An Unusual Movement Disorder-Case of Diabetic Striatopathy.

JCEM case reports Pub Date : 2024-10-25 eCollection Date: 2024-11-01 DOI:10.1210/jcemcr/luae201
Shazia Azmat, Owais Lodhi, Harish Ashok, Hussein Harb, Mahwash Siddiqui, Janice Gilden
{"title":"An Unusual Movement Disorder-Case of Diabetic Striatopathy.","authors":"Shazia Azmat, Owais Lodhi, Harish Ashok, Hussein Harb, Mahwash Siddiqui, Janice Gilden","doi":"10.1210/jcemcr/luae201","DOIUrl":null,"url":null,"abstract":"<p><p>Nonketotic hyperglycemia chorea-ballismus (NKH-CB), a rare metabolic syndrome, arises as a secondary condition to hyperglycemia. It is marked by acute or subacute hemichorea-hemiballismus, hyperglycemic state, and unique reversible striatal abnormalities on neuroimaging. This case presents a 70-year-old Hispanic man with a significant medical history of cerebral vascular accidents, hypertension, bipolar disease, and uncontrolled type 2 diabetes mellitus. Notably, the patient was experiencing large-amplitude involuntary movements on his left side for the past 3 weeks. With resolution of hyperglycemia, the amplitude and frequency of the involuntary arm movements were absent. This case highlights the need for careful monitoring and tight control of blood glucose levels in patients with a history of diabetes, to prevent serious neurological complications such as NKH-CB syndrome. Prompt diagnosis through neurological evaluation, blood glucose level assessment, and neuroimaging techniques are critical in managing the symptoms effectively.</p>","PeriodicalId":73540,"journal":{"name":"JCEM case reports","volume":"2 11","pages":"luae201"},"PeriodicalIF":0.0000,"publicationDate":"2024-10-25","publicationTypes":"Journal Article","fieldsOfStudy":null,"isOpenAccess":false,"openAccessPdf":"https://www.ncbi.nlm.nih.gov/pmc/articles/PMC11505440/pdf/","citationCount":"0","resultStr":null,"platform":"Semanticscholar","paperid":null,"PeriodicalName":"JCEM case reports","FirstCategoryId":"1085","ListUrlMain":"https://doi.org/10.1210/jcemcr/luae201","RegionNum":0,"RegionCategory":null,"ArticlePicture":[],"TitleCN":null,"AbstractTextCN":null,"PMCID":null,"EPubDate":"2024/11/1 0:00:00","PubModel":"eCollection","JCR":"","JCRName":"","Score":null,"Total":0}
引用次数: 0

Abstract

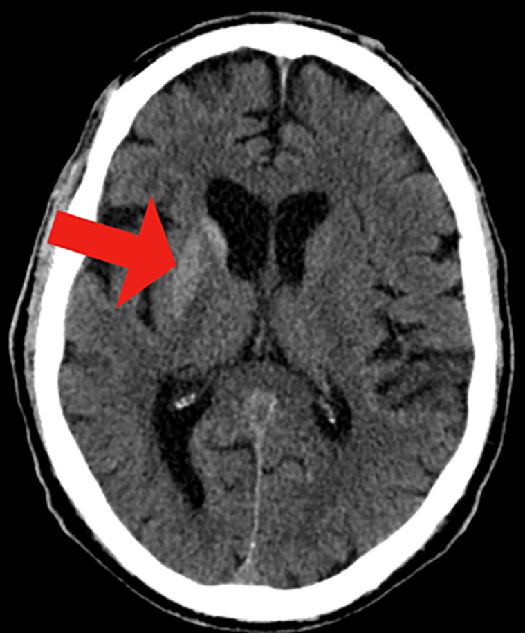
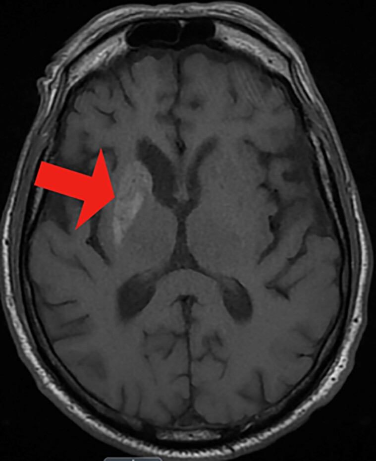
Nonketotic hyperglycemia chorea-ballismus (NKH-CB), a rare metabolic syndrome, arises as a secondary condition to hyperglycemia. It is marked by acute or subacute hemichorea-hemiballismus, hyperglycemic state, and unique reversible striatal abnormalities on neuroimaging. This case presents a 70-year-old Hispanic man with a significant medical history of cerebral vascular accidents, hypertension, bipolar disease, and uncontrolled type 2 diabetes mellitus. Notably, the patient was experiencing large-amplitude involuntary movements on his left side for the past 3 weeks. With resolution of hyperglycemia, the amplitude and frequency of the involuntary arm movements were absent. This case highlights the need for careful monitoring and tight control of blood glucose levels in patients with a history of diabetes, to prevent serious neurological complications such as NKH-CB syndrome. Prompt diagnosis through neurological evaluation, blood glucose level assessment, and neuroimaging techniques are critical in managing the symptoms effectively.

Abstract Image

Abstract Image

一种不寻常的运动障碍--糖尿病纹状体病病例。
非酮症性高血糖舞蹈症(NKH-CB)是一种罕见的代谢综合征,是高血糖的继发病症。其特征是急性或亚急性舞蹈症、高血糖状态以及神经影像学上独特的可逆纹状体异常。本病例中的患者是一名 70 岁的西班牙裔男性,有脑血管意外、高血压、躁狂症和未控制的 2 型糖尿病等重要病史。值得注意的是,患者在过去 3 周内左侧出现大振幅不自主运动。随着高血糖的缓解,手臂不自主运动的幅度和频率都消失了。本病例强调了对有糖尿病史的患者进行仔细监测和严格控制血糖水平的必要性,以防止出现严重的神经系统并发症,如 NKH-CB 综合征。通过神经系统评估、血糖水平评估和神经影像技术进行及时诊断是有效控制症状的关键。
本文章由计算机程序翻译,如有差异,请以英文原文为准。
求助全文
约1分钟内获得全文 求助全文
来源期刊
自引率
0.00%
发文量
0
×
引用
GB/T 7714-2015
复制
MLA
复制
APA
复制
导出至
BibTeX EndNote RefMan NoteFirst NoteExpress
×
提示
您的信息不完整,为了账户安全,请先补充。
现在去补充
×
提示
您因"违规操作"
具体请查看互助需知
我知道了
×
提示
确定
请完成安全验证×
copy
已复制链接
快去分享给好友吧!
我知道了
右上角分享
点击右上角分享
0
联系我们:info@booksci.cn Book学术提供免费学术资源搜索服务,方便国内外学者检索中英文文献。致力于提供最便捷和优质的服务体验。 Copyright © 2023 布克学术 All rights reserved.
京ICP备2023020795号-1
ghs 京公网安备 11010802042870号
Book学术文献互助
Book学术文献互助群
群 号:604180095
Book学术官方微信