Acute postoperative complications after spine deformity correction in patients with Down syndrome.

IF 1.6 4区 医学 Q3 ORTHOPEDICS
Journal of Childrens Orthopaedics Pub Date : 2024-09-26 eCollection Date: 2024-10-01 DOI:10.1177/18632521241277031
Claire W Bonnyman, Lydia N Klinkerman, Brandon A Ramo, Megan E Johnson
{"title":"Acute postoperative complications after spine deformity correction in patients with Down syndrome.","authors":"Claire W Bonnyman, Lydia N Klinkerman, Brandon A Ramo, Megan E Johnson","doi":"10.1177/18632521241277031","DOIUrl":null,"url":null,"abstract":"<p><strong>Introduction: </strong>Down syndrome, or trisomy 21, is the most diagnosed chromosomal abnormality and is associated with multiple orthopedic concerns, including scoliosis. We sought to examine the surgical treatment of scoliosis associated with Down syndrome with an emphasis on specific complications in this population.</p><p><strong>Methods: </strong>A retrospective review of 13 patients with Down syndrome who underwent surgical intervention for spinal deformity between 2000 and 2018 were identified. Postoperative complications were classified using the modified Clavien-Dindo-Sink system. Perioperative and final follow-up radiographic data were analyzed.</p><p><strong>Results: </strong>The mean age at surgery was 14.2 years (11-19) with a mean follow-up of 3.6 years (0.4-6.2) at the time of data collection. Seven (54%) patients had postoperative complications, all related to wound healing. Three patients (23%) had major complications (Clavien-Dindo-Sink grade ≥3). These included one deep surgical site infection, one hematoma, and one seroma, all requiring surgical drainage. Four additional patients (31%) had minor complications (Clavien-Dindo-Sink grade ≤2).</p><p><strong>Discussion: </strong>Surgical intervention for scoliosis in patients with Down syndrome is associated with high complication rates despite the use of more modern surgical techniques and implant types. Complications in this cohort primarily involved wound healing, whereas previous studies described high rates of postoperative implant failure, pseudoarthrosis, and significant curve progression, which were not experienced by the patients in this study. Although the etiology of wound-related complications is unknown, awareness of this risk may help surgeons optimize surgical technique, postoperative monitoring, and preoperative counseling of families.</p><p><strong>Level of evidence: </strong>IV-single-institution retrospective case series.</p>","PeriodicalId":56060,"journal":{"name":"Journal of Childrens Orthopaedics","volume":"18 5","pages":"495-501"},"PeriodicalIF":1.6000,"publicationDate":"2024-09-26","publicationTypes":"Journal Article","fieldsOfStudy":null,"isOpenAccess":false,"openAccessPdf":"https://www.ncbi.nlm.nih.gov/pmc/articles/PMC11463090/pdf/","citationCount":"0","resultStr":null,"platform":"Semanticscholar","paperid":null,"PeriodicalName":"Journal of Childrens Orthopaedics","FirstCategoryId":"3","ListUrlMain":"https://doi.org/10.1177/18632521241277031","RegionNum":4,"RegionCategory":"医学","ArticlePicture":[],"TitleCN":null,"AbstractTextCN":null,"PMCID":null,"EPubDate":"2024/10/1 0:00:00","PubModel":"eCollection","JCR":"Q3","JCRName":"ORTHOPEDICS","Score":null,"Total":0}
引用次数: 0

Abstract

Introduction: Down syndrome, or trisomy 21, is the most diagnosed chromosomal abnormality and is associated with multiple orthopedic concerns, including scoliosis. We sought to examine the surgical treatment of scoliosis associated with Down syndrome with an emphasis on specific complications in this population.

Methods: A retrospective review of 13 patients with Down syndrome who underwent surgical intervention for spinal deformity between 2000 and 2018 were identified. Postoperative complications were classified using the modified Clavien-Dindo-Sink system. Perioperative and final follow-up radiographic data were analyzed.

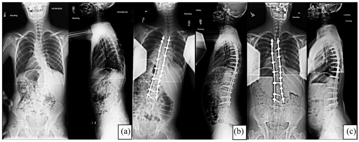
Results: The mean age at surgery was 14.2 years (11-19) with a mean follow-up of 3.6 years (0.4-6.2) at the time of data collection. Seven (54%) patients had postoperative complications, all related to wound healing. Three patients (23%) had major complications (Clavien-Dindo-Sink grade ≥3). These included one deep surgical site infection, one hematoma, and one seroma, all requiring surgical drainage. Four additional patients (31%) had minor complications (Clavien-Dindo-Sink grade ≤2).

