Primary Mast Cell Sarcoma of the Maxillary Sinus and Gingiva Mimicking Malignant Neuroendocrine Tumor: A Case Report.

IF 4.1 Q2 PATHOLOGY
Tzu-Chien Cheng, Jim-Ray Chen, Ren-Ching Wang, Kung-Chao Chang, Jen-Fan Hang
{"title":"Primary Mast Cell Sarcoma of the Maxillary Sinus and Gingiva Mimicking Malignant Neuroendocrine Tumor: A Case Report.","authors":"Tzu-Chien Cheng, Jim-Ray Chen, Ren-Ching Wang, Kung-Chao Chang, Jen-Fan Hang","doi":"10.1007/s12105-024-01702-w","DOIUrl":null,"url":null,"abstract":"<p><p>Mast cell sarcoma (MCS) is an extremely rare and aggressive malignancy primarily affecting bones, with limited literature associating it with neuroendocrine marker expression. This report presents a rare case of MCS arising in the maxillary sinus and gingiva. A 74-year-old man presented with a progressively enlarging ulcer on the right-sided upper gingiva. Magnetic resonance imaging revealed a 3.4 cm tumor on the floor of the right maxillary sinus. The patient underwent an inferior maxillectomy and right-sided neck dissection. Microscopically, the tumor consisted of monotonous round cells with oval nuclei, vesicular chromatin, inconspicuous nucleoli, and brisk mitoses. A panel of immunohistochemical stains was initially applied to exclude common sinonasal undifferentiated neoplasms, such as sinonasal undifferentiated carcinoma, melanoma, rhabdomyosarcoma, Ewing sarcoma, and lymphoma. The tumor cells showed patchy staining for INSM1 and synaptophysin, but were negative for AE1/AE3, CAM5.2, p40, chromogranin, S100, HMB45, NKX2.2, desmin, CD45 (LCA), CD3, and CD20, with intact INI1 and BRG1 expression. No specific diagnosis could be rendered based on the staining results, leading to consideration of other rare malignancies. Additional staining revealed positivity for CD117, mast cell tryptase, CD13, CD33, CD43, and CD68, confirming the MCS diagnosis. Molecular testing for KIT mutation was negative. Subsequent bone marrow biopsy demonstrated infiltration of atypical mast cells, which led to a diagnosis of mast cell leukemia. Despite high-dose chemotherapy, the patient died three months after the initial diagnosis. The undifferentiated epithelioid morphology and unusual aberrant neuroendocrine marker expression posed significant diagnostic challenges. The major differential diagnoses were discussed in this report.</p>","PeriodicalId":47972,"journal":{"name":"Head & Neck Pathology","volume":"18 1","pages":"97"},"PeriodicalIF":4.1000,"publicationDate":"2024-10-15","publicationTypes":"Journal Article","fieldsOfStudy":null,"isOpenAccess":false,"openAccessPdf":"https://www.ncbi.nlm.nih.gov/pmc/articles/PMC11480270/pdf/","citationCount":"0","resultStr":null,"platform":"Semanticscholar","paperid":null,"PeriodicalName":"Head & Neck Pathology","FirstCategoryId":"1085","ListUrlMain":"https://doi.org/10.1007/s12105-024-01702-w","RegionNum":0,"RegionCategory":null,"ArticlePicture":[],"TitleCN":null,"AbstractTextCN":null,"PMCID":null,"EPubDate":"","PubModel":"","JCR":"Q2","JCRName":"PATHOLOGY","Score":null,"Total":0}
引用次数: 0

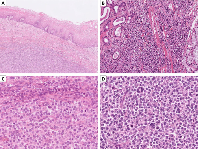
Abstract

Mast cell sarcoma (MCS) is an extremely rare and aggressive malignancy primarily affecting bones, with limited literature associating it with neuroendocrine marker expression. This report presents a rare case of MCS arising in the maxillary sinus and gingiva. A 74-year-old man presented with a progressively enlarging ulcer on the right-sided upper gingiva. Magnetic resonance imaging revealed a 3.4 cm tumor on the floor of the right maxillary sinus. The patient underwent an inferior maxillectomy and right-sided neck dissection. Microscopically, the tumor consisted of monotonous round cells with oval nuclei, vesicular chromatin, inconspicuous nucleoli, and brisk mitoses. A panel of immunohistochemical stains was initially applied to exclude common sinonasal undifferentiated neoplasms, such as sinonasal undifferentiated carcinoma, melanoma, rhabdomyosarcoma, Ewing sarcoma, and lymphoma. The tumor cells showed patchy staining for INSM1 and synaptophysin, but were negative for AE1/AE3, CAM5.2, p40, chromogranin, S100, HMB45, NKX2.2, desmin, CD45 (LCA), CD3, and CD20, with intact INI1 and BRG1 expression. No specific diagnosis could be rendered based on the staining results, leading to consideration of other rare malignancies. Additional staining revealed positivity for CD117, mast cell tryptase, CD13, CD33, CD43, and CD68, confirming the MCS diagnosis. Molecular testing for KIT mutation was negative. Subsequent bone marrow biopsy demonstrated infiltration of atypical mast cells, which led to a diagnosis of mast cell leukemia. Despite high-dose chemotherapy, the patient died three months after the initial diagnosis. The undifferentiated epithelioid morphology and unusual aberrant neuroendocrine marker expression posed significant diagnostic challenges. The major differential diagnoses were discussed in this report.

