Cerebral Venous Sinus Thrombosis: Current Updates in the Asian Context.

IF 2.1 Q3 PERIPHERAL VASCULAR DISEASE
Cerebrovascular Diseases Extra Pub Date : 2024-01-01 Epub Date: 2024-10-15 DOI:10.1159/000541937
Angel Miraclin T, Deepti Bal, Ivy Sebastian, Satish Shanmugasundaram, Sanjith Aaron, Jeyaraj D Pandian
{"title":"Cerebral Venous Sinus Thrombosis: Current Updates in the Asian Context.","authors":"Angel Miraclin T, Deepti Bal, Ivy Sebastian, Satish Shanmugasundaram, Sanjith Aaron, Jeyaraj D Pandian","doi":"10.1159/000541937","DOIUrl":null,"url":null,"abstract":"<p><strong>Background: </strong>Cerebral venous sinus thrombosis (CVT) is a life-threatening cause of stroke in Asian countries. South Asia, comprising of India, Pakistan, and Bangladesh, contributed to 40% of strokes in women. Major CVT registries are from the Western nations, which differs from the Asian countries with respect to epidemiology, gender biases, and risk factors. This review focuses on the various aspects of relevance in evaluation and management of patients with CVT in the Asian context.</p><p><strong>Summary: </strong>The incidence of CVT is higher in Asia than in Western nations. Young age, female gender, especially in pregnancy and puerperal period, and dehydration appear to be the critical risk factors. Tropical infections like malaria, scrub typhus, and flaviviral encephalitis predispose to CVT. There is a higher prevalence of inherited thrombophilia in the Asian cohorts, contributing to prothrombotic states. Anticoagulation and supportive management offer excellent outcomes. Newer anticoagulants are safe and efficacious. In medically refractory cases, endovascular treatment offers modest benefits. Decompressive hemicraniectomy, when done early, offers mortality benefits in patients with large hemorrhagic venous infarctions.</p><p><strong>Key messages: </strong>CVT is an important cause of stroke with a high burden in South Asian countries. Establishment of robust registries is the need of the hour to study the natural history, course, and outcomes and to develop management algorithms tailored to the available resources.</p>","PeriodicalId":45709,"journal":{"name":"Cerebrovascular Diseases Extra","volume":" ","pages":"177-184"},"PeriodicalIF":2.1000,"publicationDate":"2024-01-01","publicationTypes":"Journal Article","fieldsOfStudy":null,"isOpenAccess":false,"openAccessPdf":"https://www.ncbi.nlm.nih.gov/pmc/articles/PMC11567687/pdf/","citationCount":"0","resultStr":null,"platform":"Semanticscholar","paperid":null,"PeriodicalName":"Cerebrovascular Diseases Extra","FirstCategoryId":"1085","ListUrlMain":"https://doi.org/10.1159/000541937","RegionNum":0,"RegionCategory":null,"ArticlePicture":[],"TitleCN":null,"AbstractTextCN":null,"PMCID":null,"EPubDate":"2024/10/15 0:00:00","PubModel":"Epub","JCR":"Q3","JCRName":"PERIPHERAL VASCULAR DISEASE","Score":null,"Total":0}
引用次数: 0

Abstract

Background: Cerebral venous sinus thrombosis (CVT) is a life-threatening cause of stroke in Asian countries. South Asia, comprising of India, Pakistan, and Bangladesh, contributed to 40% of strokes in women. Major CVT registries are from the Western nations, which differs from the Asian countries with respect to epidemiology, gender biases, and risk factors. This review focuses on the various aspects of relevance in evaluation and management of patients with CVT in the Asian context.

Summary: The incidence of CVT is higher in Asia than in Western nations. Young age, female gender, especially in pregnancy and puerperal period, and dehydration appear to be the critical risk factors. Tropical infections like malaria, scrub typhus, and flaviviral encephalitis predispose to CVT. There is a higher prevalence of inherited thrombophilia in the Asian cohorts, contributing to prothrombotic states. Anticoagulation and supportive management offer excellent outcomes. Newer anticoagulants are safe and efficacious. In medically refractory cases, endovascular treatment offers modest benefits. Decompressive hemicraniectomy, when done early, offers mortality benefits in patients with large hemorrhagic venous infarctions.