Discussion: Surgical intervention for scoliosis in patients with Down syndrome is associated with high complication rates despite the use of more modern surgical techniques and implant types. Complications in this cohort primarily involved wound healing, whereas previous studies described high rates of postoperative implant failure, pseudoarthrosis, and significant curve progression, which were not experienced by the patients in this study. Although the etiology of wound-related complications is unknown, awareness of this risk may help surgeons optimize surgical technique, postoperative monitoring, and preoperative counseling of families.

Level of evidence: IV-single-institution retrospective case series.

Abstract Image

Abstract Image

Abstract Image

唐氏综合征患者脊柱畸形矫正术后的急性并发症。
导言:唐氏综合征或 21 三体综合征是最常见的染色体异常,与包括脊柱侧弯在内的多种骨科问题有关。我们试图研究与唐氏综合征相关的脊柱侧凸的手术治疗,重点关注这一人群的特殊并发症:我们对 2000 年至 2018 年间接受脊柱畸形手术治疗的 13 名唐氏综合征患者进行了回顾性研究。术后并发症采用改良的Clavien-Dindo-Sink系统进行分类。对围手术期和最终随访的放射学数据进行了分析:手术时的平均年龄为14.2岁(11-19岁),数据收集时的平均随访时间为3.6年(0.4-6.2年)。七名患者(54%)出现术后并发症,均与伤口愈合有关。三名患者(23%)出现了严重并发症(Clavien-Dindo-Sink 等级≥3)。其中包括一次深部手术部位感染、一次血肿和一次血清肿,均需要手术引流。另有四名患者(31%)出现轻微并发症(Clavien-Dindo-Sink分级≤2):讨论:尽管采用了更先进的手术技术和植入物类型,但唐氏综合征患者脊柱侧凸的手术治疗并发症发生率很高。本组患者的并发症主要涉及伤口愈合,而之前的研究则描述了术后植入失败、假关节和明显的曲线恶化等高发生率,但本研究中的患者并没有遇到这些情况。虽然伤口相关并发症的病因尚不清楚,但对这一风险的认识可能有助于外科医生优化手术技巧、术后监测和对家属的术前咨询:证据级别:IV-单一机构回顾性病例系列。
本文章由计算机程序翻译,如有差异,请以英文原文为准。
求助全文
约1分钟内获得全文 求助全文
来源期刊
Journal of Childrens Orthopaedics
Journal of Childrens Orthopaedics Medicine-Orthopedics and Sports Medicine
CiteScore
2.70
自引率
14.30%
发文量
61
审稿时长
23 weeks
期刊介绍: Aims & Scope The Journal of Children’s Orthopaedics is the official journal of the European Paediatric Orthopaedic Society (EPOS) and is published by The British Editorial Society of Bone & Joint Surgery. It provides a forum for the advancement of the knowledge and education in paediatric orthopaedics and traumatology across geographical borders. It advocates an increased worldwide involvement in preventing and treating musculoskeletal diseases in children and adolescents. The journal publishes high quality, peer-reviewed articles that focus on clinical practice, diagnosis and treatment of disorders unique to paediatric orthopaedics, as well as on basic and applied research. It aims to help physicians stay abreast of the latest and ever-changing developments in the field of paediatric orthopaedics and traumatology. The journal welcomes original contributions submitted exclusively for review to the journal. This continuously published online journal is fully open access and will publish one print issue each year to coincide with the EPOS Annual Congress, featuring the meeting’s abstracts.
×
引用
GB/T 7714-2015
复制
MLA
复制
APA
复制
导出至
BibTeX EndNote RefMan NoteFirst NoteExpress
×
提示
您的信息不完整,为了账户安全,请先补充。
现在去补充
×
提示
您因"违规操作"
具体请查看互助需知
我知道了
×
提示
确定
请完成安全验证×
copy
已复制链接
快去分享给好友吧!
我知道了
右上角分享
点击右上角分享
0
联系我们:info@booksci.cn Book学术提供免费学术资源搜索服务,方便国内外学者检索中英文文献。致力于提供最便捷和优质的服务体验。 Copyright © 2023 布克学术 All rights reserved.
京ICP备2023020795号-1
ghs 京公网安备 11010802042870号
Book学术文献互助
Book学术文献互助群
群 号:604180095
Book学术官方微信