Hardware failure following multilevel posterior percutaneous fixation using the minimally invasive antepsoas (MIS-ATP) approach in adult spine deformity.

Q1 Medicine
Journal of spine surgery Pub Date : 2024-09-23 Epub Date: 2024-09-19 DOI:10.21037/jss-23-127
Aziz Saade, Tony Tannoury, Rahul Bhale, Varun Singh, Avilash Das, Chadi Tannoury
{"title":"Hardware failure following multilevel posterior percutaneous fixation using the minimally invasive antepsoas (MIS-ATP) approach in adult spine deformity.","authors":"Aziz Saade, Tony Tannoury, Rahul Bhale, Varun Singh, Avilash Das, Chadi Tannoury","doi":"10.21037/jss-23-127","DOIUrl":null,"url":null,"abstract":"<p><strong>Background: </strong>Adult spinal deformities (ASDs) requiring long fusions to the lumbosacral junction are notorious for L5-S1 pseudarthrosis and hardware-related complications. The minimally invasive surgery antepsoas (MIS-ATP) technique allows for substantial anterior column reconstruction thereby reducing the risk of posterior hardware-related complications. This study investigates the incidence of posterior hardware-related complications following long-segment fusion (seven or more vertebrae) using MIS-ATP and posterior percutaneous fixation (PPF).</p><p><strong>Methods: </strong>This is a retrospective review of patients who underwent long spinal fusion (MIS-ATP + PPF) to the sacrum and pelvis for the management of ASD between 2008 and 2019. Postoperative clinical complications and radiographic parameters were collected and analyzed. The following postoperative variables were collected: surgical site infections, neuro-vascular injuries, implant fracture, implant displacement, hardware prominence and related pain, pseudarthrosis, junctional disease (proximal and distal), and need for surgical revision.</p><p><strong>Results: </strong>A total of 143 patients were included in this study. The most common indications for fusion included: degenerative scoliosis (76.9%) and degenerative spondylolisthesis (17.5%). The average number of fused vertebrae per individual was 8.7. The most common levels fused were: T12-S1 anterior/T10-S1 posterior (53.1%). Forty-four patients (30.8%) experienced a total of 48 complications: pseudarthrosis (2.1%), deep infections (4.2%), painful iliac hardware (5.6%), pedicle screw complications (6.3%), and proximal junctional disease (PJD) (9.8%). Of these, 30 patients (21%) required revision surgery, mostly due to PJD (8 patients; 5.6%).</p><p><strong>Conclusions: </strong>Long spinal fusions to the sacrum and pelvis are technically challenging and notorious for hardware failure (HF) and revision surgeries. The use of MIS-ATP fusion coupled with PPF could provide a safe and effective strategy against posterior HF. Furthermore, additional benefits of the MIS-ATP technique are inherent to its relatively safe approach-related profile.</p>","PeriodicalId":17131,"journal":{"name":"Journal of spine surgery","volume":"10 3","pages":"438-449"},"PeriodicalIF":0.0000,"publicationDate":"2024-09-23","publicationTypes":"Journal Article","fieldsOfStudy":null,"isOpenAccess":false,"openAccessPdf":"https://www.ncbi.nlm.nih.gov/pmc/articles/PMC11467289/pdf/","citationCount":"0","resultStr":null,"platform":"Semanticscholar","paperid":null,"PeriodicalName":"Journal of spine surgery","FirstCategoryId":"1085","ListUrlMain":"https://doi.org/10.21037/jss-23-127","RegionNum":0,"RegionCategory":null,"ArticlePicture":[],"TitleCN":null,"AbstractTextCN":null,"PMCID":null,"EPubDate":"2024/9/19 0:00:00","PubModel":"Epub","JCR":"Q1","JCRName":"Medicine","Score":null,"Total":0}
引用次数: 0

Abstract

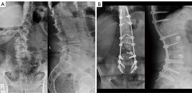
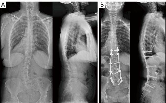
Background: Adult spinal deformities (ASDs) requiring long fusions to the lumbosacral junction are notorious for L5-S1 pseudarthrosis and hardware-related complications. The minimally invasive surgery antepsoas (MIS-ATP) technique allows for substantial anterior column reconstruction thereby reducing the risk of posterior hardware-related complications. This study investigates the incidence of posterior hardware-related complications following long-segment fusion (seven or more vertebrae) using MIS-ATP and posterior percutaneous fixation (PPF).