Key messages: CVT is an important cause of stroke with a high burden in South Asian countries. Establishment of robust registries is the need of the hour to study the natural history, course, and outcomes and to develop management algorithms tailored to the available resources.

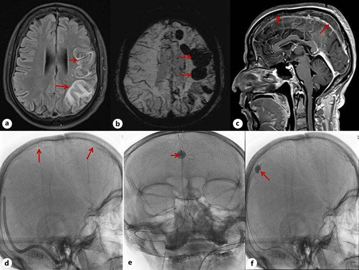
Abstract Image

脑静脉窦血栓--亚洲背景下的最新进展。
背景 大脑静脉窦血栓形成(CVT)是亚洲国家中危及生命的脑卒中病因。南亚包括印度、巴基斯坦和孟加拉国,其中 40% 的中风患者为女性。主要的 CVT 登记来自西方国家,在流行病学、性别偏见和风险因素方面与亚洲国家有所不同。本综述将重点讨论亚洲 CVT 患者评估和管理的各个方面。摘要 亚洲的 CVT 发病率高于西方国家。年轻、女性(尤其是孕期和产褥期)和脱水似乎是关键的风险因素。疟疾、恙虫病和黄病毒性脑炎等热带传染病易导致 CVT。在亚洲人群中,遗传性血栓性疾病的发病率较高,这也是导致血栓形成的原因之一。抗凝和支持性治疗可取得良好疗效。新型抗凝剂安全有效。在药物难治性病例中,血管内治疗可带来一定的益处。对于大面积出血性静脉梗死患者,早期进行减压颅骨切除术可降低死亡率。关键信息 在南亚国家,CVT 是中风的重要病因,且负担沉重。当务之急是建立健全的登记制度;研究自然病史、病程和预后,并根据现有资源制定管理算法。
本文章由计算机程序翻译,如有差异,请以英文原文为准。
求助全文
约1分钟内获得全文 求助全文
来源期刊
Cerebrovascular Diseases Extra
Cerebrovascular Diseases Extra PERIPHERAL VASCULAR DISEASE-
CiteScore
3.50
自引率
0.00%
发文量
16
审稿时长
8 weeks
期刊介绍: This open access and online-only journal publishes original articles covering the entire spectrum of stroke and cerebrovascular research, drawing from a variety of specialties such as neurology, internal medicine, surgery, radiology, epidemiology, cardiology, hematology, psychology and rehabilitation. Offering an international forum, it meets the growing need for sophisticated, up-to-date scientific information on clinical data, diagnostic testing, and therapeutic issues. The journal publishes original contributions, reviews of selected topics as well as clinical investigative studies. All aspects related to clinical advances are considered, while purely experimental work appears only if directly relevant to clinical issues. Cerebrovascular Diseases Extra provides additional contents based on reviewed and accepted submissions to the main journal Cerebrovascular Diseases.
×
引用
GB/T 7714-2015
复制
MLA
复制
APA
复制
导出至
BibTeX EndNote RefMan NoteFirst NoteExpress
×
提示
您的信息不完整,为了账户安全,请先补充。
现在去补充
×
提示
您因"违规操作"
具体请查看互助需知
我知道了
×
提示
确定
请完成安全验证×
copy
已复制链接
快去分享给好友吧!
我知道了
右上角分享
点击右上角分享
0
联系我们:info@booksci.cn Book学术提供免费学术资源搜索服务,方便国内外学者检索中英文文献。致力于提供最便捷和优质的服务体验。 Copyright © 2023 布克学术 All rights reserved.
京ICP备2023020795号-1
ghs 京公网安备 11010802042870号
Book学术文献互助
Book学术文献互助群
群 号:604180095
Book学术官方微信