One-bone forearm for the treatment of supination contractures secondary to neonatal brachial plexus injury.

IF 1.6 4区 医学 Q3 ORTHOPEDICS
Journal of Childrens Orthopaedics Pub Date : 2024-09-28 eCollection Date: 2024-10-01 DOI:10.1177/18632521241276348
Juliana Rojas-Neira, Camilo Chaves, Paula Díaz-Gallardo, Trong-Quynh Nguyen, Juan J Dominguez-Amador, Francisco Soldado
{"title":"One-bone forearm for the treatment of supination contractures secondary to neonatal brachial plexus injury.","authors":"Juliana Rojas-Neira, Camilo Chaves, Paula Díaz-Gallardo, Trong-Quynh Nguyen, Juan J Dominguez-Amador, Francisco Soldado","doi":"10.1177/18632521241276348","DOIUrl":null,"url":null,"abstract":"<p><strong>Background: </strong>The one-bone forearm procedure has been considered as a potential treatment for severe forearm deformities. However, its primary limitation lies in the elevated risks of nonunion and infection. In order to enhance union rates, a technical modification was introduced, aiming not only to establish end-to-end radio-ulnar fixation but also to incorporate an additional overlay and fixation between the proximal and distal radius osteotomy stumps. This technique, initially applied in a heterogeneous patient population including individuals with neurological, tumoral, and congenital conditions, yielded promising results, achieving a consolidation rate of 100% and enabling supination corrections of up to 120°.</p><p><strong>Methods: </strong>In this study, we present a retrospective cohort of 28 patients, with an average age of 9 years, all afflicted by forearm supination contracture exceeding 90° secondary to neonatal brachial plexus injury. These patients underwent treatment with the modified technique.</p><p><strong>Results: </strong>The mean correction achieved in forearm rotation was 116°, and the average follow-up period extended to 43 months. Remarkably, all patients exhibited bone union within an average period of 6.6 weeks, without any complications.</p><p><strong>Conclusion: </strong>Our findings underscore the efficacy of this modified technique, which enables substantial rotational corrections, boasts a high union rate, and maintains a low incidence of complications. This approach is particularly valuable for young patients suffering from neonatal brachial plexus injury with severe fixed supination deformities.</p><p><strong>Case series level of evidence: </strong>IV.</p>","PeriodicalId":56060,"journal":{"name":"Journal of Childrens Orthopaedics","volume":"18 5","pages":"540-545"},"PeriodicalIF":1.6000,"publicationDate":"2024-09-28","publicationTypes":"Journal Article","fieldsOfStudy":null,"isOpenAccess":false,"openAccessPdf":"https://www.ncbi.nlm.nih.gov/pmc/articles/PMC11462975/pdf/","citationCount":"0","resultStr":null,"platform":"Semanticscholar","paperid":null,"PeriodicalName":"Journal of Childrens Orthopaedics","FirstCategoryId":"3","ListUrlMain":"https://doi.org/10.1177/18632521241276348","RegionNum":4,"RegionCategory":"医学","ArticlePicture":[],"TitleCN":null,"AbstractTextCN":null,"PMCID":null,"EPubDate":"2024/10/1 0:00:00","PubModel":"eCollection","JCR":"Q3","JCRName":"ORTHOPEDICS","Score":null,"Total":0}
引用次数: 0

Abstract

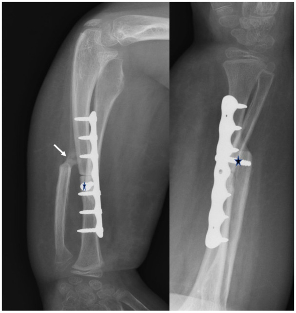
Background: The one-bone forearm procedure has been considered as a potential treatment for severe forearm deformities. However, its primary limitation lies in the elevated risks of nonunion and infection. In order to enhance union rates, a technical modification was introduced, aiming not only to establish end-to-end radio-ulnar fixation but also to incorporate an additional overlay and fixation between the proximal and distal radius osteotomy stumps. This technique, initially applied in a heterogeneous patient population including individuals with neurological, tumoral, and congenital conditions, yielded promising results, achieving a consolidation rate of 100% and enabling supination corrections of up to 120°.

