Allograft-prosthesis composite after proximal femur bone tumor resection in pediatric age: Is it effective in preserving bone stock?

IF 1.6 4区 医学 Q3 ORTHOPEDICS
Journal of Childrens Orthopaedics Pub Date : 2024-09-17 eCollection Date: 2024-10-01 DOI:10.1177/18632521241269338
Domenico Andrea Campanacci, Roberto Scanferla, Francesco Muratori, Federico Scolari, Guido Scoccianti, Angela Tamburini, Giovanni Beltrami
{"title":"Allograft-prosthesis composite after proximal femur bone tumor resection in pediatric age: Is it effective in preserving bone stock?","authors":"Domenico Andrea Campanacci, Roberto Scanferla, Francesco Muratori, Federico Scolari, Guido Scoccianti, Angela Tamburini, Giovanni Beltrami","doi":"10.1177/18632521241269338","DOIUrl":null,"url":null,"abstract":"<p><strong>Purpose: </strong>The purpose of the study was to answer the following questions. What was functional results of pediatric patients receiving a short stem allograft-prosthesis composite of the proximal femur? What was complication rate and revision-free implant survival? Was it possible to preserve the bone stock of the proximal femur in pediatric patients?</p><p><strong>Methods: </strong>We reviewed 10 pediatric patients treated with proximal femur resection for a primary bone tumor and reconstruction with short stem allograft-prosthesis composite, with at least 24 months follow-up. The median age was 9 years (4-13) at surgery. The mean resection length was 15 cm (6-29). In six cases, fixation was performed with a short plate positioned under the great trochanter while in four cases a long plate extended over the great trochanter was employed.</p><p><strong>Results: </strong>Nine complications that required surgical revision were assessed in six patients (one wound dehiscence, two nonunions, two fractures, one acetabular wear, three hypometria), while allograft-prosthesis composite removal was required in three patients. The revision-free survival was 57% (95% confidence interval 33%-100%) at 5 and 10 years. The graft removal-free survival was 75% (95% confidence interval 50%-100%) at 5 and 10 years. The mean Musculo-Skeletal Tumor Society Score was 28 (20-30).</p><p><strong>Conclusions: </strong>Allograft-prosthesis composites with short stem and compression plate represents an effective reconstructive option after proximal femur resection for primary bone tumors in growing patients, preserving bone stock. The use of a compression plate extended over the greater trochanter seemed to reduce failure rate.</p>","PeriodicalId":56060,"journal":{"name":"Journal of Childrens Orthopaedics","volume":"18 5","pages":"531-539"},"PeriodicalIF":1.6000,"publicationDate":"2024-09-17","publicationTypes":"Journal Article","fieldsOfStudy":null,"isOpenAccess":false,"openAccessPdf":"https://www.ncbi.nlm.nih.gov/pmc/articles/PMC11483815/pdf/","citationCount":"0","resultStr":null,"platform":"Semanticscholar","paperid":null,"PeriodicalName":"Journal of Childrens Orthopaedics","FirstCategoryId":"3","ListUrlMain":"https://doi.org/10.1177/18632521241269338","RegionNum":4,"RegionCategory":"医学","ArticlePicture":[],"TitleCN":null,"AbstractTextCN":null,"PMCID":null,"EPubDate":"2024/10/1 0:00:00","PubModel":"eCollection","JCR":"Q3","JCRName":"ORTHOPEDICS","Score":null,"Total":0}
引用次数: 0

Abstract

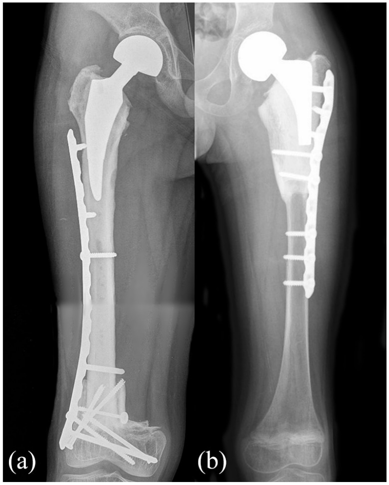
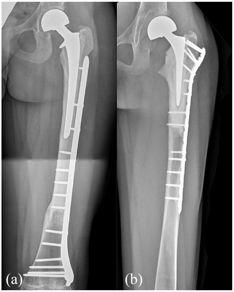
Purpose: The purpose of the study was to answer the following questions. What was functional results of pediatric patients receiving a short stem allograft-prosthesis composite of the proximal femur? What was complication rate and revision-free implant survival? Was it possible to preserve the bone stock of the proximal femur in pediatric patients?

