Preoperative uterine artery embolisation before hysterectomy in women with giant uterine fibroid and HIV-associated nephropathy.

IF 1.7 Q2 OBSTETRICS & GYNECOLOGY
Przeglad Menopauzalny Pub Date : 2024-09-01 Epub Date: 2024-10-14 DOI:10.5114/pm.2024.143483
Filip Szkodziak, Sławomir Woźniak, Łukasz Światłowski, Emilia Maleszyk, Piotr Szkodziak, Krzysztof Pyra, Viktor Berczi, Tomasz Paszkowski, Tomasz Jargiełło
{"title":"Preoperative uterine artery embolisation before hysterectomy in women with giant uterine fibroid and HIV-associated nephropathy.","authors":"Filip Szkodziak, Sławomir Woźniak, Łukasz Światłowski, Emilia Maleszyk, Piotr Szkodziak, Krzysztof Pyra, Viktor Berczi, Tomasz Paszkowski, Tomasz Jargiełło","doi":"10.5114/pm.2024.143483","DOIUrl":null,"url":null,"abstract":"<p><p>Uterine fibroids are the most common pelvic benign tumours occurring in women of reproductive age. Current treatment options include surgical procedures, pharmacological therapies, and minimally invasive procedures. The most commonly applied and accepted minimally invasive procedure used in the treatment of symptomatic uterine fibroid is uterine artery embolisation (UAE). Uterine artery embolisation is a minimally invasive procedure that can be used either as an auxiliary method or the main treatment method of symptomatic uterine fibroids. We would like to present the application of pre-operative UAE before hysterectomy in anaemic women with giant uterine fibroid (21.9 × 14.9 × 10.4 cm) and HIV-associated nephropathy. Among the possible treatment options for uterine fibroids in cases like the one presented in our manuscript, hysterectomy is the treatment of choice. However, surgical treatment in a patient with severe comorbid conditions and giant uterine fibroid carries serious risk of perioperative complications. Pre-operative UAE decreases such risk by reducing blood loss during hysterectomy and shortening operation/anaesthesia time. Although the benefits of pre-operative UAE before planned myomectomy or hysterectomy in high surgical risk patients with large fibroids has yet to be confirmed in a well-designed clinical trial, this procedure seems to be a promising tool to reduce the risk of perioperative complications in such patients.</p>","PeriodicalId":55643,"journal":{"name":"Przeglad Menopauzalny","volume":"23 3","pages":"159-162"},"PeriodicalIF":1.7000,"publicationDate":"2024-09-01","publicationTypes":"Journal Article","fieldsOfStudy":null,"isOpenAccess":false,"openAccessPdf":"https://www.ncbi.nlm.nih.gov/pmc/articles/PMC11504482/pdf/","citationCount":"0","resultStr":null,"platform":"Semanticscholar","paperid":null,"PeriodicalName":"Przeglad Menopauzalny","FirstCategoryId":"1085","ListUrlMain":"https://doi.org/10.5114/pm.2024.143483","RegionNum":0,"RegionCategory":null,"ArticlePicture":[],"TitleCN":null,"AbstractTextCN":null,"PMCID":null,"EPubDate":"2024/10/14 0:00:00","PubModel":"Epub","JCR":"Q2","JCRName":"OBSTETRICS & GYNECOLOGY","Score":null,"Total":0}
引用次数: 0

