Long-Term Follow-Up of a Child with EWSR1-BEND2 Fused Spinal Astroblastoma.

IF 1.3 4区 医学 Q4 CLINICAL NEUROLOGY
Pediatric Neurosurgery Pub Date : 2024-01-01 Epub Date: 2024-10-18 DOI:10.1159/000542050
Isabel Fernandes Arroteia, Maria Licci, Jürgen Hench, Andrea Bartoli, Marc Ansari, Pavlo Plavsky, Axel Terrier, Andre Oscar von Bueren, Stephan Frank, Jehuda Soleman, Raphael Guzman
{"title":"Long-Term Follow-Up of a Child with EWSR1-BEND2 Fused Spinal Astroblastoma.","authors":"Isabel Fernandes Arroteia, Maria Licci, Jürgen Hench, Andrea Bartoli, Marc Ansari, Pavlo Plavsky, Axel Terrier, Andre Oscar von Bueren, Stephan Frank, Jehuda Soleman, Raphael Guzman","doi":"10.1159/000542050","DOIUrl":null,"url":null,"abstract":"<p><strong>Introduction: </strong>Spinal astroblastoma is a rare highly malignant tumor that mainly affects children. We review the few cases described in the literature and highlight the challenges of managing this neoplasm by illustrating a case recently treated at our institutions. To our knowledge, this is the first published case of EWSR1-BEND2 fused spinal astroblastoma with long-term follow-up.</p><p><strong>Case presentation: </strong>An 8-year-old girl was transferred from her home country to Switzerland for treatment of a recurrent intramedullary tumor of the cervical spine extending from C2-C7. The tumor was primarily diagnosed as an ependymoma of the spinal cord. Prior to her transfer to our department, the patient had undergone subtotal resection of the lesion, radiation therapy, multiple chemotherapy regimens, and biopsy of the recurrent tumor. Clinically, the patient presented with tetraparesis and had recently experienced worsening upper extremity weakness with complete loss of hand function. We performed a near total resection of the recurrent tumor. Ultra-fast Nanopore seq® based DNA methylome profiling allowed confirmation of the molecular diagnosis of a high-grade neuroepithelial tumor (HGNET-MN1) consistent with astroblastoma in less than 2 h, with subsequent molecular workup revealing a EWSR1-BEND2 fusion. After surgery, the patient gradually regained function in her hands. She was sent to a specialized pediatric rehabilitation center, and while the tumor was being followed radiologically with no adjuvant treatment planned, the patient presented with a relapse of the tumor in only 3 months. Given the acute worsening of radiating pain and sudden respiratory failure, a cervical decompression was performed. MRI of the cervical spine showed infiltration of the lower aspects of the brainstem. The patient was offered palliative comfort care.</p><p><strong>Conclusion: </strong>Spinal astroblastoma is a rare and highly aggressive tumor affecting children and young adults with a high recurrence rate and thus far not well-defined prognosis. The molecular signature of astroblastoma needs to be further characterized to establish a treatment-relevant classification and to allow a better prognostication. Currently, gross-total resection combined with radiotherapy remains the mainstay of treatment for spinal astroblastoma.</p><p><strong>Introduction: </strong>Spinal astroblastoma is a rare highly malignant tumor that mainly affects children. We review the few cases described in the literature and highlight the challenges of managing this neoplasm by illustrating a case recently treated at our institutions. To our knowledge, this is the first published case of EWSR1-BEND2 fused spinal astroblastoma with long-term follow-up.</p><p><strong>Case presentation: </strong>An 8-year-old girl was transferred from her home country to Switzerland for treatment of a recurrent intramedullary tumor of the cervical spine extending from C2-C7. The tumor was primarily diagnosed as an ependymoma of the spinal cord. Prior to her transfer to our department, the patient had undergone subtotal resection of the lesion, radiation therapy, multiple chemotherapy regimens, and biopsy of the recurrent tumor. Clinically, the patient presented with tetraparesis and had recently experienced worsening upper extremity weakness with complete loss of hand function. We performed a near total resection of the recurrent tumor. Ultra-fast Nanopore seq® based DNA methylome profiling allowed confirmation of the molecular diagnosis of a high-grade neuroepithelial tumor (HGNET-MN1) consistent with astroblastoma in less than 2 h, with subsequent molecular workup revealing a EWSR1-BEND2 fusion. After surgery, the patient gradually regained function in her hands. She was sent to a specialized pediatric rehabilitation center, and while the tumor was being followed radiologically with no adjuvant treatment planned, the patient presented with a relapse of the tumor in only 3 months. Given the acute worsening of radiating pain and sudden respiratory failure, a cervical decompression was performed. MRI of the cervical spine showed infiltration of the lower aspects of the brainstem. The patient was offered palliative comfort care.</p><p><strong>Conclusion: </strong>Spinal astroblastoma is a rare and highly aggressive tumor affecting children and young adults with a high recurrence rate and thus far not well-defined prognosis. The molecular signature of astroblastoma needs to be further characterized to establish a treatment-relevant classification and to allow a better prognostication. Currently, gross-total resection combined with radiotherapy remains the mainstay of treatment for spinal astroblastoma.</p>","PeriodicalId":54631,"journal":{"name":"Pediatric Neurosurgery","volume":" ","pages":"202-209"},"PeriodicalIF":1.3000,"publicationDate":"2024-01-01","publicationTypes":"Journal Article","fieldsOfStudy":null,"isOpenAccess":false,"openAccessPdf":"https://www.ncbi.nlm.nih.gov/pmc/articles/PMC11825131/pdf/","citationCount":"0","resultStr":null,"platform":"Semanticscholar","paperid":null,"PeriodicalName":"Pediatric Neurosurgery","FirstCategoryId":"3","ListUrlMain":"https://doi.org/10.1159/000542050","RegionNum":4,"RegionCategory":"医学","ArticlePicture":[],"TitleCN":null,"AbstractTextCN":null,"PMCID":null,"EPubDate":"2024/10/18 0:00:00","PubModel":"Epub","JCR":"Q4","JCRName":"CLINICAL NEUROLOGY","Score":null,"Total":0}
引用次数: 0

