Unusual Presentation of Craniopharyngioma Pituitary Mass in a 71-Year-Old Female: A Case Report.

IF 0.9 Q4 ENDOCRINOLOGY & METABOLISM
Case Reports in Endocrinology Pub Date : 2024-10-04 eCollection Date: 2024-01-01 DOI:10.1155/2024/1333552
Taylor F Faust, Punuru Reddy, Jillian Weiss, Michael Steadman, Connie Morizio, Garrett Cail
{"title":"Unusual Presentation of Craniopharyngioma Pituitary Mass in a 71-Year-Old Female: A Case Report.","authors":"Taylor F Faust, Punuru Reddy, Jillian Weiss, Michael Steadman, Connie Morizio, Garrett Cail","doi":"10.1155/2024/1333552","DOIUrl":null,"url":null,"abstract":"<p><p>In this report, we present the case of a 71-year-old African-American woman experiencing 2 months of intermittent headaches and episodes of blurred vision. Despite a comprehensive medical history that revealed chronic conditions and previous unrelated surgeries, the initial evaluation appeared to be unremarkable. Following the discovery of a mass on an imaging and a subsequent biopsy, the diagnosis of craniopharyngioma (WHO grade I) was confirmed. However, a brain mass was identified after additional ophthalmologic examination and MRI. This case explores the significance of recognizing atypical presentations of a brain injury that required a specific approach for diagnosis, surgical intervention and treatment, and postoperative care. This case contributes to the constantly evolving understanding of atypical manifestations of tumor characteristics and their complexities, along with the need to develop appropriate patient management strategies and provide optimal outcomes.</p>","PeriodicalId":9621,"journal":{"name":"Case Reports in Endocrinology","volume":"2024 ","pages":"1333552"},"PeriodicalIF":0.9000,"publicationDate":"2024-10-04","publicationTypes":"Journal Article","fieldsOfStudy":null,"isOpenAccess":false,"openAccessPdf":"https://www.ncbi.nlm.nih.gov/pmc/articles/PMC11469926/pdf/","citationCount":"0","resultStr":null,"platform":"Semanticscholar","paperid":null,"PeriodicalName":"Case Reports in Endocrinology","FirstCategoryId":"1085","ListUrlMain":"https://doi.org/10.1155/2024/1333552","RegionNum":0,"RegionCategory":null,"ArticlePicture":[],"TitleCN":null,"AbstractTextCN":null,"PMCID":null,"EPubDate":"2024/1/1 0:00:00","PubModel":"eCollection","JCR":"Q4","JCRName":"ENDOCRINOLOGY & METABOLISM","Score":null,"Total":0}
引用次数: 0

Abstract

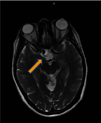
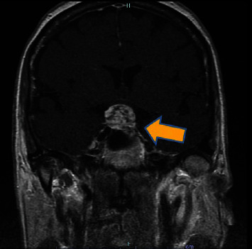
In this report, we present the case of a 71-year-old African-American woman experiencing 2 months of intermittent headaches and episodes of blurred vision. Despite a comprehensive medical history that revealed chronic conditions and previous unrelated surgeries, the initial evaluation appeared to be unremarkable. Following the discovery of a mass on an imaging and a subsequent biopsy, the diagnosis of craniopharyngioma (WHO grade I) was confirmed. However, a brain mass was identified after additional ophthalmologic examination and MRI. This case explores the significance of recognizing atypical presentations of a brain injury that required a specific approach for diagnosis, surgical intervention and treatment, and postoperative care. This case contributes to the constantly evolving understanding of atypical manifestations of tumor characteristics and their complexities, along with the need to develop appropriate patient management strategies and provide optimal outcomes.

Abstract Image

Abstract Image

Abstract Image

71 岁女性颅咽管瘤垂体肿块的异常表现:病例报告。
在本报告中,我们介绍了一名 71 岁非裔美国妇女的病例,她出现间歇性头痛和视力模糊已有 2 个月。尽管全面的病史显示她患有慢性疾病并曾做过与此无关的手术,但初步评估似乎并无异常。在造影检查和随后的活组织检查中发现肿块后,确诊为颅咽管瘤(世卫组织 I 级)。然而,在进一步的眼科检查和核磁共振成像检查后,又发现了一个脑肿块。本病例探讨了识别脑损伤非典型表现的意义,这种非典型表现需要特定的诊断、手术干预和治疗以及术后护理方法。本病例有助于人们不断加深对肿瘤特征的非典型表现及其复杂性的认识,以及制定适当的患者管理策略和提供最佳治疗效果的必要性。
本文章由计算机程序翻译,如有差异,请以英文原文为准。
求助全文
约1分钟内获得全文 求助全文
来源期刊
Case Reports in Endocrinology
Case Reports in Endocrinology ENDOCRINOLOGY & METABOLISM-
CiteScore
2.10
自引率
0.00%
发文量
45
审稿时长
13 weeks
×
引用
GB/T 7714-2015
复制
MLA
复制
APA
复制
导出至
BibTeX EndNote RefMan NoteFirst NoteExpress
×
提示
您的信息不完整,为了账户安全,请先补充。
现在去补充
×
提示
您因"违规操作"
具体请查看互助需知
我知道了
×
提示
确定
请完成安全验证×
copy
已复制链接
快去分享给好友吧!
我知道了
右上角分享
点击右上角分享
0
联系我们:info@booksci.cn Book学术提供免费学术资源搜索服务,方便国内外学者检索中英文文献。致力于提供最便捷和优质的服务体验。 Copyright © 2023 布克学术 All rights reserved.
京ICP备2023020795号-1
ghs 京公网安备 11010802042870号
Book学术文献互助
Book学术文献互助群
群 号:604180095
Book学术官方微信