Abstract

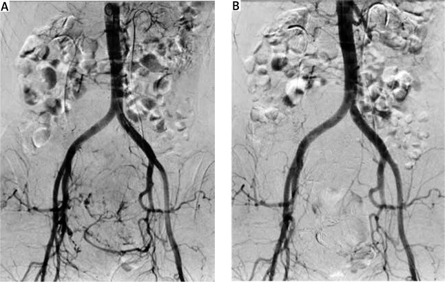
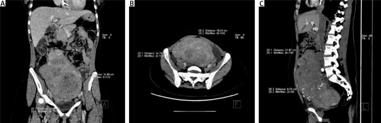
Uterine fibroids are the most common pelvic benign tumours occurring in women of reproductive age. Current treatment options include surgical procedures, pharmacological therapies, and minimally invasive procedures. The most commonly applied and accepted minimally invasive procedure used in the treatment of symptomatic uterine fibroid is uterine artery embolisation (UAE). Uterine artery embolisation is a minimally invasive procedure that can be used either as an auxiliary method or the main treatment method of symptomatic uterine fibroids. We would like to present the application of pre-operative UAE before hysterectomy in anaemic women with giant uterine fibroid (21.9 × 14.9 × 10.4 cm) and HIV-associated nephropathy. Among the possible treatment options for uterine fibroids in cases like the one presented in our manuscript, hysterectomy is the treatment of choice. However, surgical treatment in a patient with severe comorbid conditions and giant uterine fibroid carries serious risk of perioperative complications. Pre-operative UAE decreases such risk by reducing blood loss during hysterectomy and shortening operation/anaesthesia time. Although the benefits of pre-operative UAE before planned myomectomy or hysterectomy in high surgical risk patients with large fibroids has yet to be confirmed in a well-designed clinical trial, this procedure seems to be a promising tool to reduce the risk of perioperative complications in such patients.

Abstract Image

Abstract Image

Abstract Image

对患有巨大子宫肌瘤和艾滋病相关肾病的妇女进行子宫切除术前子宫动脉栓塞术。
子宫肌瘤是育龄妇女最常见的盆腔良性肿瘤。目前的治疗方法包括外科手术、药物疗法和微创手术。子宫动脉栓塞术(UAE)是治疗无症状子宫肌瘤最常用、最广为接受的微创手术。子宫动脉栓塞术是一种微创手术,既可作为无症状子宫肌瘤的辅助治疗方法,也可作为主要治疗方法。我们想介绍在子宫切除术前对患有巨大子宫肌瘤(21.9 × 14.9 × 10.4 厘米)和艾滋病相关肾病的贫血妇女应用术前超短波栓塞术的情况。在我们手稿中提出的子宫肌瘤可能的治疗方案中,子宫切除术是首选治疗方法。然而,对患有严重合并症和巨大子宫肌瘤的患者进行手术治疗会带来严重的围手术期并发症风险。术前超导可减少子宫切除术中的失血量,缩短手术/麻醉时间,从而降低这种风险。虽然在计划进行子宫肌瘤剔除术或子宫切除术前进行术前超短波辅助治疗对手术风险较高的巨大子宫肌瘤患者的益处还有待设计周密的临床试验来证实,但这种治疗方法似乎是降低此类患者围手术期并发症风险的一种很有前途的手段。
本文章由计算机程序翻译,如有差异,请以英文原文为准。
求助全文
约1分钟内获得全文 求助全文
来源期刊
Przeglad Menopauzalny
Przeglad Menopauzalny OBSTETRICS & GYNECOLOGY-
CiteScore
3.40
自引率
11.10%
发文量
32
审稿时长
6-12 weeks
期刊介绍: Menopausal Review is a scientific bimonthly aimed at gynecologists and endocrinologists.
×
引用
GB/T 7714-2015
复制
MLA
复制
APA
复制
导出至
BibTeX EndNote RefMan NoteFirst NoteExpress
×
提示
您的信息不完整,为了账户安全,请先补充。
现在去补充
×
提示
您因"违规操作"
具体请查看互助需知
我知道了
×
提示
确定
请完成安全验证×
copy
已复制链接
快去分享给好友吧!
我知道了
右上角分享
点击右上角分享
0
联系我们:info@booksci.cn Book学术提供免费学术资源搜索服务,方便国内外学者检索中英文文献。致力于提供最便捷和优质的服务体验。 Copyright © 2023 布克学术 All rights reserved.
京ICP备2023020795号-1
ghs 京公网安备 11010802042870号
Book学术文献互助
Book学术文献互助群
群 号:604180095
Book学术官方微信