Identification of Lipomatous Metaplasia in a Cortisol-secreting Adrenocortical Adenoma Treated With Mifepristone.

JCEM case reports Pub Date : 2024-10-07 eCollection Date: 2024-10-01 DOI:10.1210/jcemcr/luae151
Abhinav K Rao, Trang Minh Thi Nguyen, Jenna Brennan Magri, Joseph Wolfgang Mathews
{"title":"Identification of Lipomatous Metaplasia in a Cortisol-secreting Adrenocortical Adenoma Treated With Mifepristone.","authors":"Abhinav K Rao, Trang Minh Thi Nguyen, Jenna Brennan Magri, Joseph Wolfgang Mathews","doi":"10.1210/jcemcr/luae151","DOIUrl":null,"url":null,"abstract":"<p><p>Adrenal adenomas are benign tumors of the adrenal cortex that may secrete excess hormones, such as cortisol. They are most commonly discovered during imaging studies for unrelated problems. Lipomatous metaplasia is a rare degenerative change in adrenal adenomas, characterized by the presence of adipose tissue and hematopoietic elements within the tumor. In this report, we present a case of an adrenal adenoma with lipomatous metaplasia in a patient with hypertension, hyperlipidemia, and type II diabetes mellitus. The discovery of this adrenal mass was prompted by an evaluation of the patient's progressive hirsutism. The tumor was found to be secreting cortisol, leading to Cushing syndrome. The patient subsequently underwent surgical resection of the mass after being treated with mifepristone. The histopathological examination confirmed it to be an adrenal cortical neoplasm with lipomatous metaplasia, characterized by uncertain malignant potential. The patient did well postoperatively. Three months after left adrenalectomy, the patient's hirsutism, A1c, and hypertension improved, allowing a reduction in antihypertensives. Her body mass index stabilized, her triglyceride decreased, and her dehydroepiandrosterone sulfate level normalized. She continued to do well at follow-up visits. Overall, this was a rare case of a functioning adrenal adenoma with lipomatous metaplasia, presenting both diagnostic and therapeutic challenges.</p>","PeriodicalId":73540,"journal":{"name":"JCEM case reports","volume":"2 10","pages":"luae151"},"PeriodicalIF":0.0000,"publicationDate":"2024-10-07","publicationTypes":"Journal Article","fieldsOfStudy":null,"isOpenAccess":false,"openAccessPdf":"https://www.ncbi.nlm.nih.gov/pmc/articles/PMC11456839/pdf/","citationCount":"0","resultStr":null,"platform":"Semanticscholar","paperid":null,"PeriodicalName":"JCEM case reports","FirstCategoryId":"1085","ListUrlMain":"https://doi.org/10.1210/jcemcr/luae151","RegionNum":0,"RegionCategory":null,"ArticlePicture":[],"TitleCN":null,"AbstractTextCN":null,"PMCID":null,"EPubDate":"2024/10/1 0:00:00","PubModel":"eCollection","JCR":"","JCRName":"","Score":null,"Total":0}
引用次数: 0

