Multiple gouty tophi in a six-year-old.

Imri G Adefokun, Gbemi H Ano-Edward, Stephen A Adesina, Peter K Uduagbamen, Samuel U Eyesan
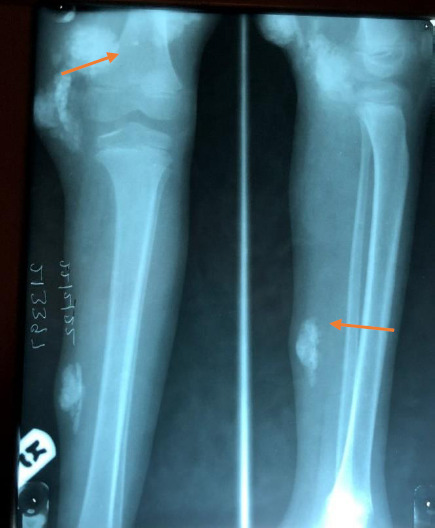
{"title":"Multiple gouty tophi in a six-year-old.","authors":"Imri G Adefokun, Gbemi H Ano-Edward, Stephen A Adesina, Peter K Uduagbamen, Samuel U Eyesan","doi":"10.4314/gmj.v58i3.10","DOIUrl":null,"url":null,"abstract":"<p><strong>Introduction: </strong>Gouty tophus in a child is an extremely rare presentation. Only very few cases have been documented in literature in contemporary times.</p><p><strong>Case presentation: </strong>We present this index case of a 6-year-old child who was brought to the clinic by her parents on account of multiple subcutaneous swelling of two years' duration on her lower limbs before she presented at our outpatient clinic. The swellings started from the knee joints and were associated with difficulty in walking. A provisional diagnosis of multiple soft tissue swelling was made before some of the swellings were excised. An excisional biopsy of some of the masses on the lower extremities was done, and histological examination revealed gouty tophus. She was then placed on oral febuxostat. Her clinical condition has improved significantly; she is on continuous follow-up at our facility's paediatric orthopaedic outpatient clinic. Hitherto, gouty tophus has been recorded in juveniles and young adults, but it may present in any child below the age of five years.</p><p><strong>Conclusion: </strong>A high index of suspicion is needed in managing subcutaneous swellings in the paediatric age group (particularly pre-school) to identify and manage gouty tophus early enough to minimise its complications.</p><p><strong>Funding: </strong>None declared.</p>","PeriodicalId":94319,"journal":{"name":"Ghana medical journal","volume":"58 3","pages":"245-248"},"PeriodicalIF":0.0000,"publicationDate":"2024-09-01","publicationTypes":"Journal Article","fieldsOfStudy":null,"isOpenAccess":false,"openAccessPdf":"https://www.ncbi.nlm.nih.gov/pmc/articles/PMC11465722/pdf/","citationCount":"0","resultStr":null,"platform":"Semanticscholar","paperid":null,"PeriodicalName":"Ghana medical journal","FirstCategoryId":"1085","ListUrlMain":"https://doi.org/10.4314/gmj.v58i3.10","RegionNum":0,"RegionCategory":null,"ArticlePicture":[],"TitleCN":null,"AbstractTextCN":null,"PMCID":null,"EPubDate":"","PubModel":"","JCR":"","JCRName":"","Score":null,"Total":0}
引用次数: 0

Abstract

Introduction: Gouty tophus in a child is an extremely rare presentation. Only very few cases have been documented in literature in contemporary times.

Case presentation: We present this index case of a 6-year-old child who was brought to the clinic by her parents on account of multiple subcutaneous swelling of two years' duration on her lower limbs before she presented at our outpatient clinic. The swellings started from the knee joints and were associated with difficulty in walking. A provisional diagnosis of multiple soft tissue swelling was made before some of the swellings were excised. An excisional biopsy of some of the masses on the lower extremities was done, and histological examination revealed gouty tophus. She was then placed on oral febuxostat. Her clinical condition has improved significantly; she is on continuous follow-up at our facility's paediatric orthopaedic outpatient clinic. Hitherto, gouty tophus has been recorded in juveniles and young adults, but it may present in any child below the age of five years.

Conclusion: A high index of suspicion is needed in managing subcutaneous swellings in the paediatric age group (particularly pre-school) to identify and manage gouty tophus early enough to minimise its complications.

Funding: None declared.

Abstract Image

Abstract Image

Abstract Image

一名六岁儿童身上的多发性痛风性结节。
导言儿童痛风性苔藓是一种极为罕见的病症。当代只有极少数病例见诸文献:本例病例是一名 6 岁儿童,因下肢多处皮下肿胀,病程长达两年,由父母带至我院门诊就诊。肿胀从膝关节开始,并伴有行走困难。在对部分肿物进行切除前,初步诊断为多发性软组织肿胀。对下肢的一些肿块进行了切除活检,组织学检查显示为痛风性妥布病。随后,她开始口服非布司他。她的临床状况已明显好转,目前正在本机构的儿科骨科门诊接受持续随访。迄今为止,痛风性妥布病主要发生在青少年和年轻成年人身上,但它也可能发生在任何五岁以下的儿童身上:结论:在处理儿科年龄组(尤其是学龄前儿童)的皮下肿胀时需要高度怀疑,以便及早发现和处理痛风性头痛,将其并发症降至最低:无声明。
本文章由计算机程序翻译,如有差异,请以英文原文为准。
求助全文
约1分钟内获得全文 求助全文
来源期刊
CiteScore
1.10
自引率
0.00%
发文量
0
×
引用
GB/T 7714-2015
复制
MLA
复制
APA
复制
导出至
BibTeX EndNote RefMan NoteFirst NoteExpress
×
提示
您的信息不完整,为了账户安全,请先补充。
现在去补充
×
提示
您因"违规操作"
具体请查看互助需知
我知道了
×
提示
确定
请完成安全验证×
copy
已复制链接
快去分享给好友吧!
我知道了
右上角分享
点击右上角分享
0
联系我们:info@booksci.cn Book学术提供免费学术资源搜索服务,方便国内外学者检索中英文文献。致力于提供最便捷和优质的服务体验。 Copyright © 2023 布克学术 All rights reserved.
京ICP备2023020795号-1
ghs 京公网安备 11010802042870号
Book学术文献互助
Book学术文献互助群
群 号:604180095
Book学术官方微信