Thyrotroph Hyperplasia Caused by Severe Primary Hypothyroidism Leading to Adrenal Crisis.

JCEM case reports Pub Date : 2024-10-16 eCollection Date: 2024-10-01 DOI:10.1210/jcemcr/luae187
Yasser Hakami, Abdulaziz AlJaman
{"title":"Thyrotroph Hyperplasia Caused by Severe Primary Hypothyroidism Leading to Adrenal Crisis.","authors":"Yasser Hakami, Abdulaziz AlJaman","doi":"10.1210/jcemcr/luae187","DOIUrl":null,"url":null,"abstract":"<p><p>Thyrotroph hyperplasia is commonly present but remains largely undiagnosed in primary hypothyroidism. It is easily reversible with thyroid replacement therapy. If imaging is performed prior to biochemical evaluation, then patients may undergo pituitary surgery unnecessarily. We present the case of a 30-year-old man with thyrotroph hyperplasia caused by profound primary hypothyroidism leading to hypopituitarism that resolved after levothyroxine replacement therapy. We will discuss the current literature regarding pituitary hyperplasia in primary hypothyroidism in adults.</p>","PeriodicalId":73540,"journal":{"name":"JCEM case reports","volume":"2 10","pages":"luae187"},"PeriodicalIF":0.0000,"publicationDate":"2024-10-16","publicationTypes":"Journal Article","fieldsOfStudy":null,"isOpenAccess":false,"openAccessPdf":"https://www.ncbi.nlm.nih.gov/pmc/articles/PMC11482001/pdf/","citationCount":"0","resultStr":null,"platform":"Semanticscholar","paperid":null,"PeriodicalName":"JCEM case reports","FirstCategoryId":"1085","ListUrlMain":"https://doi.org/10.1210/jcemcr/luae187","RegionNum":0,"RegionCategory":null,"ArticlePicture":[],"TitleCN":null,"AbstractTextCN":null,"PMCID":null,"EPubDate":"2024/10/1 0:00:00","PubModel":"eCollection","JCR":"","JCRName":"","Score":null,"Total":0}
引用次数: 0

Abstract

Thyrotroph hyperplasia is commonly present but remains largely undiagnosed in primary hypothyroidism. It is easily reversible with thyroid replacement therapy. If imaging is performed prior to biochemical evaluation, then patients may undergo pituitary surgery unnecessarily. We present the case of a 30-year-old man with thyrotroph hyperplasia caused by profound primary hypothyroidism leading to hypopituitarism that resolved after levothyroxine replacement therapy. We will discuss the current literature regarding pituitary hyperplasia in primary hypothyroidism in adults.