Methods: This is a retrospective review of patients who underwent long spinal fusion (MIS-ATP + PPF) to the sacrum and pelvis for the management of ASD between 2008 and 2019. Postoperative clinical complications and radiographic parameters were collected and analyzed. The following postoperative variables were collected: surgical site infections, neuro-vascular injuries, implant fracture, implant displacement, hardware prominence and related pain, pseudarthrosis, junctional disease (proximal and distal), and need for surgical revision.

Results: A total of 143 patients were included in this study. The most common indications for fusion included: degenerative scoliosis (76.9%) and degenerative spondylolisthesis (17.5%). The average number of fused vertebrae per individual was 8.7. The most common levels fused were: T12-S1 anterior/T10-S1 posterior (53.1%). Forty-four patients (30.8%) experienced a total of 48 complications: pseudarthrosis (2.1%), deep infections (4.2%), painful iliac hardware (5.6%), pedicle screw complications (6.3%), and proximal junctional disease (PJD) (9.8%). Of these, 30 patients (21%) required revision surgery, mostly due to PJD (8 patients; 5.6%).

Conclusions: Long spinal fusions to the sacrum and pelvis are technically challenging and notorious for hardware failure (HF) and revision surgeries. The use of MIS-ATP fusion coupled with PPF could provide a safe and effective strategy against posterior HF. Furthermore, additional benefits of the MIS-ATP technique are inherent to its relatively safe approach-related profile.

Abstract Image

Abstract Image

Abstract Image

成人脊柱畸形患者使用微创韧带前路(MIS-ATP)进行多层次后路经皮固定术后出现的硬件故障。
背景:成人脊柱畸形(ASD)需要在腰骶交界处进行长距离融合,而L5-S1假关节和硬件相关并发症是众所周知的。微创外科腰椎前柱(MIS-ATP)技术可进行大量的前柱重建,从而降低后路硬件相关并发症的风险。本研究调查了使用 MIS-ATP 和后路经皮固定(PPF)进行长节段融合(七个或七个以上椎体)后后路硬件相关并发症的发生率:这是对2008年至2019年期间接受骶骨和骨盆长段脊柱融合术(MIS-ATP + PPF)治疗ASD患者的回顾性研究。收集并分析了术后临床并发症和影像学参数。收集的术后变量包括:手术部位感染、神经血管损伤、植入物骨折、植入物移位、硬件突出和相关疼痛、假关节、交界性疾病(近端和远端)以及手术翻修需求:本研究共纳入了 143 名患者。最常见的融合适应症包括:退行性脊柱侧凸(76.9%)和退行性脊柱滑脱(17.5%)。每个人融合椎体的平均数量为 8.7 个。最常见的椎体融合程度为T12-S1前方/T10-S1后方(53.1%)。44名患者(30.8%)共出现了48种并发症:假关节(2.1%)、深部感染(4.2%)、髂骨硬件疼痛(5.6%)、椎弓根螺钉并发症(6.3%)和近端连接部疾病(PJD)(9.8%)。其中,30 名患者(21%)需要进行翻修手术,主要是由于 PJD(8 名患者;5.6%):结论:骶骨和骨盆的长脊柱融合术在技术上极具挑战性,而且因硬件故障(HF)和翻修手术而臭名昭著。使用 MIS-ATP 融合术和 PPF 可以提供一种安全有效的后路高频策略。此外,MIS-ATP 技术的其他优点还在于其相对安全的方法。
本文章由计算机程序翻译,如有差异,请以英文原文为准。
求助全文
约1分钟内获得全文 求助全文
来源期刊
Journal of spine surgery
Journal of spine surgery Medicine-Surgery
CiteScore
5.60
自引率
0.00%
发文量
24
×
引用
GB/T 7714-2015
复制
MLA
复制
APA
复制
导出至
BibTeX EndNote RefMan NoteFirst NoteExpress
×
提示
您的信息不完整,为了账户安全,请先补充。
现在去补充
×
提示
您因"违规操作"
具体请查看互助需知
我知道了
×
提示
确定
请完成安全验证×
copy
已复制链接
快去分享给好友吧!
我知道了
右上角分享
点击右上角分享
0
联系我们:info@booksci.cn Book学术提供免费学术资源搜索服务,方便国内外学者检索中英文文献。致力于提供最便捷和优质的服务体验。 Copyright © 2023 布克学术 All rights reserved.
京ICP备2023020795号-1
ghs 京公网安备 11010802042870号
Book学术文献互助
Book学术文献互助群
群 号:604180095
Book学术官方微信