Oesophageal injury mimicking a tubular congenital oesophageal duplication-a diagnostic dilemma: a case report.

IF 0.5 Q4 RADIOLOGY, NUCLEAR MEDICINE & MEDICAL IMAGING
BJR Case Reports Pub Date : 2024-10-03 eCollection Date: 2024-09-01 DOI:10.1093/bjrcr/uaae035
Shreya Shrivastava, Priscilla Joshi, Shriyash Pinglikar
{"title":"Oesophageal injury mimicking a tubular congenital oesophageal duplication-a diagnostic dilemma: a case report.","authors":"Shreya Shrivastava, Priscilla Joshi, Shriyash Pinglikar","doi":"10.1093/bjrcr/uaae035","DOIUrl":null,"url":null,"abstract":"<p><p>Intramural oesophageal dissection (IED) is an uncommon condition in newborns marked by the separation of the mucosal and submucosal layers of the oesophageal wall, both transversely and longitudinally, which may or may not involve perforation. A neonate presented at 26 h of life with poor respiratory effort and lethargy. She was intubated and was put on mechanical ventilation. Radiograph of the neonate suggested malpositioned endotracheal tube. The fluoroscopic dye-study indicated gastroesophageal oesophageal reflux disease and nothing significant. On limited CT contrast study of thorax, a tubular structure was seen running just parallel to the oesophagus extending from the T2 to the T9 levels. Possibilities of a oesophageal duplication/IED were considered. The neonate underwent an endoscopy and gastrostomy on day of life (DOL) 9. On follow up at 3 months a repeat limited CT study was done with instillation of water-soluble contrast. The previously seen tubular structure running parallel to the oesophagus was no longer seen. This finding suggested a healed IED. This case report emphasizes the significance of multimodality imaging in the diagnosis of this condition.</p>","PeriodicalId":45216,"journal":{"name":"BJR Case Reports","volume":"10 5","pages":"uaae035"},"PeriodicalIF":0.5000,"publicationDate":"2024-10-03","publicationTypes":"Journal Article","fieldsOfStudy":null,"isOpenAccess":false,"openAccessPdf":"https://www.ncbi.nlm.nih.gov/pmc/articles/PMC11486540/pdf/","citationCount":"0","resultStr":null,"platform":"Semanticscholar","paperid":null,"PeriodicalName":"BJR Case Reports","FirstCategoryId":"1085","ListUrlMain":"https://doi.org/10.1093/bjrcr/uaae035","RegionNum":0,"RegionCategory":null,"ArticlePicture":[],"TitleCN":null,"AbstractTextCN":null,"PMCID":null,"EPubDate":"2024/9/1 0:00:00","PubModel":"eCollection","JCR":"Q4","JCRName":"RADIOLOGY, NUCLEAR MEDICINE & MEDICAL IMAGING","Score":null,"Total":0}
引用次数: 0

Abstract

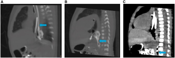
Intramural oesophageal dissection (IED) is an uncommon condition in newborns marked by the separation of the mucosal and submucosal layers of the oesophageal wall, both transversely and longitudinally, which may or may not involve perforation. A neonate presented at 26 h of life with poor respiratory effort and lethargy. She was intubated and was put on mechanical ventilation. Radiograph of the neonate suggested malpositioned endotracheal tube. The fluoroscopic dye-study indicated gastroesophageal oesophageal reflux disease and nothing significant. On limited CT contrast study of thorax, a tubular structure was seen running just parallel to the oesophagus extending from the T2 to the T9 levels. Possibilities of a oesophageal duplication/IED were considered. The neonate underwent an endoscopy and gastrostomy on day of life (DOL) 9. On follow up at 3 months a repeat limited CT study was done with instillation of water-soluble contrast. The previously seen tubular structure running parallel to the oesophagus was no longer seen. This finding suggested a healed IED. This case report emphasizes the significance of multimodality imaging in the diagnosis of this condition.

Abstract Image

Abstract Image

Abstract Image

模仿管状先天性食管重复的食管损伤--诊断难题:病例报告。
食管壁内剥离(IED)是新生儿中一种不常见的疾病,其特征是食管壁粘膜层和粘膜下层横向和纵向分离,可能会也可能不会涉及穿孔。一名新生儿在出生 26 小时后出现呼吸困难和嗜睡。她被插管并接受了机械通气。新生儿的 X 光片显示气管插管位置不正。透视染色检查显示她患有胃食管反流病,但无明显症状。在有限的胸部 CT 造影检查中,可以看到一个与食管平行的管状结构,从 T2 水平延伸到 T9 水平。考虑可能是食管重复/IDD。新生儿在出生后第 9 天接受了内窥镜检查和胃造口术。在 3 个月的随访中,在注入水溶性造影剂后再次进行了有限 CT 检查。之前看到的与食道平行的管状结构已不复存在。这一发现表明 IED 已经愈合。本病例报告强调了多模式成像在诊断这种疾病中的重要性。
本文章由计算机程序翻译,如有差异,请以英文原文为准。
求助全文
约1分钟内获得全文 求助全文
来源期刊
BJR Case Reports
BJR Case Reports RADIOLOGY, NUCLEAR MEDICINE & MEDICAL IMAGING-
自引率
0.00%
发文量
77
审稿时长
11 weeks
×
引用
GB/T 7714-2015
复制
MLA
复制
APA
复制
导出至
BibTeX EndNote RefMan NoteFirst NoteExpress
×
提示
您的信息不完整,为了账户安全,请先补充。
现在去补充
×
提示
您因"违规操作"
具体请查看互助需知
我知道了
×
提示
确定
请完成安全验证×
copy
已复制链接
快去分享给好友吧!
我知道了
右上角分享
点击右上角分享
0
联系我们:info@booksci.cn Book学术提供免费学术资源搜索服务,方便国内外学者检索中英文文献。致力于提供最便捷和优质的服务体验。 Copyright © 2023 布克学术 All rights reserved.
京ICP备2023020795号-1
ghs 京公网安备 11010802042870号
Book学术文献互助
Book学术文献互助群
群 号:604180095
Book学术官方微信