Burosumab, a Transformational Treatment in a Pediatric Patient With Cutaneous-Skeletal Hypophosphatemia Syndrome.

JCEM case reports Pub Date : 2024-10-16 eCollection Date: 2024-10-01 DOI:10.1210/jcemcr/luae184
Paulo Cesar Alves da Silva, Vinicius Rene Giombelli, Fernando Henrique Galvão Tessaro
{"title":"Burosumab, a Transformational Treatment in a Pediatric Patient With Cutaneous-Skeletal Hypophosphatemia Syndrome.","authors":"Paulo Cesar Alves da Silva, Vinicius Rene Giombelli, Fernando Henrique Galvão Tessaro","doi":"10.1210/jcemcr/luae184","DOIUrl":null,"url":null,"abstract":"<p><p>Cutaneous-skeletal hypophosphatemia syndrome (CSHS) is a rare disorder characterized by the presence of melanocytic nevi, dysplastic cortical bony lesions, and fibroblast growth factor 23 (FGF23)-mediated hypophosphatemic rickets. Herein, we describe the diagnosis of an 8-year-old girl presenting with short stature, reduced lower limb mobility, and abnormal gait due to muscle weakness and constant pain in the legs. Biochemical parameters demonstrated hypophosphatemia, hyperphosphaturia, slight increase in parathyroid hormone (PTH), high levels of alkaline phosphatase, and elevated FGF23. Burosumab improved phosphate-wasting, serum phosphorus, alkaline phosphatase, and PTH, followed by a significant mineralization in vertebral bodies evidenced by radiographic assessment. Our report shows a long-term follow-up of CSHS with a notable improvement promoted by an anti-FGF23 therapy.</p>","PeriodicalId":73540,"journal":{"name":"JCEM case reports","volume":"2 10","pages":"luae184"},"PeriodicalIF":0.0000,"publicationDate":"2024-10-16","publicationTypes":"Journal Article","fieldsOfStudy":null,"isOpenAccess":false,"openAccessPdf":"https://www.ncbi.nlm.nih.gov/pmc/articles/PMC11482011/pdf/","citationCount":"0","resultStr":null,"platform":"Semanticscholar","paperid":null,"PeriodicalName":"JCEM case reports","FirstCategoryId":"1085","ListUrlMain":"https://doi.org/10.1210/jcemcr/luae184","RegionNum":0,"RegionCategory":null,"ArticlePicture":[],"TitleCN":null,"AbstractTextCN":null,"PMCID":null,"EPubDate":"2024/10/1 0:00:00","PubModel":"eCollection","JCR":"","JCRName":"","Score":null,"Total":0}
引用次数: 0

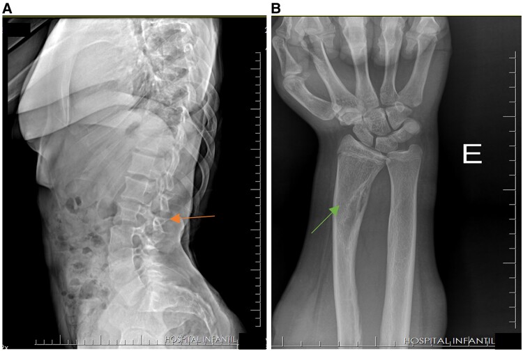
Abstract

Cutaneous-skeletal hypophosphatemia syndrome (CSHS) is a rare disorder characterized by the presence of melanocytic nevi, dysplastic cortical bony lesions, and fibroblast growth factor 23 (FGF23)-mediated hypophosphatemic rickets. Herein, we describe the diagnosis of an 8-year-old girl presenting with short stature, reduced lower limb mobility, and abnormal gait due to muscle weakness and constant pain in the legs. Biochemical parameters demonstrated hypophosphatemia, hyperphosphaturia, slight increase in parathyroid hormone (PTH), high levels of alkaline phosphatase, and elevated FGF23. Burosumab improved phosphate-wasting, serum phosphorus, alkaline phosphatase, and PTH, followed by a significant mineralization in vertebral bodies evidenced by radiographic assessment. Our report shows a long-term follow-up of CSHS with a notable improvement promoted by an anti-FGF23 therapy.

Abstract Image

Abstract Image

Abstract Image

皮肤-骨骼低磷血症综合征儿科患者的变革性治疗方法--布罗苏单抗。
皮肤骨骼低磷血症综合征(CSHS)是一种罕见的疾病,其特征是存在黑色素细胞痣、骨皮质发育不良病变和成纤维细胞生长因子 23(FGF23)介导的低磷血症性佝偻病。在此,我们描述了一名 8 岁女孩的诊断结果,该女孩表现为身材矮小、下肢活动能力减弱以及因肌肉无力和腿部持续疼痛导致的步态异常。生化指标显示她患有低磷血症、高磷酸盐血症、甲状旁腺激素(PTH)轻微升高、碱性磷酸酶水平较高以及 FGF23 升高。布罗苏单抗改善了磷酸盐消耗、血清磷、碱性磷酸酶和 PTH,随后放射学评估显示椎体矿化明显。我们的报告显示,对 CSHS 的长期随访显示,抗 FGF23 治疗促进了病情的显著改善。
本文章由计算机程序翻译,如有差异,请以英文原文为准。
求助全文
约1分钟内获得全文 求助全文
来源期刊
自引率
0.00%
发文量
0
×
引用
GB/T 7714-2015
复制
MLA
复制
APA
复制
导出至
BibTeX EndNote RefMan NoteFirst NoteExpress
×
提示
您的信息不完整,为了账户安全,请先补充。
现在去补充
×
提示
您因"违规操作"
具体请查看互助需知
我知道了
×
提示
确定
请完成安全验证×
copy
已复制链接
快去分享给好友吧!
我知道了
右上角分享
点击右上角分享
0
联系我们:info@booksci.cn Book学术提供免费学术资源搜索服务,方便国内外学者检索中英文文献。致力于提供最便捷和优质的服务体验。 Copyright © 2023 布克学术 All rights reserved.
京ICP备2023020795号-1
ghs 京公网安备 11010802042870号
Book学术文献互助
Book学术文献互助群
群 号:604180095
Book学术官方微信