Comparison of Clinical Diagnosis and Autopsy Findings of Early Neonatal Deaths: Diagnostic Challenges and the Value of Autopsy in Identifying Rare Pathologies.

IF 1.3 4区 医学 Q3 PATHOLOGY
Pediatric and Developmental Pathology Pub Date : 2025-01-01 Epub Date: 2024-10-11 DOI:10.1177/10935266241288869
Jan-Theile Suhren, Kais Hussein, Hans Kreipe, Nora Schaumann
{"title":"Comparison of Clinical Diagnosis and Autopsy Findings of Early Neonatal Deaths: Diagnostic Challenges and the Value of Autopsy in Identifying Rare Pathologies.","authors":"Jan-Theile Suhren, Kais Hussein, Hans Kreipe, Nora Schaumann","doi":"10.1177/10935266241288869","DOIUrl":null,"url":null,"abstract":"<p><strong>Background: </strong>In a non-forensic hospital setting, neonatal death within the first week of life is often related to premature birth and/or lung diseases. Without post-mortem examination, the identification of the cause of death may be challenging. Autopsy can confirm the clinical diagnosis, uncover additional information or change the diagnosis. Our study aimed to assess the correlation between the clinical diagnosis and post-mortem findings in early neonatal deaths.</p><p><strong>Methods: </strong>The retrospective study included autopsy cases with neonatal deaths within the first 7 days of life (arbitrary time interval 2006-2021). Discrepancies between clinical and histopathological findings were classified into 3 groups: (i) full agreement, (ii) additional findings discovered by autopsy, or (iii) autopsy changed the diagnosis.</p><p><strong>Results: </strong>A cohort of 27 cases could be identified and lung pathologies were the most common finding (56%). Additional findings could be discovered in 48% of cases. Major discrepancies which changed the clinical diagnosis could be found in 11% (n = 3/27) of cases.</p><p><strong>Conclusion: </strong>Frequently, post-mortem examinations validate the clinical diagnosis while revealing crucial information in a few cases. In these discrepant cases, autopsy findings can provide information for genetic counselling and quality control of clinical management.</p>","PeriodicalId":54634,"journal":{"name":"Pediatric and Developmental Pathology","volume":" ","pages":"38-45"},"PeriodicalIF":1.3000,"publicationDate":"2025-01-01","publicationTypes":"Journal Article","fieldsOfStudy":null,"isOpenAccess":false,"openAccessPdf":"https://www.ncbi.nlm.nih.gov/pmc/articles/PMC11762263/pdf/","citationCount":"0","resultStr":null,"platform":"Semanticscholar","paperid":null,"PeriodicalName":"Pediatric and Developmental Pathology","FirstCategoryId":"3","ListUrlMain":"https://doi.org/10.1177/10935266241288869","RegionNum":4,"RegionCategory":"医学","ArticlePicture":[],"TitleCN":null,"AbstractTextCN":null,"PMCID":null,"EPubDate":"2024/10/11 0:00:00","PubModel":"Epub","JCR":"Q3","JCRName":"PATHOLOGY","Score":null,"Total":0}
引用次数: 0

Abstract

Background: In a non-forensic hospital setting, neonatal death within the first week of life is often related to premature birth and/or lung diseases. Without post-mortem examination, the identification of the cause of death may be challenging. Autopsy can confirm the clinical diagnosis, uncover additional information or change the diagnosis. Our study aimed to assess the correlation between the clinical diagnosis and post-mortem findings in early neonatal deaths.

Methods: The retrospective study included autopsy cases with neonatal deaths within the first 7 days of life (arbitrary time interval 2006-2021). Discrepancies between clinical and histopathological findings were classified into 3 groups: (i) full agreement, (ii) additional findings discovered by autopsy, or (iii) autopsy changed the diagnosis.

Results: A cohort of 27 cases could be identified and lung pathologies were the most common finding (56%). Additional findings could be discovered in 48% of cases. Major discrepancies which changed the clinical diagnosis could be found in 11% (n = 3/27) of cases.

Conclusion: Frequently, post-mortem examinations validate the clinical diagnosis while revealing crucial information in a few cases. In these discrepant cases, autopsy findings can provide information for genetic counselling and quality control of clinical management.

