The Co-Occurrence of Medullary and Papillary Thyroid Carcinoma-A Literature Review Based on a Case Report.

IF 0.9 Q4 ENDOCRINOLOGY & METABOLISM
Case Reports in Endocrinology Pub Date : 2024-10-17 eCollection Date: 2024-01-01 DOI:10.1155/2024/2393186
Katharina Nordhausen, Timo Deutschbein, Volker Heinrichs, Dirk Weyhe, Navid Tabriz
{"title":"The Co-Occurrence of Medullary and Papillary Thyroid Carcinoma-A Literature Review Based on a Case Report.","authors":"Katharina Nordhausen, Timo Deutschbein, Volker Heinrichs, Dirk Weyhe, Navid Tabriz","doi":"10.1155/2024/2393186","DOIUrl":null,"url":null,"abstract":"<p><p><b>Background:</b> The co-occurrence of medullary thyroid carcinoma (MTC) and papillary thyroid carcinoma (PTC) is thought to be a rare phenomenon. Here, we present a patient undergoing surgery due to a suspected MTC. Histopathological workup confirmed the suspected diagnosis but also described an incidental PTC in the contralateral lobe with lymph node metastasis in the central cervical compartment. <b>Case Presentation:</b> A 58-year-old female presented with thyroid nodules and significantly elevated levels of calcitonin and carcinoembryonic antigen (CEA). She underwent total thyroidectomy along with central and bilateral lymph node dissection. Histology revealed a MTC of 20 mm and a BRAF V600E-positive PTC of 11 mm with central cervical lymph node metastasis. Postoperatively, ablative radioiodine therapy was performed. Two months later, both calcitonin and CEA were normalized. <b>Conclusion:</b> Simultaneous occurrence of MTC and PTC seems to be rare, but recent literature suggests that simultaneous occurrence is probably more frequent than initially thought. Preoperative calcitonin can be helpful in the diagnostic workup of thyroid nodules. Due to different treatment strategies, precise histological differentiation of potential lymph node metastasis is essential.</p>","PeriodicalId":9621,"journal":{"name":"Case Reports in Endocrinology","volume":"2024 ","pages":"2393186"},"PeriodicalIF":0.9000,"publicationDate":"2024-10-17","publicationTypes":"Journal Article","fieldsOfStudy":null,"isOpenAccess":false,"openAccessPdf":"https://www.ncbi.nlm.nih.gov/pmc/articles/PMC11502130/pdf/","citationCount":"0","resultStr":null,"platform":"Semanticscholar","paperid":null,"PeriodicalName":"Case Reports in Endocrinology","FirstCategoryId":"1085","ListUrlMain":"https://doi.org/10.1155/2024/2393186","RegionNum":0,"RegionCategory":null,"ArticlePicture":[],"TitleCN":null,"AbstractTextCN":null,"PMCID":null,"EPubDate":"2024/1/1 0:00:00","PubModel":"eCollection","JCR":"Q4","JCRName":"ENDOCRINOLOGY & METABOLISM","Score":null,"Total":0}
引用次数: 0

Abstract

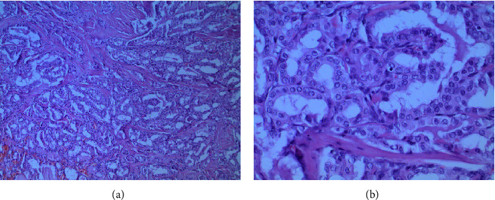
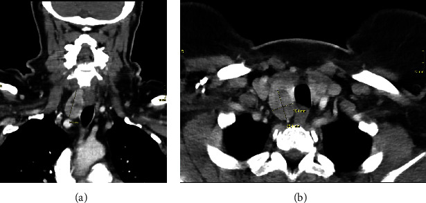
Background: The co-occurrence of medullary thyroid carcinoma (MTC) and papillary thyroid carcinoma (PTC) is thought to be a rare phenomenon. Here, we present a patient undergoing surgery due to a suspected MTC. Histopathological workup confirmed the suspected diagnosis but also described an incidental PTC in the contralateral lobe with lymph node metastasis in the central cervical compartment. Case Presentation: A 58-year-old female presented with thyroid nodules and significantly elevated levels of calcitonin and carcinoembryonic antigen (CEA). She underwent total thyroidectomy along with central and bilateral lymph node dissection. Histology revealed a MTC of 20 mm and a BRAF V600E-positive PTC of 11 mm with central cervical lymph node metastasis. Postoperatively, ablative radioiodine therapy was performed. Two months later, both calcitonin and CEA were normalized. Conclusion: Simultaneous occurrence of MTC and PTC seems to be rare, but recent literature suggests that simultaneous occurrence is probably more frequent than initially thought. Preoperative calcitonin can be helpful in the diagnostic workup of thyroid nodules. Due to different treatment strategies, precise histological differentiation of potential lymph node metastasis is essential.

Abstract Image

Abstract Image

Abstract Image

甲状腺髓样癌和乳头状癌同时发生--基于病例报告的文献综述
背景:甲状腺髓样癌(MTC)和甲状腺乳头状癌(PTC)同时发生被认为是一种罕见现象。在此,我们介绍一位因疑似甲状腺髓样癌而接受手术的患者。组织病理学检查证实了疑似诊断,但同时也描述了对侧叶中偶然出现的 PTC,并伴有颈中央区淋巴结转移。病例介绍:一位 58 岁的女性患者出现甲状腺结节,降钙素原和癌胚抗原(CEA)水平明显升高。她接受了甲状腺全切除术以及中央和双侧淋巴结清扫术。组织学检查显示,MTC 为 20 毫米,BRAF V600E 阳性 PTC 为 11 毫米,并伴有中央颈淋巴结转移。术后进行了放射性碘消融治疗。两个月后,降钙素原和 CEA 均恢复正常。结论MTC 和 PTC 同时发生的情况似乎很少见,但最近的文献表明,同时发生的情况可能比最初认为的更为频繁。术前降钙素可以帮助诊断甲状腺结节。由于治疗策略的不同,对潜在淋巴结转移进行精确的组织学鉴别至关重要。
本文章由计算机程序翻译,如有差异,请以英文原文为准。
求助全文
约1分钟内获得全文 求助全文
来源期刊
Case Reports in Endocrinology
Case Reports in Endocrinology ENDOCRINOLOGY & METABOLISM-
CiteScore
2.10
自引率
0.00%
发文量
45
审稿时长
13 weeks
×
引用
GB/T 7714-2015
复制
MLA
复制
APA
复制
导出至
BibTeX EndNote RefMan NoteFirst NoteExpress
×
提示
您的信息不完整,为了账户安全,请先补充。
现在去补充
×
提示
您因"违规操作"
具体请查看互助需知
我知道了
×
提示
确定
请完成安全验证×
copy
已复制链接
快去分享给好友吧!
我知道了
右上角分享
点击右上角分享
0
联系我们:info@booksci.cn Book学术提供免费学术资源搜索服务,方便国内外学者检索中英文文献。致力于提供最便捷和优质的服务体验。 Copyright © 2023 布克学术 All rights reserved.
京ICP备2023020795号-1
ghs 京公网安备 11010802042870号
Book学术文献互助
Book学术文献互助群
群 号:604180095
Book学术官方微信