Abstract

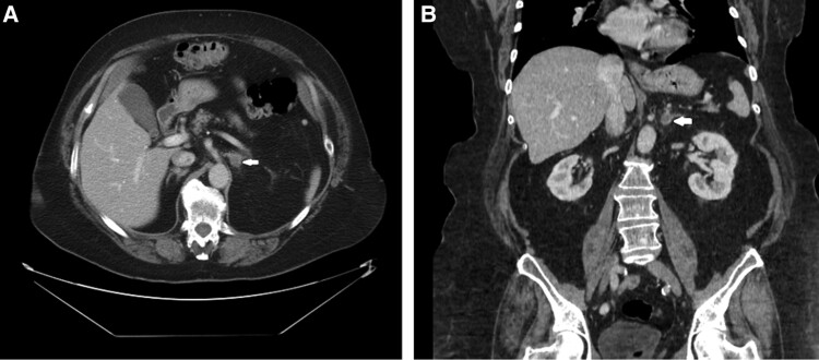
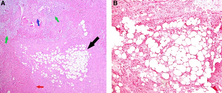
Adrenal adenomas are benign tumors of the adrenal cortex that may secrete excess hormones, such as cortisol. They are most commonly discovered during imaging studies for unrelated problems. Lipomatous metaplasia is a rare degenerative change in adrenal adenomas, characterized by the presence of adipose tissue and hematopoietic elements within the tumor. In this report, we present a case of an adrenal adenoma with lipomatous metaplasia in a patient with hypertension, hyperlipidemia, and type II diabetes mellitus. The discovery of this adrenal mass was prompted by an evaluation of the patient's progressive hirsutism. The tumor was found to be secreting cortisol, leading to Cushing syndrome. The patient subsequently underwent surgical resection of the mass after being treated with mifepristone. The histopathological examination confirmed it to be an adrenal cortical neoplasm with lipomatous metaplasia, characterized by uncertain malignant potential. The patient did well postoperatively. Three months after left adrenalectomy, the patient's hirsutism, A1c, and hypertension improved, allowing a reduction in antihypertensives. Her body mass index stabilized, her triglyceride decreased, and her dehydroepiandrosterone sulfate level normalized. She continued to do well at follow-up visits. Overall, this was a rare case of a functioning adrenal adenoma with lipomatous metaplasia, presenting both diagnostic and therapeutic challenges.

Abstract Image

Abstract Image

在用米非司酮治疗的皮质醇分泌型肾上腺皮质腺瘤中发现脂肪瘤变。
肾上腺腺瘤是肾上腺皮质的良性肿瘤,可能会分泌过量激素,如皮质醇。肾上腺腺瘤最常见于对无关问题进行造影检查时发现。脂肪瘤变是肾上腺腺瘤中一种罕见的退行性变化,其特点是肿瘤内存在脂肪组织和造血成分。在本报告中,我们介绍了一例肾上腺腺瘤伴脂肪瘤变的病例,患者患有高血压、高脂血症和 II 型糖尿病。发现该肾上腺肿块的原因是对患者的渐进性多毛症进行了评估。该肿瘤分泌皮质醇,导致库欣综合征。随后,患者在接受米非司酮治疗后,接受了手术切除肿块。组织病理学检查证实这是一个肾上腺皮质肿瘤,伴有脂肪瘤变,恶性可能性不确定。患者术后情况良好。左肾上腺切除术后三个月,患者的多毛症、A1c和高血压有所改善,可以减少降压药的用量。她的体重指数趋于稳定,甘油三酯下降,硫酸脱氢表雄酮水平正常。在随访中,她的情况依然良好。总之,这是一例罕见的功能性肾上腺腺瘤伴脂肪瘤变的病例,给诊断和治疗都带来了挑战。
本文章由计算机程序翻译,如有差异,请以英文原文为准。
求助全文
约1分钟内获得全文 求助全文
来源期刊
自引率
0.00%
发文量
0
×
引用
GB/T 7714-2015
复制
MLA
复制
APA
复制
导出至
BibTeX EndNote RefMan NoteFirst NoteExpress
×
提示
您的信息不完整,为了账户安全,请先补充。
现在去补充
×
提示
您因"违规操作"
具体请查看互助需知
我知道了
×
提示
确定
请完成安全验证×
copy
已复制链接
快去分享给好友吧!
我知道了
右上角分享
点击右上角分享
0
联系我们:info@booksci.cn Book学术提供免费学术资源搜索服务,方便国内外学者检索中英文文献。致力于提供最便捷和优质的服务体验。 Copyright © 2023 布克学术 All rights reserved.
京ICP备2023020795号-1
ghs 京公网安备 11010802042870号
Book学术文献互助
Book学术文献互助群
群 号:604180095
Book学术官方微信