Comparison and Analysis of Clinical Features of Papillary Thyroid Cancer Complicated With Hashimoto's Thyroiditis.

IF 1.9 4区 医学 Q3 ONCOLOGY
Clinical Medicine Insights-Oncology Pub Date : 2024-10-12 eCollection Date: 2024-01-01 DOI:10.1177/11795549241287085
Ke Zheng, Jingxin Mao
{"title":"Comparison and Analysis of Clinical Features of Papillary Thyroid Cancer Complicated With Hashimoto's Thyroiditis.","authors":"Ke Zheng, Jingxin Mao","doi":"10.1177/11795549241287085","DOIUrl":null,"url":null,"abstract":"<p><strong>Background: </strong>Hashimoto thyroiditis (HT) combined with papillary thyroid cancer (PTC) is more common in clinical practice, maybe posing a serious threat to the health of patients. It is uncertain whether HT is a risk factor or protective factor for PTC. The aim of the study was to retrospectively explore the effect of HT on the biological behavior of PTC.</p><p><strong>Methods: </strong>A total of 200 patients were included in the study. Among them, 100 patients with PTC without HT were in the control group (PTC group), and 100 cases diagnosed as PTC with HT were in the experimental group (HT + PTC group). The following data were counted and analyzed, respectively: (1) the basic clinicopathologic characteristics of patients; (2) postoperative thyroid function indicators; (3) blood biochemical indicators; (4) liver function indicators; and (5) histopathological report.</p><p><strong>Results: </strong>Compared with the PTC group, women were predominant in the PTC + HT group (<i>P</i> < .05). In addition, the central lymph node metastasis rate, the number of cervical lymph node metastases, and the lateral cervical lymph node metastasis rate were significantly decreased (<i>P</i> < .05). Thyroid peroxidase antibody (TPOAb), thyroid-stimulating hormone (TSH), and thyroglobulin antibody (TGAb) of the thyroid function index were significantly increased, while the thyroglobulin (TG) value was significantly decreased (<i>P</i> < .05). The alkaline phosphatase (ALP) level of the liver function index was significantly decreased, while the lactate dehydrogenase (LDH) level was significantly increased (<i>P</i> < .05). In the pathological examination, a large number of mononuclear cells infiltrated in the lymphocyte follicular stroma. In an ultrasound examination, the boundary definition rate is lower.</p><p><strong>Conclusion: </strong>Women may be more susceptible to PTC or PTC and HT than men. Patients under 55 years old accounted for a larger proportion in PTC + HT than PTC. Hashimoto thyroiditis may play an inhibitory role in the occurrence of PTC, and the presence of HT is a protective factor for PTC.</p>","PeriodicalId":48591,"journal":{"name":"Clinical Medicine Insights-Oncology","volume":"18 ","pages":"11795549241287085"},"PeriodicalIF":1.9000,"publicationDate":"2024-10-12","publicationTypes":"Journal Article","fieldsOfStudy":null,"isOpenAccess":false,"openAccessPdf":"https://www.ncbi.nlm.nih.gov/pmc/articles/PMC11489922/pdf/","citationCount":"0","resultStr":null,"platform":"Semanticscholar","paperid":null,"PeriodicalName":"Clinical Medicine Insights-Oncology","FirstCategoryId":"3","ListUrlMain":"https://doi.org/10.1177/11795549241287085","RegionNum":4,"RegionCategory":"医学","ArticlePicture":[],"TitleCN":null,"AbstractTextCN":null,"PMCID":null,"EPubDate":"2024/1/1 0:00:00","PubModel":"eCollection","JCR":"Q3","JCRName":"ONCOLOGY","Score":null,"Total":0}
引用次数: 0

Abstract

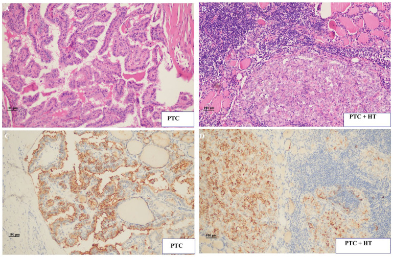
Background: Hashimoto thyroiditis (HT) combined with papillary thyroid cancer (PTC) is more common in clinical practice, maybe posing a serious threat to the health of patients. It is uncertain whether HT is a risk factor or protective factor for PTC. The aim of the study was to retrospectively explore the effect of HT on the biological behavior of PTC.