Methods: We reviewed 10 pediatric patients treated with proximal femur resection for a primary bone tumor and reconstruction with short stem allograft-prosthesis composite, with at least 24 months follow-up. The median age was 9 years (4-13) at surgery. The mean resection length was 15 cm (6-29). In six cases, fixation was performed with a short plate positioned under the great trochanter while in four cases a long plate extended over the great trochanter was employed.

Results: Nine complications that required surgical revision were assessed in six patients (one wound dehiscence, two nonunions, two fractures, one acetabular wear, three hypometria), while allograft-prosthesis composite removal was required in three patients. The revision-free survival was 57% (95% confidence interval 33%-100%) at 5 and 10 years. The graft removal-free survival was 75% (95% confidence interval 50%-100%) at 5 and 10 years. The mean Musculo-Skeletal Tumor Society Score was 28 (20-30).

Conclusions: Allograft-prosthesis composites with short stem and compression plate represents an effective reconstructive option after proximal femur resection for primary bone tumors in growing patients, preserving bone stock. The use of a compression plate extended over the greater trochanter seemed to reduce failure rate.

Abstract Image

Abstract Image

Abstract Image

儿童股骨近端骨肿瘤切除术后的异体移植-假体复合技术:它能有效保留骨量吗?
目的:本研究旨在回答以下问题。接受股骨近端短柄异体移植物-假体复合体的儿童患者的功能效果如何?并发症发生率和植入物无翻修存活率如何?是否可以保留儿童患者股骨近端的骨量?我们回顾了10例因原发性骨肿瘤而接受股骨近端切除术并用短柄同种异体假体复合体进行重建的儿童患者,随访时间至少24个月。手术时的中位年龄为 9 岁(4-13 岁)。平均切除长度为 15 厘米(6-29 厘米)。在六个病例中,使用了位于大转子下方的短钢板进行固定,而在四个病例中则使用了延伸至大转子上方的长钢板:结果:经评估,6例患者出现了9种需要手术翻修的并发症(1例伤口裂开、2例不愈合、2例骨折、1例髋臼磨损、3例髋臼厚度不足),3例患者需要移除异体移植物-假体复合体。5年和10年的无翻修存活率为57%(95%置信区间为33%-100%)。5年和10年的无移植物存活率为75%(95%置信区间为50%-100%)。肌肉骨骼肿瘤协会平均评分为28分(20-30分):结论:对于生长期患者,在原发性骨肿瘤股骨近端切除术后,同种异体移植物-假体复合体与短骨干和加压钢板是一种有效的重建选择,可保留骨量。使用延伸至股骨大转子的加压板似乎能降低失败率。
本文章由计算机程序翻译,如有差异,请以英文原文为准。
求助全文
约1分钟内获得全文 求助全文
来源期刊
Journal of Childrens Orthopaedics
Journal of Childrens Orthopaedics Medicine-Orthopedics and Sports Medicine
CiteScore
2.70
自引率
14.30%
发文量
61
审稿时长
23 weeks
期刊介绍: Aims & Scope The Journal of Children’s Orthopaedics is the official journal of the European Paediatric Orthopaedic Society (EPOS) and is published by The British Editorial Society of Bone & Joint Surgery. It provides a forum for the advancement of the knowledge and education in paediatric orthopaedics and traumatology across geographical borders. It advocates an increased worldwide involvement in preventing and treating musculoskeletal diseases in children and adolescents. The journal publishes high quality, peer-reviewed articles that focus on clinical practice, diagnosis and treatment of disorders unique to paediatric orthopaedics, as well as on basic and applied research. It aims to help physicians stay abreast of the latest and ever-changing developments in the field of paediatric orthopaedics and traumatology. The journal welcomes original contributions submitted exclusively for review to the journal. This continuously published online journal is fully open access and will publish one print issue each year to coincide with the EPOS Annual Congress, featuring the meeting’s abstracts.
×
引用
GB/T 7714-2015
复制
MLA
复制
APA
复制
导出至
BibTeX EndNote RefMan NoteFirst NoteExpress
×
提示
您的信息不完整,为了账户安全,请先补充。
现在去补充
×
提示
您因"违规操作"
具体请查看互助需知
我知道了
×
提示
确定
请完成安全验证×
copy
已复制链接
快去分享给好友吧!
我知道了
右上角分享
点击右上角分享
0
联系我们:info@booksci.cn Book学术提供免费学术资源搜索服务,方便国内外学者检索中英文文献。致力于提供最便捷和优质的服务体验。 Copyright © 2023 布克学术 All rights reserved.
京ICP备2023020795号-1
ghs 京公网安备 11010802042870号
Book学术文献互助
Book学术文献互助群
群 号:604180095
Book学术官方微信