Abstract Image

Abstract Image

Abstract Image

模仿恶性神经内分泌瘤的上颌窦和牙龈原发性肥大细胞肉瘤:病例报告。
肥大细胞肉瘤(MCS)是一种极其罕见的侵袭性恶性肿瘤,主要累及骨骼,与神经内分泌标记表达相关的文献有限。本报告介绍了一例罕见的上颌窦和牙龈肥大细胞肉瘤病例。一名 74 岁的男子因右侧上牙龈出现逐渐扩大的溃疡而就诊。磁共振成像显示右侧上颌窦底有一个 3.4 厘米的肿瘤。患者接受了上颌骨下切除术和右侧颈部切除术。显微镜下,肿瘤由单个圆形细胞组成,细胞核呈椭圆形,染色质呈水泡状,核小体不明显,有轻度有丝分裂。初步应用免疫组化染色以排除常见的鼻窦未分化肿瘤,如鼻窦未分化癌、黑色素瘤、横纹肌肉瘤、尤文肉瘤和淋巴瘤。肿瘤细胞显示 INSM1 和突触素斑片状染色,但 AE1/AE3、CAM5.2、p40、chromogranin、S100、HMB45、NKX2.2、desmin、CD45 (LCA)、CD3 和 CD20 阴性,INI1 和 BRG1 表达完整。根据染色结果无法做出具体诊断,因此需要考虑其他罕见的恶性肿瘤。其他染色结果显示,CD117、肥大细胞胰蛋白酶、CD13、CD33、CD43和CD68均呈阳性,从而确诊为MCS。KIT 基因突变的分子检测结果为阴性。随后的骨髓活检显示有非典型肥大细胞浸润,诊断为肥大细胞白血病。尽管接受了大剂量化疗,患者还是在确诊三个月后死亡。未分化的上皮样形态和异常的神经内分泌标志物表达给诊断带来了巨大挑战。本报告讨论了主要的鉴别诊断。
本文章由计算机程序翻译,如有差异,请以英文原文为准。
求助全文
约1分钟内获得全文 求助全文
来源期刊
CiteScore
5.70
自引率
9.50%
发文量
99
期刊介绍: Head & Neck Pathology presents scholarly papers, reviews and symposia that cover the spectrum of human surgical pathology within the anatomic zones of the oral cavity, sinonasal tract, larynx, hypopharynx, salivary gland, ear and temporal bone, and neck. The journal publishes rapid developments in new diagnostic criteria, intraoperative consultation, immunohistochemical studies, molecular techniques, genetic analyses, diagnostic aids, experimental pathology, cytology, radiographic imaging, and application of uniform terminology to allow practitioners to continue to maintain and expand their knowledge in the subspecialty of head and neck pathology. Coverage of practical application to daily clinical practice is supported with proceedings and symposia from international societies and academies devoted to this field. Single-blind peer review The journal follows a single-blind review procedure, where the reviewers are aware of the names and affiliations of the authors, but the reviewer reports provided to authors are anonymous. Single-blind peer review is the traditional model of peer review that many reviewers are comfortable with, and it facilitates a dispassionate critique of a manuscript.
×
引用
GB/T 7714-2015
复制
MLA
复制
APA
复制
导出至
BibTeX EndNote RefMan NoteFirst NoteExpress
×
提示
您的信息不完整,为了账户安全,请先补充。
现在去补充
×
提示
您因"违规操作"
具体请查看互助需知
我知道了
×
提示
确定
请完成安全验证×
copy
已复制链接
快去分享给好友吧!
我知道了
右上角分享
点击右上角分享
0
联系我们:info@booksci.cn Book学术提供免费学术资源搜索服务,方便国内外学者检索中英文文献。致力于提供最便捷和优质的服务体验。 Copyright © 2023 布克学术 All rights reserved.
京ICP备2023020795号-1
ghs 京公网安备 11010802042870号
Book学术文献互助
Book学术文献互助群
群 号:604180095
Book学术官方微信