Autologous Bone Marrow-Derived Mesenchymal Stem Cells in the Reversal of Unobstructed Azoospermia in Rats.

IF 2.6 Q4 CELL BIOLOGY
Stem Cells and Cloning-Advances and Applications Pub Date : 2024-10-22 eCollection Date: 2024-01-01 DOI:10.2147/SCCAA.S481267
Haifa A Al Turki, Shaheed S Al-Suhaibani, Danah Y AlShamlan, Ayesha Ahmed, Hussain A Alhawaj
{"title":"Autologous Bone Marrow-Derived Mesenchymal Stem Cells in the Reversal of Unobstructed Azoospermia in Rats.","authors":"Haifa A Al Turki, Shaheed S Al-Suhaibani, Danah Y AlShamlan, Ayesha Ahmed, Hussain A Alhawaj","doi":"10.2147/SCCAA.S481267","DOIUrl":null,"url":null,"abstract":"<p><strong>Background and objective: </strong>Non-obstructive azoospermia (NOA) is an important cause of male infertility. This study is being proposed to assess the efficacy of autologous bone marrow-derived mesenchymal stem cells (MSCs) in the reversal of busulfan-induced NOA in rats.</p><p><strong>Methods: </strong>Twenty adult 3-month-old male rats were divided into two groups: a control group and a study group. In the study group, bone marrow was aspirated to culture MSCs. NOA was created by stopping endogenous spermatogenesis in all the animals by injecting two doses of busulfan 10 mg/kg body weight with a 3 week interval. Four weeks after the last dose of busulfan, two animals were euthanized and the testes were studied histologically to confirm complete azoospermia. In the study group, five million MSCs in 1 mL normal saline were injected into seminiferous tubules; and in the control group, 1 mL of normal saline was injected. After 4 weeks of MSC injection, all the rats were euthanized and epididymis tails and testes were harvested and sent for measurement of serological indices, including luminal, cellular, and total diameters, luminal, cellular, and cross-sectional areas, number of tubules per unit area of testis, numerical density of the tubules, and spermatogenesis index, pre- and post-MSC transplantation.</p><p><strong>Results: </strong>The effect of busulfan on the testicular tissue was universally devastating. In the control group, there was variable length and width of markedly necrotic seminiferous tubules, whereas in the group treated with autologous bone marrow-derived MSCs there was variable height of germinal epithelium in seminiferous tubules, with active spermatogenesis, showing spermatogonia, spermatocytes, and sperm.</p><p><strong>Conclusion: </strong>MSC injection in the testis has the potential to reverse the testicular function of spermatogenesis after cytotoxic therapy. Human trials should be undertaken to confirm our findings and bring the results into clinical practice.</p>","PeriodicalId":44934,"journal":{"name":"Stem Cells and Cloning-Advances and Applications","volume":"17 ","pages":"33-39"},"PeriodicalIF":2.6000,"publicationDate":"2024-10-22","publicationTypes":"Journal Article","fieldsOfStudy":null,"isOpenAccess":false,"openAccessPdf":"https://www.ncbi.nlm.nih.gov/pmc/articles/PMC11512562/pdf/","citationCount":"0","resultStr":null,"platform":"Semanticscholar","paperid":null,"PeriodicalName":"Stem Cells and Cloning-Advances and Applications","FirstCategoryId":"1085","ListUrlMain":"https://doi.org/10.2147/SCCAA.S481267","RegionNum":0,"RegionCategory":null,"ArticlePicture":[],"TitleCN":null,"AbstractTextCN":null,"PMCID":null,"EPubDate":"2024/1/1 0:00:00","PubModel":"eCollection","JCR":"Q4","JCRName":"CELL BIOLOGY","Score":null,"Total":0}
引用次数: 0

Abstract

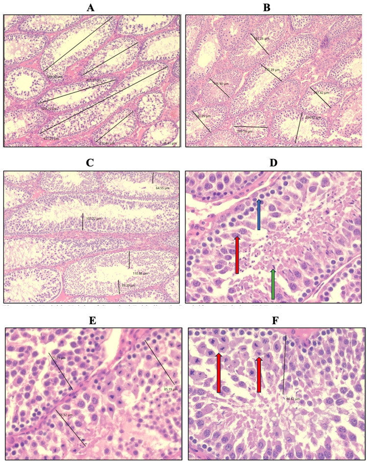
Background and objective: Non-obstructive azoospermia (NOA) is an important cause of male infertility. This study is being proposed to assess the efficacy of autologous bone marrow-derived mesenchymal stem cells (MSCs) in the reversal of busulfan-induced NOA in rats.