Abstract

Introduction: Spinal astroblastoma is a rare highly malignant tumor that mainly affects children. We review the few cases described in the literature and highlight the challenges of managing this neoplasm by illustrating a case recently treated at our institutions. To our knowledge, this is the first published case of EWSR1-BEND2 fused spinal astroblastoma with long-term follow-up.

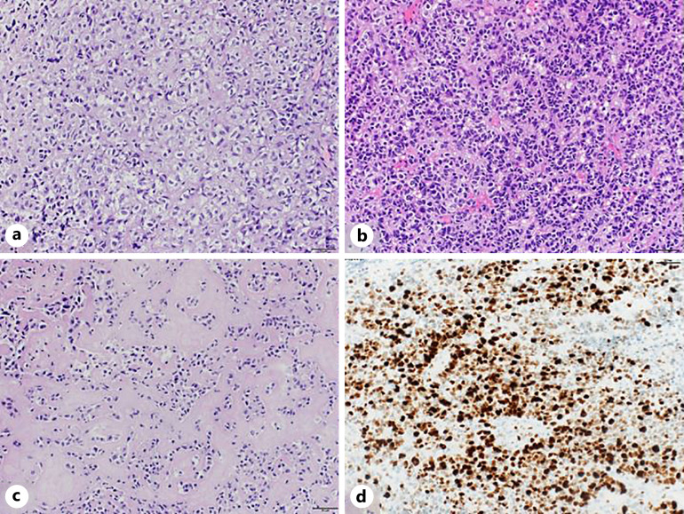
Case presentation: An 8-year-old girl was transferred from her home country to Switzerland for treatment of a recurrent intramedullary tumor of the cervical spine extending from C2-C7. The tumor was primarily diagnosed as an ependymoma of the spinal cord. Prior to her transfer to our department, the patient had undergone subtotal resection of the lesion, radiation therapy, multiple chemotherapy regimens, and biopsy of the recurrent tumor. Clinically, the patient presented with tetraparesis and had recently experienced worsening upper extremity weakness with complete loss of hand function. We performed a near total resection of the recurrent tumor. Ultra-fast Nanopore seq® based DNA methylome profiling allowed confirmation of the molecular diagnosis of a high-grade neuroepithelial tumor (HGNET-MN1) consistent with astroblastoma in less than 2 h, with subsequent molecular workup revealing a EWSR1-BEND2 fusion. After surgery, the patient gradually regained function in her hands. She was sent to a specialized pediatric rehabilitation center, and while the tumor was being followed radiologically with no adjuvant treatment planned, the patient presented with a relapse of the tumor in only 3 months. Given the acute worsening of radiating pain and sudden respiratory failure, a cervical decompression was performed. MRI of the cervical spine showed infiltration of the lower aspects of the brainstem. The patient was offered palliative comfort care.

Conclusion: Spinal astroblastoma is a rare and highly aggressive tumor affecting children and young adults with a high recurrence rate and thus far not well-defined prognosis. The molecular signature of astroblastoma needs to be further characterized to establish a treatment-relevant classification and to allow a better prognostication. Currently, gross-total resection combined with radiotherapy remains the mainstay of treatment for spinal astroblastoma.

Introduction: Spinal astroblastoma is a rare highly malignant tumor that mainly affects children. We review the few cases described in the literature and highlight the challenges of managing this neoplasm by illustrating a case recently treated at our institutions. To our knowledge, this is the first published case of EWSR1-BEND2 fused spinal astroblastoma with long-term follow-up.

