Pseudoarthrogram sign - a rare radiological appearance of implant failure in the knee.

IF 0.5 Q4 RADIOLOGY, NUCLEAR MEDICINE & MEDICAL IMAGING
BJR Case Reports Pub Date : 2024-10-11 eCollection Date: 2024-09-01 DOI:10.1093/bjrcr/uaae033
Bilal A Khan, Gorav Datta, Neeraj Purohit
{"title":"Pseudoarthrogram sign - a rare radiological appearance of implant failure in the knee.","authors":"Bilal A Khan, Gorav Datta, Neeraj Purohit","doi":"10.1093/bjrcr/uaae033","DOIUrl":null,"url":null,"abstract":"<p><p>We present the radiological findings in the case of a failed unicompartmental knee arthroplasty (UKA). Although uncommon, these features are highly specific for implant failure and are an indication to consider revision. The aim of this case report is to highlight these characteristic appearances across multiple imaging modalities to both surgeons and radiologists should they encounter this in their practise.</p>","PeriodicalId":45216,"journal":{"name":"BJR Case Reports","volume":"10 5","pages":"uaae033"},"PeriodicalIF":0.5000,"publicationDate":"2024-10-11","publicationTypes":"Journal Article","fieldsOfStudy":null,"isOpenAccess":false,"openAccessPdf":"https://www.ncbi.nlm.nih.gov/pmc/articles/PMC11474001/pdf/","citationCount":"0","resultStr":null,"platform":"Semanticscholar","paperid":null,"PeriodicalName":"BJR Case Reports","FirstCategoryId":"1085","ListUrlMain":"https://doi.org/10.1093/bjrcr/uaae033","RegionNum":0,"RegionCategory":null,"ArticlePicture":[],"TitleCN":null,"AbstractTextCN":null,"PMCID":null,"EPubDate":"2024/9/1 0:00:00","PubModel":"eCollection","JCR":"Q4","JCRName":"RADIOLOGY, NUCLEAR MEDICINE & MEDICAL IMAGING","Score":null,"Total":0}
引用次数: 0

Abstract

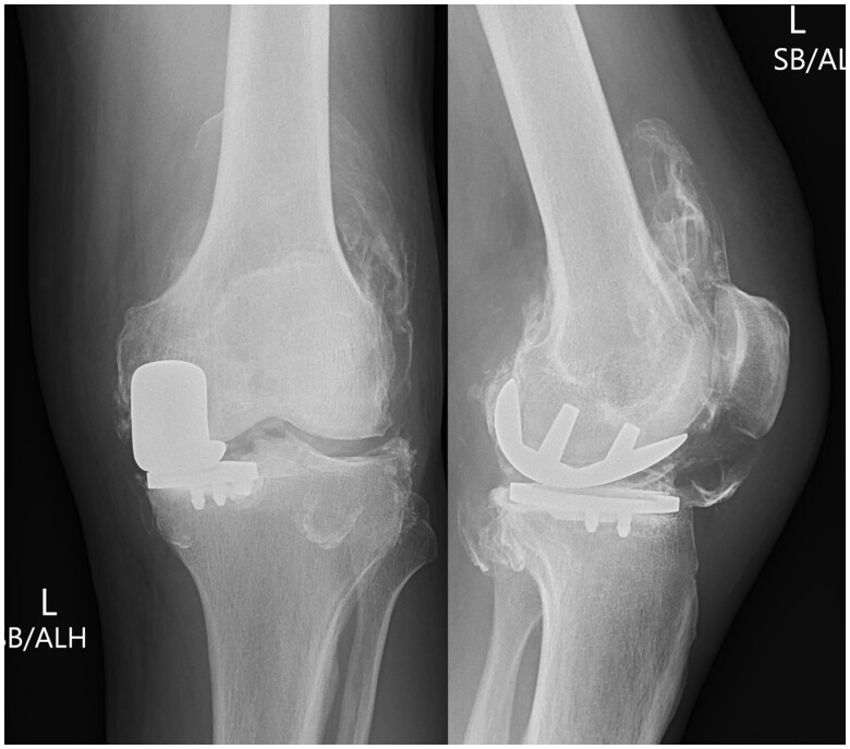
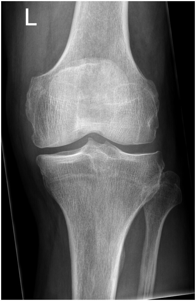
We present the radiological findings in the case of a failed unicompartmental knee arthroplasty (UKA). Although uncommon, these features are highly specific for implant failure and are an indication to consider revision. The aim of this case report is to highlight these characteristic appearances across multiple imaging modalities to both surgeons and radiologists should they encounter this in their practise.

Abstract Image

Abstract Image

Abstract Image

假关节征象--一种罕见的膝关节植入失败的放射学表现。
我们介绍了一例单室膝关节置换术(UKA)失败病例的放射学检查结果。这些特征虽然并不常见,但对植入失败具有高度特异性,是考虑翻修的指征。本病例报告的目的是向外科医生和放射科医生强调这些在多种成像模式下的特征性表现,以防他们在实践中遇到这种情况。
本文章由计算机程序翻译,如有差异,请以英文原文为准。
求助全文
约1分钟内获得全文 求助全文
来源期刊
BJR Case Reports
BJR Case Reports RADIOLOGY, NUCLEAR MEDICINE & MEDICAL IMAGING-
自引率
0.00%
发文量
77
审稿时长
11 weeks
×
引用
GB/T 7714-2015
复制
MLA
复制
APA
复制
导出至
BibTeX EndNote RefMan NoteFirst NoteExpress
×
提示
您的信息不完整,为了账户安全,请先补充。
现在去补充
×
提示
您因"违规操作"
具体请查看互助需知
我知道了
×
提示
确定
请完成安全验证×
copy
已复制链接
快去分享给好友吧!
我知道了
右上角分享
点击右上角分享
0
联系我们:info@booksci.cn Book学术提供免费学术资源搜索服务,方便国内外学者检索中英文文献。致力于提供最便捷和优质的服务体验。 Copyright © 2023 布克学术 All rights reserved.
京ICP备2023020795号-1
ghs 京公网安备 11010802042870号
Book学术文献互助
Book学术文献互助群
群 号:604180095
Book学术官方微信