛素和多种降压药来控制代谢紊乱。体格检查发现了典型的皮质醇分泌过多症状。随后的实验室检查和垂体磁共振成像证实了 CD 的诊断。患者接受了手术切除,术后身体成分和代谢指标明显改善。术后,高皮质醇症明显缓解,情绪和整体健康也得到显著改善。该病例强调了在新陈代谢、身体和情绪变化的背景下识别高皮质醇症的重要性。及时诊断 CD 对减少严重机会性感染等并发症及其后果至关重要:尽管库欣病(CD)具有一些标志性特征,如近端肌病、易瘀斑、紫纹和面部多毛,但由于其症状和体征不具特异性且逐渐发病,因此诊断具有挑战性。该病例强调了识别 CD 细微体征的重要性,如社交孤立、抑郁症状和身体成分变化,这些体征可能会被 COVID-19 大流行等外部因素所混淆。CD 患者由于长期皮质醇分泌过多导致免疫抑制,容易发生严重感染。CD 诊断延误很常见,导致代谢和免疫功能障碍随着时间的推移而恶化。加强临床怀疑和早期干预对于防止诊断延误和优化患者预后至关重要。
本文章由计算机程序翻译,如有差异,请以英文原文为准。
求助全文
约1分钟内获得全文 求助全文
来源期刊
CiteScore
1.50
自引率
0.00%
发文量
142
审稿时长
9 weeks
期刊介绍: Endocrinology, Diabetes & Metabolism Case Reports publishes case reports on common and rare conditions in all areas of clinical endocrinology, diabetes and metabolism. Articles should include clear learning points which readers can use to inform medical education or clinical practice. The types of cases of interest to Endocrinology, Diabetes & Metabolism Case Reports include: -Insight into disease pathogenesis or mechanism of therapy - Novel diagnostic procedure - Novel treatment - Unique/unexpected symptoms or presentations of a disease - New disease or syndrome: presentations/diagnosis/management - Unusual effects of medical treatment - Error in diagnosis/pitfalls and caveats
×
引用
GB/T 7714-2015
复制
MLA
复制
APA
复制
导出至
BibTeX EndNote RefMan NoteFirst NoteExpress
×
提示
您的信息不完整,为了账户安全,请先补充。
现在去补充
×
提示
您因"违规操作"
具体请查看互助需知
我知道了
×
提示
确定
请完成安全验证×
copy
已复制链接
快去分享给好友吧!
我知道了
右上角分享
点击右上角分享
0
联系我们:info@booksci.cn Book学术提供免费学术资源搜索服务,方便国内外学者检索中英文文献。致力于提供最便捷和优质的服务体验。 Copyright © 2023 布克学术 All rights reserved.
京ICP备2023020795号-1
ghs 京公网安备 11010802042870号
Book学术文献互助
Book学术文献互助群
群 号:604180095
Book学术官方微信