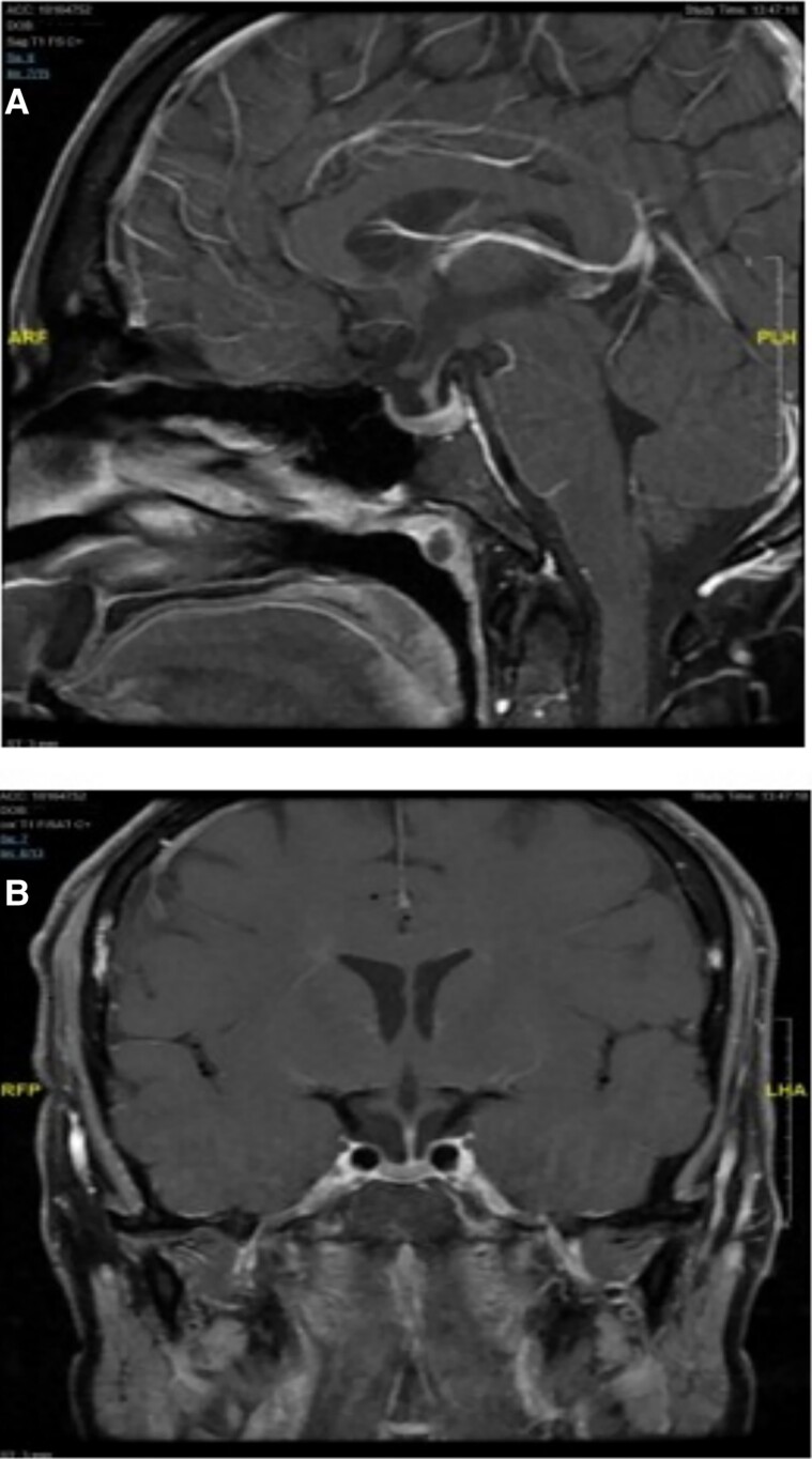
Abstract Image

Abstract Image

由严重原发性甲状腺功能减退症引起的甲状腺增生症导致肾上腺危机
甲状腺增生症在原发性甲状腺功能减退症中很常见,但大多未被诊断出来。它很容易通过甲状腺替代疗法逆转。如果在生化评估前进行影像学检查,患者可能会不必要地接受垂体手术。我们介绍了一名30岁男性患者的病例,该患者因原发性甲状腺功能极度减退而导致甲状腺组织增生,并在接受左甲状腺素替代治疗后出现垂体功能减退。我们将讨论有关成人原发性甲状腺功能减退症垂体增生的现有文献。
本文章由计算机程序翻译,如有差异,请以英文原文为准。
求助全文
约1分钟内获得全文 求助全文
来源期刊
自引率
0.00%
发文量
0
×
引用
GB/T 7714-2015
复制
MLA
复制
APA
复制
导出至
BibTeX EndNote RefMan NoteFirst NoteExpress
×
提示
您的信息不完整,为了账户安全,请先补充。
现在去补充
×
提示
您因"违规操作"
具体请查看互助需知
我知道了
×
提示
确定
请完成安全验证×
copy
已复制链接
快去分享给好友吧!
我知道了
右上角分享
点击右上角分享
0
联系我们:info@booksci.cn Book学术提供免费学术资源搜索服务,方便国内外学者检索中英文文献。致力于提供最便捷和优质的服务体验。 Copyright © 2023 布克学术 All rights reserved.
京ICP备2023020795号-1
ghs 京公网安备 11010802042870号
Book学术文献互助
Book学术文献互助群
群 号:604180095
Book学术官方微信