Methods: A total of 200 patients were included in the study. Among them, 100 patients with PTC without HT were in the control group (PTC group), and 100 cases diagnosed as PTC with HT were in the experimental group (HT + PTC group). The following data were counted and analyzed, respectively: (1) the basic clinicopathologic characteristics of patients; (2) postoperative thyroid function indicators; (3) blood biochemical indicators; (4) liver function indicators; and (5) histopathological report.

Results: Compared with the PTC group, women were predominant in the PTC + HT group (P < .05). In addition, the central lymph node metastasis rate, the number of cervical lymph node metastases, and the lateral cervical lymph node metastasis rate were significantly decreased (P < .05). Thyroid peroxidase antibody (TPOAb), thyroid-stimulating hormone (TSH), and thyroglobulin antibody (TGAb) of the thyroid function index were significantly increased, while the thyroglobulin (TG) value was significantly decreased (P < .05). The alkaline phosphatase (ALP) level of the liver function index was significantly decreased, while the lactate dehydrogenase (LDH) level was significantly increased (P < .05). In the pathological examination, a large number of mononuclear cells infiltrated in the lymphocyte follicular stroma. In an ultrasound examination, the boundary definition rate is lower.

Conclusion: Women may be more susceptible to PTC or PTC and HT than men. Patients under 55 years old accounted for a larger proportion in PTC + HT than PTC. Hashimoto thyroiditis may play an inhibitory role in the occurrence of PTC, and the presence of HT is a protective factor for PTC.

Abstract Image

Abstract Image

Abstract Image

并发桥本氏甲状腺炎的甲状腺乳头状癌临床特征对比与分析
背景:桥本甲状腺炎(HT)合并甲状腺乳头状癌(PTC桥本甲状腺炎(HT)合并甲状腺乳头状癌(PTC)在临床上较为常见,可能对患者的健康构成严重威胁。目前尚不确定甲状腺炎是 PTC 的危险因素还是保护因素。本研究的目的是回顾性探讨 HT 对 PTC 生物行为的影响:研究共纳入 200 名患者。其中,100 例无 HT 的 PTC 患者为对照组(PTC 组),100 例诊断为 PTC 并伴有 HT 的患者为实验组(HT + PTC 组)。分别统计和分析以下数据:(1)患者的基本临床病理特征;(2)术后甲状腺功能指标;(3)血液生化指标;(4)肝功能指标;(5)组织病理报告:与 PTC 组相比,PTC + HT 组以女性为主(P P P P 结论:女性可能比男性更易患 PTC 或 PTC + HT。55 岁以下患者在 PTC + HT 组中所占比例高于 PTC 组。桥本甲状腺炎可能对PTC的发生起到抑制作用,而HT的存在则是PTC的保护因素。
本文章由计算机程序翻译,如有差异,请以英文原文为准。
求助全文
约1分钟内获得全文 求助全文
来源期刊
CiteScore
2.40
自引率
4.50%
发文量
57
审稿时长
8 weeks
期刊介绍: Clinical Medicine Insights: Oncology is an international, peer-reviewed, open access journal that focuses on all aspects of cancer research and treatment, in addition to related genetic, pathophysiological and epidemiological topics. Of particular but not exclusive importance are molecular biology, clinical interventions, controlled trials, therapeutics, pharmacology and drug delivery, and techniques of cancer surgery. The journal welcomes unsolicited article proposals.
×
引用
GB/T 7714-2015
复制
MLA
复制
APA
复制
导出至
BibTeX EndNote RefMan NoteFirst NoteExpress
×
提示
您的信息不完整,为了账户安全,请先补充。
现在去补充
×
提示
您因"违规操作"
具体请查看互助需知
我知道了
×
提示
确定
请完成安全验证×
copy
已复制链接
快去分享给好友吧!
我知道了
右上角分享
点击右上角分享
0
联系我们:info@booksci.cn Book学术提供免费学术资源搜索服务,方便国内外学者检索中英文文献。致力于提供最便捷和优质的服务体验。 Copyright © 2023 布克学术 All rights reserved.
京ICP备2023020795号-1
ghs 京公网安备 11010802042870号
Book学术文献互助
Book学术文献互助群
群 号:604180095
Book学术官方微信