Clinical Features and Treatment Outcomes of Influenza-Associated Encephalitis and Encephalopathy: A Study on 16 Children in Vietnam.

IF 1.4 Q3 PEDIATRICS
Global Pediatric Health Pub Date : 2024-10-11 eCollection Date: 2024-01-01 DOI:10.1177/2333794X241286549
Lam Van Nguyen, Duc Sy Nguyen, Que Thi Pham, Hai Thien Do, Dien Minh Tran, Tung Viet Cao, Hai Thanh Phan, Thai Quang Pham
{"title":"Clinical Features and Treatment Outcomes of Influenza-Associated Encephalitis and Encephalopathy: A Study on 16 Children in Vietnam.","authors":"Lam Van Nguyen, Duc Sy Nguyen, Que Thi Pham, Hai Thien Do, Dien Minh Tran, Tung Viet Cao, Hai Thanh Phan, Thai Quang Pham","doi":"10.1177/2333794X241286549","DOIUrl":null,"url":null,"abstract":"<p><p><i>Objectives</i>. This study aims to report clinical features and treatment outcomes of 16 cases diagnosed with post-influenza encephalopathy/encephalitis. <i>Methods</i>. We recorded clinical characteristics of 16 pediatric patients diagnosed with post-influenza encephalopathy/encephalitis at the Vietnam National Children's Hospital from January 2019 to January 2021. <i>Results</i>. There were 87.5% infected with influenza A, with influenza A/H1pdm09 and influenza A/H3 accounting for 88.9% and 11.1% respectively, and 12.5% of participants infected with influenza B. The time from onset to the appearance of neurological symptoms was 3 days, of which perceptual changes (93.8%), hypertonia (75%), and seizures (43.8%) were prevalent neurological symptoms. The majority of cases had normal cerebrospinal fluid. Cranial CT/MRI imaging revealed abnormalities in 87.5% of patients. 56.3% of patients had sequelae, including epilepsy and cerebral palsy; 25% recovered, and 18.8% died after treatment. <i>Conclusions</i>. Influenza-associated encephalitis/encephalopathy is a complication occurring early in children, with high mortality and sequelae rates.</p>","PeriodicalId":12576,"journal":{"name":"Global Pediatric Health","volume":"11 ","pages":"2333794X241286549"},"PeriodicalIF":1.4000,"publicationDate":"2024-10-11","publicationTypes":"Journal Article","fieldsOfStudy":null,"isOpenAccess":false,"openAccessPdf":"https://www.ncbi.nlm.nih.gov/pmc/articles/PMC11483840/pdf/","citationCount":"0","resultStr":null,"platform":"Semanticscholar","paperid":null,"PeriodicalName":"Global Pediatric Health","FirstCategoryId":"1085","ListUrlMain":"https://doi.org/10.1177/2333794X241286549","RegionNum":0,"RegionCategory":null,"ArticlePicture":[],"TitleCN":null,"AbstractTextCN":null,"PMCID":null,"EPubDate":"2024/1/1 0:00:00","PubModel":"eCollection","JCR":"Q3","JCRName":"PEDIATRICS","Score":null,"Total":0}
引用次数: 0

Abstract

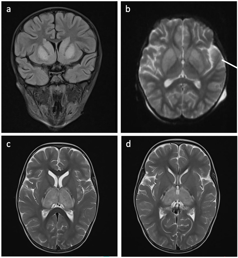
Objectives. This study aims to report clinical features and treatment outcomes of 16 cases diagnosed with post-influenza encephalopathy/encephalitis. Methods. We recorded clinical characteristics of 16 pediatric patients diagnosed with post-influenza encephalopathy/encephalitis at the Vietnam National Children's Hospital from January 2019 to January 2021. Results. There were 87.5% infected with influenza A, with influenza A/H1pdm09 and influenza A/H3 accounting for 88.9% and 11.1% respectively, and 12.5% of participants infected with influenza B. The time from onset to the appearance of neurological symptoms was 3 days, of which perceptual changes (93.8%), hypertonia (75%), and seizures (43.8%) were prevalent neurological symptoms. The majority of cases had normal cerebrospinal fluid. Cranial CT/MRI imaging revealed abnormalities in 87.5% of patients. 56.3% of patients had sequelae, including epilepsy and cerebral palsy; 25% recovered, and 18.8% died after treatment. Conclusions. Influenza-associated encephalitis/encephalopathy is a complication occurring early in children, with high mortality and sequelae rates.

Abstract Image

Abstract Image

Abstract Image

流感相关脑炎和脑病的临床特征和治疗结果:对越南 16 名儿童的研究。
研究目的本研究旨在报告 16 例流感后脑病/脑炎患者的临床特征和治疗结果。方法我们记录了2019年1月至2021年1月期间在越南国家儿童医院确诊的16例流感后脑病/脑炎儿科患者的临床特征。结果。从发病到出现神经系统症状的时间为3天,其中感知改变(93.8%)、张力亢进(75%)和癫痫发作(43.8%)是主要的神经系统症状。大多数病例的脑脊液正常。87.5%的患者头颅CT/MRI成像显示异常。56.3%的患者有后遗症,包括癫痫和脑瘫;25%的患者痊愈,18.8%的患者在治疗后死亡。结论流感相关脑炎/脑病是儿童早期出现的一种并发症,死亡率和后遗症率都很高。
本文章由计算机程序翻译,如有差异,请以英文原文为准。
求助全文
约1分钟内获得全文 求助全文
来源期刊
Global Pediatric Health
Global Pediatric Health Nursing-Pediatrics
CiteScore
2.20
自引率
0.00%
发文量
105
审稿时长
12 weeks
×
引用
GB/T 7714-2015
复制
MLA
复制
APA
复制
导出至
BibTeX EndNote RefMan NoteFirst NoteExpress
×
提示
您的信息不完整,为了账户安全,请先补充。
现在去补充
×
提示
您因"违规操作"
具体请查看互助需知
我知道了
×
提示
确定
请完成安全验证×
copy
已复制链接
快去分享给好友吧!
我知道了
右上角分享
点击右上角分享
0
联系我们:info@booksci.cn Book学术提供免费学术资源搜索服务,方便国内外学者检索中英文文献。致力于提供最便捷和优质的服务体验。 Copyright © 2023 布克学术 All rights reserved.
京ICP备2023020795号-1
ghs 京公网安备 11010802042870号
Book学术文献互助
Book学术文献互助群
群 号:604180095
Book学术官方微信