Case presentation: An 8-year-old girl was transferred from her home country to Switzerland for treatment of a recurrent intramedullary tumor of the cervical spine extending from C2-C7. The tumor was primarily diagnosed as an ependymoma of the spinal cord. Prior to her transfer to our department, the patient had undergone subtotal resection of the lesion, radiation therapy, multiple chemotherapy regimens, and biopsy of the recurrent tumor. Clinically, the patient presented with tetraparesis and had recently experienced worsening upper extremity weakness with complete loss of hand function. We performed a near total resection of the recurrent tumor. Ultra-fast Nanopore seq® based DNA methylome profiling allowed confirmation of the molecular diagnosis of a high-grade neuroepithelial tumor (HGNET-MN1) consistent with astroblastoma in less than 2 h, with subsequent molecular workup revealing a EWSR1-BEND2 fusion. After surgery, the patient gradually regained function in her hands. She was sent to a specialized pediatric rehabilitation center, and while the tumor was being followed radiologically with no adjuvant treatment planned, the patient presented with a relapse of the tumor in only 3 months. Given the acute worsening of radiating pain and sudden respiratory failure, a cervical decompression was performed. MRI of the cervical spine showed infiltration of the lower aspects of the brainstem. The patient was offered palliative comfort care.

Conclusion: Spinal astroblastoma is a rare and highly aggressive tumor affecting children and young adults with a high recurrence rate and thus far not well-defined prognosis. The molecular signature of astroblastoma needs to be further characterized to establish a treatment-relevant classification and to allow a better prognostication. Currently, gross-total resection combined with radiotherapy remains the mainstay of treatment for spinal astroblastoma.

Abstract Image

Abstract Image

一名患有EWSR1-BEND2融合型脊柱星形母细胞瘤的儿童的长期随访。
简介脊柱星形母细胞瘤是一种罕见的高度恶性肿瘤,主要影响儿童。我们回顾了文献中描述的少数病例,并通过说明最近在我院治疗的一例病例,强调了治疗这种肿瘤所面临的挑战。据我们所知,这是第一例发表的EWSR1-BEND2融合型脊柱星形母细胞瘤病例,并进行了长期随访:病例介绍:一名 8 岁女孩因颈椎髓内肿瘤复发从本国转到瑞士治疗,肿瘤从 C2 延伸至 C7。该肿瘤主要被诊断为脊髓上皮瘤。在转到我科之前,患者已接受了病灶次全切除术、放射治疗、多种化疗方案和复发肿瘤活检。临床上,患者表现为四肢瘫痪,最近上肢无力症状加重,手部功能完全丧失。我们对复发肿瘤进行了近乎全切除的手术。基于超快速 Nanopore seq® 的 DNA 甲基组图谱分析在不到 2 小时的时间内确认了与星形母细胞瘤一致的高级别神经上皮性肿瘤(HGNET-MN1)的分子诊断,随后的分子检查发现了 EWSR1-BEND2 融合。术后,患者的手部功能逐渐恢复。她被送往一家专门的儿童康复中心,在对肿瘤进行放射学随访且未计划辅助治疗的情况下,仅 3 个月患者的肿瘤又复发了。鉴于放射痛和突然的呼吸衰竭急性恶化,医生为患者实施了颈椎减压术。颈椎核磁共振成像显示脑干下部有浸润。患者接受了姑息治疗:结论:脊柱星形母细胞瘤是一种罕见的侵袭性极强的肿瘤,多发于儿童和青少年,复发率高,预后至今尚未明确。星形母细胞瘤的分子特征需要进一步鉴定,以确定与治疗相关的分类,并更好地预测预后。目前,脊柱星形母细胞瘤的主要治疗方法仍然是大体全切除联合放疗。
本文章由计算机程序翻译,如有差异,请以英文原文为准。
求助全文
约1分钟内获得全文 求助全文
来源期刊
Pediatric Neurosurgery
Pediatric Neurosurgery 医学-临床神经学
CiteScore
1.30
自引率
0.00%
发文量
45
审稿时长
>12 weeks
期刊介绍: Articles in ''Pediatric Neurosurgery'' strives to publish new information and observations in pediatric neurosurgery and the allied fields of neurology, neuroradiology and neuropathology as they relate to the etiology of neurologic diseases and the operative care of affected patients. In addition to experimental and clinical studies, the journal presents critical reviews which provide the reader with an update on selected topics as well as case histories and reports on advances in methodology and technique. This thought-provoking focus encourages dissemination of information from neurosurgeons and neuroscientists around the world that will be of interest to clinicians and researchers concerned with pediatric, congenital, and developmental diseases of the nervous system.
×
引用
GB/T 7714-2015
复制
MLA
复制
APA
复制
导出至
BibTeX EndNote RefMan NoteFirst NoteExpress
×
提示
您的信息不完整,为了账户安全,请先补充。
现在去补充
×
提示
您因"违规操作"
具体请查看互助需知
我知道了
×
提示
确定
请完成安全验证×
copy
已复制链接
快去分享给好友吧!
我知道了
右上角分享
点击右上角分享
0
联系我们:info@booksci.cn Book学术提供免费学术资源搜索服务,方便国内外学者检索中英文文献。致力于提供最便捷和优质的服务体验。 Copyright © 2023 布克学术 All rights reserved.
京ICP备2023020795号-1
ghs 京公网安备 11010802042870号
Book学术文献互助
Book学术文献互助群
群 号:604180095
Book学术官方微信