Methods: In this study, we present a retrospective cohort of 28 patients, with an average age of 9 years, all afflicted by forearm supination contracture exceeding 90° secondary to neonatal brachial plexus injury. These patients underwent treatment with the modified technique.

Results: The mean correction achieved in forearm rotation was 116°, and the average follow-up period extended to 43 months. Remarkably, all patients exhibited bone union within an average period of 6.6 weeks, without any complications.

Conclusion: Our findings underscore the efficacy of this modified technique, which enables substantial rotational corrections, boasts a high union rate, and maintains a low incidence of complications. This approach is particularly valuable for young patients suffering from neonatal brachial plexus injury with severe fixed supination deformities.

Case series level of evidence: IV.

Abstract Image

Abstract Image

Abstract Image

单骨前臂用于治疗新生儿臂丛神经损伤继发的上举挛缩。
背景:单骨前臂手术一直被认为是治疗严重前臂畸形的潜在方法。然而,其主要局限性在于不愈合和感染的风险较高。为了提高愈合率,我们引入了一种技术改造,其目的不仅是建立端对端射频-桡骨固定,还包括在桡骨近端和远端截骨残端之间进行额外的覆盖和固定。这项技术最初应用于包括神经系统、肿瘤和先天性疾病患者在内的不同患者群体,取得了良好的效果,巩固率达到 100%,上翻矫正度高达 120°:在这项研究中,我们对 28 名患者进行了回顾性队列分析,这些患者平均年龄为 9 岁,均因新生儿臂丛神经损伤而导致前臂上举挛缩超过 90°。这些患者均接受了改良技术的治疗:结果:前臂旋转的平均矫正角度为 116°,平均随访时间为 43 个月。值得注意的是,所有患者都在平均 6.6 周内实现了骨结合,且未出现任何并发症:我们的研究结果强调了这种改良技术的有效性,它可以实现大幅度的旋转矫正,具有较高的骨结合率,并保持较低的并发症发生率。这种方法对于患有新生儿臂丛神经损伤并伴有严重固定性上翻畸形的年轻患者尤为重要:病例系列证据级别:IV。
本文章由计算机程序翻译,如有差异,请以英文原文为准。
求助全文
约1分钟内获得全文 求助全文
来源期刊
Journal of Childrens Orthopaedics
Journal of Childrens Orthopaedics Medicine-Orthopedics and Sports Medicine
CiteScore
2.70
自引率
14.30%
发文量
61
审稿时长
23 weeks
期刊介绍: Aims & Scope The Journal of Children’s Orthopaedics is the official journal of the European Paediatric Orthopaedic Society (EPOS) and is published by The British Editorial Society of Bone & Joint Surgery. It provides a forum for the advancement of the knowledge and education in paediatric orthopaedics and traumatology across geographical borders. It advocates an increased worldwide involvement in preventing and treating musculoskeletal diseases in children and adolescents. The journal publishes high quality, peer-reviewed articles that focus on clinical practice, diagnosis and treatment of disorders unique to paediatric orthopaedics, as well as on basic and applied research. It aims to help physicians stay abreast of the latest and ever-changing developments in the field of paediatric orthopaedics and traumatology. The journal welcomes original contributions submitted exclusively for review to the journal. This continuously published online journal is fully open access and will publish one print issue each year to coincide with the EPOS Annual Congress, featuring the meeting’s abstracts.
×
引用
GB/T 7714-2015
复制
MLA
复制
APA
复制
导出至
BibTeX EndNote RefMan NoteFirst NoteExpress
×
提示
您的信息不完整,为了账户安全,请先补充。
现在去补充
×
提示
您因"违规操作"
具体请查看互助需知
我知道了
×
提示
确定
请完成安全验证×
copy
已复制链接
快去分享给好友吧!
我知道了
右上角分享
点击右上角分享
0
联系我们:info@booksci.cn Book学术提供免费学术资源搜索服务,方便国内外学者检索中英文文献。致力于提供最便捷和优质的服务体验。 Copyright © 2023 布克学术 All rights reserved.
京ICP备2023020795号-1
ghs 京公网安备 11010802042870号
Book学术文献互助
Book学术文献互助群
群 号:604180095
Book学术官方微信