Optimizing Western blotting immunodetection: Streamlining antibody cocktails for reduced protocol time and enhanced multiplexing applications.

IF 1.3 Q3 BIOCHEMICAL RESEARCH METHODS
Biology Methods and Protocols Pub Date : 2024-10-15 eCollection Date: 2024-01-01 DOI:10.1093/biomethods/bpae077
L Z Yamani, Khaldoon Alsamman, Omar S El-Masry
{"title":"Optimizing Western blotting immunodetection: Streamlining antibody cocktails for reduced protocol time and enhanced multiplexing applications.","authors":"L Z Yamani, Khaldoon Alsamman, Omar S El-Masry","doi":"10.1093/biomethods/bpae077","DOIUrl":null,"url":null,"abstract":"<p><p>Adaptive, rather than innate, immunity relies mainly on antigen-antibody recognition. This recognition is driven by the binding of specific antibody paratopes to distinct epitopes found on antigens. This interaction is pivotal for immune responses that have been re-purposed for diagnostic and therapeutic purposes. This article focuses on Western blotting, an <i>in vitro</i> technique performed for protein immunodetection. Traditionally, this technique requires separate incubations of both primary and secondary antibodies, for which these antibodies recognize different antigen epitopes (conventional method). We propose a modified protocol combining both antibodies, involving a single incubation step that reduces time and conserves reagents (non-conventional/improved method). This improved protocol will enhance efficiency without compromising detection accuracy. It will support multiplexing, enabling the simultaneous detection of multiple proteins. Despite the positive results found by applying available antibodies, further optimization is required for a more thorough evaluation, to ensure that all antibodies consistently yield successful results in every detection attempt for broader use. Our findings indicate that the tested antibody cocktails remained stable over time, which suggests potential for commercialization of this modified Western blot protocol with a wide scope towards multiplex diagnostic application.</p>","PeriodicalId":36528,"journal":{"name":"Biology Methods and Protocols","volume":"9 1","pages":"bpae077"},"PeriodicalIF":1.3000,"publicationDate":"2024-10-15","publicationTypes":"Journal Article","fieldsOfStudy":null,"isOpenAccess":false,"openAccessPdf":"https://www.ncbi.nlm.nih.gov/pmc/articles/PMC11513134/pdf/","citationCount":"0","resultStr":null,"platform":"Semanticscholar","paperid":null,"PeriodicalName":"Biology Methods and Protocols","FirstCategoryId":"1085","ListUrlMain":"https://doi.org/10.1093/biomethods/bpae077","RegionNum":0,"RegionCategory":null,"ArticlePicture":[],"TitleCN":null,"AbstractTextCN":null,"PMCID":null,"EPubDate":"2024/1/1 0:00:00","PubModel":"eCollection","JCR":"Q3","JCRName":"BIOCHEMICAL RESEARCH METHODS","Score":null,"Total":0}
引用次数: 0

Abstract

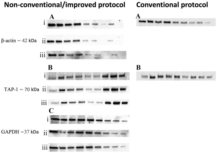
Adaptive, rather than innate, immunity relies mainly on antigen-antibody recognition. This recognition is driven by the binding of specific antibody paratopes to distinct epitopes found on antigens. This interaction is pivotal for immune responses that have been re-purposed for diagnostic and therapeutic purposes. This article focuses on Western blotting, an in vitro technique performed for protein immunodetection. Traditionally, this technique requires separate incubations of both primary and secondary antibodies, for which these antibodies recognize different antigen epitopes (conventional method). We propose a modified protocol combining both antibodies, involving a single incubation step that reduces time and conserves reagents (non-conventional/improved method). This improved protocol will enhance efficiency without compromising detection accuracy. It will support multiplexing, enabling the simultaneous detection of multiple proteins. Despite the positive results found by applying available antibodies, further optimization is required for a more thorough evaluation, to ensure that all antibodies consistently yield successful results in every detection attempt for broader use. Our findings indicate that the tested antibody cocktails remained stable over time, which suggests potential for commercialization of this modified Western blot protocol with a wide scope towards multiplex diagnostic application.

Abstract Image

Abstract Image

Abstract Image

优化 Western 印迹免疫检测:精简鸡尾酒抗体,缩短方案时间,增强多重应用。
适应性免疫而非先天性免疫主要依靠抗原-抗体识别。这种识别是由特异性抗体副位点与抗原上的不同表位结合驱动的。这种相互作用是免疫反应的关键,已被重新用于诊断和治疗目的。本文重点介绍 Western 印迹技术,这是一种用于蛋白质免疫检测的体外技术。传统上,这种技术需要一抗和二抗分别孵育,而这些抗体能识别不同的抗原表位(传统方法)。我们提出了一种结合两种抗体的改进方案,只需一个孵育步骤,既缩短了时间,又节省了试剂(非常规/改进方法)。这一改进方案将在不影响检测准确性的前提下提高效率。它还支持多重检测,可同时检测多种蛋白质。尽管应用现有抗体取得了积极的结果,但还需要进一步优化,进行更全面的评估,以确保所有抗体在每次检测中都能取得一致的成功结果,从而得到更广泛的应用。我们的研究结果表明,经过测试的抗体鸡尾酒在一段时间内保持稳定,这表明这种改良的 Western 印迹方案具有商业化的潜力,可广泛应用于多重诊断。
本文章由计算机程序翻译,如有差异,请以英文原文为准。
求助全文
约1分钟内获得全文 求助全文
来源期刊
Biology Methods and Protocols
Biology Methods and Protocols Agricultural and Biological Sciences-Agricultural and Biological Sciences (all)
CiteScore
3.80
自引率
2.80%
发文量
28
审稿时长
19 weeks
×
引用
GB/T 7714-2015
复制
MLA
复制
APA
复制
导出至
BibTeX EndNote RefMan NoteFirst NoteExpress
×
提示
您的信息不完整,为了账户安全,请先补充。
现在去补充
×
提示
您因"违规操作"
具体请查看互助需知
我知道了
×
提示
确定
请完成安全验证×
copy
已复制链接
快去分享给好友吧!
我知道了
右上角分享
点击右上角分享
0
联系我们:info@booksci.cn Book学术提供免费学术资源搜索服务,方便国内外学者检索中英文文献。致力于提供最便捷和优质的服务体验。 Copyright © 2023 布克学术 All rights reserved.
京ICP备2023020795号-1
ghs 京公网安备 11010802042870号
Book学术文献互助
Book学术文献互助群
群 号:604180095
Book学术官方微信