Paradoxical Tuberculosis Immune Reconstitution Inflammatory Syndrome Complicated by Large Bilateral Psoas Abscess: A Case Report.

IF 2.1 Q3 INFECTIOUS DISEASES
Adriam M Castilla-Encinas, Valeria Rocio Soto Salas, Hugo Alvarez-Delgado, Jhon E Bocanegra-Becerra, Paola L Rondan
{"title":"Paradoxical Tuberculosis Immune Reconstitution Inflammatory Syndrome Complicated by Large Bilateral Psoas Abscess: A Case Report.","authors":"Adriam M Castilla-Encinas, Valeria Rocio Soto Salas, Hugo Alvarez-Delgado, Jhon E Bocanegra-Becerra, Paola L Rondan","doi":"10.1177/23259582241293302","DOIUrl":null,"url":null,"abstract":"<p><p>Immune reconstitution inflammatory syndrome is a common manifestation in human immunodeficiency virus (HIV)-positive patients infected with tuberculosis (TB). One of the unusual complications of this condition is the development of psoas abscess. We describe a case of immune reconstitution inflammatory syndrome (IRIS) in a patient with disseminated TB under treatment, HIV-positive with a low CD4 cell count, complicated by bilateral psoas abscess. Our patient presented with fever, abdominal pain, and lymphadenopathy, typical symptoms of TB-IRIS. Diagnosis was confirmed by surgical drainage of the abscess of the right iliac psoas muscle with detection of acid-fast bacteria on Ziehl-Neelsen staining and negative culture of purulent discharge. Treatment with prednisone was started in addition to continuation of antituberculosis therapy and antiretroviral therapy.</p>","PeriodicalId":17328,"journal":{"name":"Journal of the International Association of Providers of AIDS Care","volume":"23 ","pages":"23259582241293302"},"PeriodicalIF":2.1000,"publicationDate":"2024-01-01","publicationTypes":"Journal Article","fieldsOfStudy":null,"isOpenAccess":false,"openAccessPdf":"https://www.ncbi.nlm.nih.gov/pmc/articles/PMC11520005/pdf/","citationCount":"0","resultStr":null,"platform":"Semanticscholar","paperid":null,"PeriodicalName":"Journal of the International Association of Providers of AIDS Care","FirstCategoryId":"1085","ListUrlMain":"https://doi.org/10.1177/23259582241293302","RegionNum":0,"RegionCategory":null,"ArticlePicture":[],"TitleCN":null,"AbstractTextCN":null,"PMCID":null,"EPubDate":"","PubModel":"","JCR":"Q3","JCRName":"INFECTIOUS DISEASES","Score":null,"Total":0}
引用次数: 0

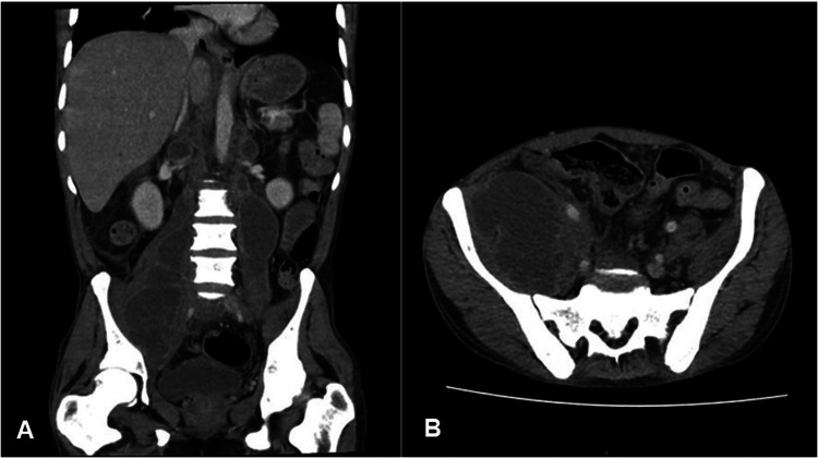
Abstract

Immune reconstitution inflammatory syndrome is a common manifestation in human immunodeficiency virus (HIV)-positive patients infected with tuberculosis (TB). One of the unusual complications of this condition is the development of psoas abscess. We describe a case of immune reconstitution inflammatory syndrome (IRIS) in a patient with disseminated TB under treatment, HIV-positive with a low CD4 cell count, complicated by bilateral psoas abscess. Our patient presented with fever, abdominal pain, and lymphadenopathy, typical symptoms of TB-IRIS. Diagnosis was confirmed by surgical drainage of the abscess of the right iliac psoas muscle with detection of acid-fast bacteria on Ziehl-Neelsen staining and negative culture of purulent discharge. Treatment with prednisone was started in addition to continuation of antituberculosis therapy and antiretroviral therapy.

Abstract Image

Abstract Image

Abstract Image

大面积双侧腰肌脓肿并发的矛盾性结核病免疫重建炎症综合征:病例报告
免疫重建炎症综合征是人类免疫缺陷病毒(HIV)阳性结核病(TB)感染者的常见表现。该病症的异常并发症之一是腰肌脓肿。我们描述了一例正在接受治疗的播散性肺结核患者的免疫重建炎症综合征(IRIS)病例,该患者为 HIV 阳性,CD4 细胞计数较低,并伴有双侧腰肌脓肿。患者表现为发热、腹痛和淋巴结肿大,这些都是 TB-IRIS 的典型症状。通过手术引流右侧髂腰肌脓肿,在齐氏-奈尔森染色法检测到耐酸细菌,脓性分泌物培养阴性,确诊为肺结核-IRIS。除继续接受抗结核治疗和抗逆转录病毒治疗外,还开始使用泼尼松治疗。
本文章由计算机程序翻译,如有差异,请以英文原文为准。
求助全文
约1分钟内获得全文 求助全文
来源期刊
CiteScore
3.50
自引率
0.00%
发文量
43
审稿时长
13 weeks
×
引用
GB/T 7714-2015
复制
MLA
复制
APA
复制
导出至
BibTeX EndNote RefMan NoteFirst NoteExpress
×
提示
您的信息不完整,为了账户安全,请先补充。
现在去补充
×
提示
您因"违规操作"
具体请查看互助需知
我知道了
×
提示
确定
请完成安全验证×
copy
已复制链接
快去分享给好友吧!
我知道了
右上角分享
点击右上角分享
0
联系我们:info@booksci.cn Book学术提供免费学术资源搜索服务,方便国内外学者检索中英文文献。致力于提供最便捷和优质的服务体验。 Copyright © 2023 布克学术 All rights reserved.
京ICP备2023020795号-1
ghs 京公网安备 11010802042870号
Book学术文献互助
Book学术文献互助群
群 号:604180095
Book学术官方微信