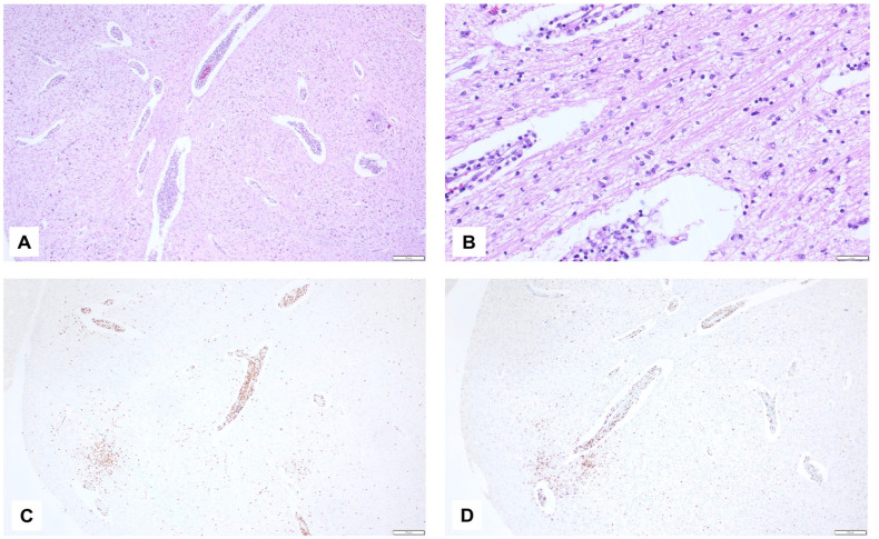
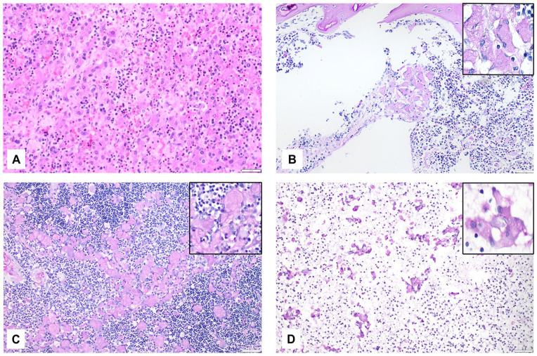
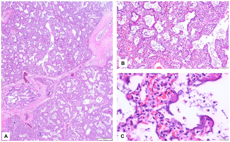
Abstract Image

Abstract Image

Abstract Image

新生儿早期死亡的临床诊断与尸检结果比较:诊断挑战与尸检在鉴别罕见病症方面的价值。
背景:在非法医医院环境中,新生儿在出生后一周内死亡通常与早产和/或肺部疾病有关。在没有尸检的情况下,确定死因可能具有挑战性。尸检可以确认临床诊断、发现更多信息或改变诊断。我们的研究旨在评估新生儿早期死亡临床诊断与尸检结果之间的相关性:这项回顾性研究纳入了出生后 7 天内死亡的新生儿尸检病例(任意时间间隔为 2006-2021 年)。临床和组织病理学结果之间的差异分为三类:(i) 完全一致,(ii) 尸检发现额外结果,或 (iii) 尸检改变了诊断:结果:共确定了 27 个病例,肺部病变是最常见的发现(56%)。48%的病例发现了其他病变。11%的病例(n = 3/27)发现了改变临床诊断的重大差异:结论:尸检通常在验证临床诊断的同时,也会在少数病例中发现关键信息。在这些不一致的病例中,尸检结果可为遗传咨询和临床管理的质量控制提供信息。
本文章由计算机程序翻译,如有差异,请以英文原文为准。
求助全文
约1分钟内获得全文 求助全文
来源期刊
CiteScore
3.70
自引率
5.30%
发文量
59
审稿时长
6-12 weeks
期刊介绍: The Journal covers the spectrum of disorders of early development (including embryology, placentology, and teratology), gestational and perinatal diseases, and all diseases of childhood. Studies may be in any field of experimental, anatomic, or clinical pathology, including molecular pathology. Case reports are published only if they provide new insights into disease mechanisms or new information.
×
引用
GB/T 7714-2015
复制
MLA
复制
APA
复制
导出至
BibTeX EndNote RefMan NoteFirst NoteExpress
×
提示
您的信息不完整,为了账户安全,请先补充。
现在去补充
×
提示
您因"违规操作"
具体请查看互助需知
我知道了
×
提示
确定
请完成安全验证×
copy
已复制链接
快去分享给好友吧!
我知道了
右上角分享
点击右上角分享
0
联系我们:info@booksci.cn Book学术提供免费学术资源搜索服务,方便国内外学者检索中英文文献。致力于提供最便捷和优质的服务体验。 Copyright © 2023 布克学术 All rights reserved.
京ICP备2023020795号-1
ghs 京公网安备 11010802042870号
Book学术文献互助
Book学术文献互助群
群 号:604180095
Book学术官方微信