Methods: Twenty adult 3-month-old male rats were divided into two groups: a control group and a study group. In the study group, bone marrow was aspirated to culture MSCs. NOA was created by stopping endogenous spermatogenesis in all the animals by injecting two doses of busulfan 10 mg/kg body weight with a 3 week interval. Four weeks after the last dose of busulfan, two animals were euthanized and the testes were studied histologically to confirm complete azoospermia. In the study group, five million MSCs in 1 mL normal saline were injected into seminiferous tubules; and in the control group, 1 mL of normal saline was injected. After 4 weeks of MSC injection, all the rats were euthanized and epididymis tails and testes were harvested and sent for measurement of serological indices, including luminal, cellular, and total diameters, luminal, cellular, and cross-sectional areas, number of tubules per unit area of testis, numerical density of the tubules, and spermatogenesis index, pre- and post-MSC transplantation.

Results: The effect of busulfan on the testicular tissue was universally devastating. In the control group, there was variable length and width of markedly necrotic seminiferous tubules, whereas in the group treated with autologous bone marrow-derived MSCs there was variable height of germinal epithelium in seminiferous tubules, with active spermatogenesis, showing spermatogonia, spermatocytes, and sperm.

Conclusion: MSC injection in the testis has the potential to reverse the testicular function of spermatogenesis after cytotoxic therapy. Human trials should be undertaken to confirm our findings and bring the results into clinical practice.

Abstract Image

Abstract Image

自体骨髓间充质干细胞在逆转大鼠无精子症中的作用
背景和目的:非梗阻性无精子症(NOA)是导致男性不育的重要原因。本研究旨在评估自体骨髓间充质干细胞(MSCs)逆转硫胺素诱导的大鼠无精子症的疗效:将20只3个月大的成年雄性大鼠分为两组:对照组和研究组。研究组抽取骨髓培养间充质干细胞。通过注射两剂每公斤体重 10 毫克的丁胺苯磺隆(busulfan)来阻止所有动物的内源性精子发生,从而产生 NOA,间隔时间为 3 周。在注射最后一剂硫胺素四周后,两只动物被安乐死,并对睾丸进行组织学研究,以确认完全无精子症。在研究组中,将500万个间充质干细胞注入1毫升生理盐水中的曲细精管;在对照组中,注入1毫升生理盐水。注射间充质干细胞4周后,对所有大鼠实施安乐死,采集附睾尾部和睾丸,并测定间充质干细胞移植前后的血清学指标,包括管腔、细胞和总直径,管腔、细胞和横截面积,睾丸单位面积上的小管数量,小管的数值密度和精子发生指数:结果:硫丹对睾丸组织的影响具有普遍的破坏性。在对照组中,明显坏死的曲细精管长度和宽度不一,而在接受自体骨髓间充质干细胞治疗的组中,曲细精管中的生精上皮高度不一,精子发生活跃,显示出精原细胞、精母细胞和精子:结论:向睾丸注射间充质干细胞有可能逆转细胞毒治疗后的睾丸生精功能。应进行人体试验来证实我们的发现,并将结果应用于临床实践。
本文章由计算机程序翻译,如有差异,请以英文原文为准。
求助全文
约1分钟内获得全文 求助全文
来源期刊
CiteScore
6.50
自引率
0.00%
发文量
10
审稿时长
16 weeks
×
引用
GB/T 7714-2015
复制
MLA
复制
APA
复制
导出至
BibTeX EndNote RefMan NoteFirst NoteExpress
×
提示
您的信息不完整,为了账户安全,请先补充。
现在去补充
×
提示
您因"违规操作"
具体请查看互助需知
我知道了
×
提示
确定
请完成安全验证×
copy
已复制链接
快去分享给好友吧!
我知道了
右上角分享
点击右上角分享
0
联系我们:info@booksci.cn Book学术提供免费学术资源搜索服务,方便国内外学者检索中英文文献。致力于提供最便捷和优质的服务体验。 Copyright © 2023 布克学术 All rights reserved.
京ICP备2023020795号-1
ghs 京公网安备 11010802042870号
Book学术文献互助
Book学术文献互助群
群 号:604180095
Book学术官方微信