[Hypertrophic cardiomyopathy with mid-ventricular phenotype and filamin C mutation, an uncommon case report].

Juan D Orozco Burbano, Carlos H Palacios, Clara I Saldarriaga Giraldo, Luisa F Durango Gutiérrez, Juan C Rendón Isaza
{"title":"[Hypertrophic cardiomyopathy with mid-ventricular phenotype and filamin C mutation, an uncommon case report].","authors":"Juan D Orozco Burbano, Carlos H Palacios, Clara I Saldarriaga Giraldo, Luisa F Durango Gutiérrez, Juan C Rendón Isaza","doi":"10.47487/apcyccv.v5i3.379","DOIUrl":null,"url":null,"abstract":"<p><p>Hypertrophic cardiomyopathy has a different presentation spectrum, including left ventricular outflow tract obstruction. The most common phenotype is the asymmetric septal variant, with the mid-apical variant being rare. On the other hand, there are specific mutations associated with hypertrophic cardiomyopathy, with the Filamin C variant being an unusual condition in these patients. Therefore, we present the case of a 23-year-old male patient with a diagnosis of hypertrophic cardiomyopathy in whom a Filamin C variant was documented. Given the inadequate response and persistence of symptoms to medical management, a myectomy procedure was performed with a transapical approach, with subsequent improvement in clinical symptoms and outflow tract obstruction. This case illustrates a rare variant with a surgical approach different from the conventional transaortic approach, with marked improvement in symptoms.</p>","PeriodicalId":72295,"journal":{"name":"Archivos Peruanos de cardiologia y cirugia cardiovascular","volume":"5 3","pages":"167-170"},"PeriodicalIF":0.0000,"publicationDate":"2024-09-29","publicationTypes":"Journal Article","fieldsOfStudy":null,"isOpenAccess":false,"openAccessPdf":"https://www.ncbi.nlm.nih.gov/pmc/articles/PMC11473073/pdf/","citationCount":"0","resultStr":null,"platform":"Semanticscholar","paperid":null,"PeriodicalName":"Archivos Peruanos de cardiologia y cirugia cardiovascular","FirstCategoryId":"1085","ListUrlMain":"https://doi.org/10.47487/apcyccv.v5i3.379","RegionNum":0,"RegionCategory":null,"ArticlePicture":[],"TitleCN":null,"AbstractTextCN":null,"PMCID":null,"EPubDate":"2024/7/1 0:00:00","PubModel":"eCollection","JCR":"","JCRName":"","Score":null,"Total":0}
引用次数: 0

Abstract

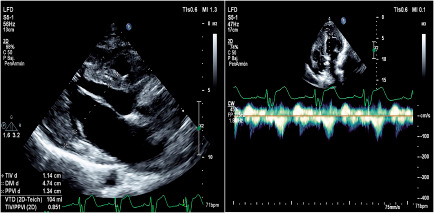
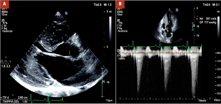
Hypertrophic cardiomyopathy has a different presentation spectrum, including left ventricular outflow tract obstruction. The most common phenotype is the asymmetric septal variant, with the mid-apical variant being rare. On the other hand, there are specific mutations associated with hypertrophic cardiomyopathy, with the Filamin C variant being an unusual condition in these patients. Therefore, we present the case of a 23-year-old male patient with a diagnosis of hypertrophic cardiomyopathy in whom a Filamin C variant was documented. Given the inadequate response and persistence of symptoms to medical management, a myectomy procedure was performed with a transapical approach, with subsequent improvement in clinical symptoms and outflow tract obstruction. This case illustrates a rare variant with a surgical approach different from the conventional transaortic approach, with marked improvement in symptoms.

Abstract Image

Abstract Image

[肥厚型心肌病伴中心室表型和丝胺 C 基因突变,一个不常见的病例报告]。
肥厚型心肌病有不同的表现谱,包括左心室流出道梗阻。最常见的表型是非对称性室间隔变异型,而中心尖变异型则很少见。另一方面,肥厚型心肌病有一些特殊的突变,其中 Filamin C 变异在这些患者中并不常见。因此,我们介绍了一名 23 岁男性肥厚型心肌病患者的病例。由于对药物治疗反应不佳且症状持续存在,患者接受了经心尖切口的髓质切除术,随后临床症状和流出道梗阻得到改善。该病例说明了一种罕见的变异型,其手术方法不同于传统的经主动脉方法,症状明显改善。
本文章由计算机程序翻译,如有差异,请以英文原文为准。
求助全文
约1分钟内获得全文 求助全文
来源期刊
CiteScore
0.40
自引率
0.00%
发文量
0
审稿时长
4 weeks
×
引用
GB/T 7714-2015
复制
MLA
复制
APA
复制
导出至
BibTeX EndNote RefMan NoteFirst NoteExpress
×
提示
您的信息不完整,为了账户安全,请先补充。
现在去补充
×
提示
您因"违规操作"
具体请查看互助需知
我知道了
×
提示
确定
请完成安全验证×
copy
已复制链接
快去分享给好友吧!
我知道了
右上角分享
点击右上角分享
0
联系我们:info@booksci.cn Book学术提供免费学术资源搜索服务,方便国内外学者检索中英文文献。致力于提供最便捷和优质的服务体验。 Copyright © 2023 布克学术 All rights reserved.
京ICP备2023020795号-1
ghs 京公网安备 11010802042870号
Book学术文献互助
Book学术文献互助群
群 号:604180095
Book学术官方微信